سيلان سايل دماغي شوكي عبر انف
cerebrospinal fluid rhinorrhea - écoulement du liquide céphalorachidien par le nez

سيلان السائل الدماغي الشوكي عبر الأنف

محمد نبيل دندشلي

الأعراض والعلامات
العلاج والتدبير
   

يشير تعبير سيلان السائل الدماغي الشوكي من الأنف cerebrospinal fluid (CSF) rhinorrhea إلى وجود اتصال غير طبيعي بين المسافة تحت العنكبوتية للسحايا وجوف الأنف أو جوف أحد الجيوب الملحقة بالأنف؛ وهو ما يجعل الإصابة بالتهاب السحايا meningitis أمراً محتملاً في كل حين، وكذلك دخول الهواء إلى جوف القحف pneumoencephalocele.

الشكل (1)
يبدي التصوير المقطعي المحوسب بالوضعية السهمية
وجود كسر في سقف الغربال الأمامي يتوضع مباشرة
خلف الحيد الجبهي
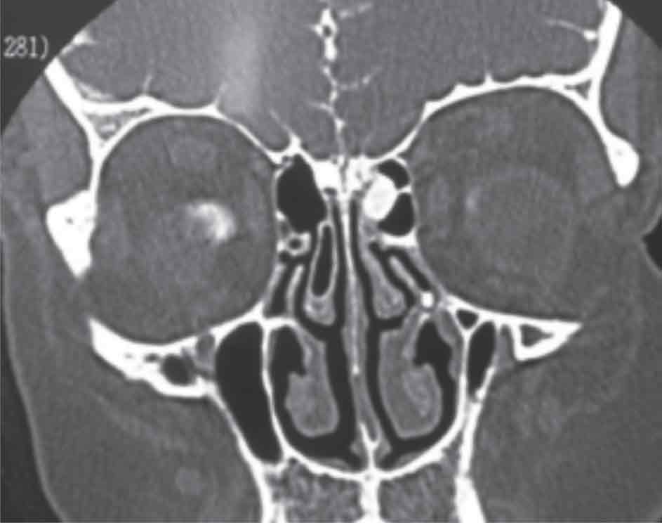
الشكل (2) يبدي التصوير المقطعي المحوسب
كسرا صريحا في سقف الغربال الأيمن
الشكل (3) يظهر التصوير المقطعي المحوسب
أن المادة الظليلة تسربت من خلال كسر خطي عند الصفيحة الجانبية بالغربال الأيسر. يلاحظ تجمع المادة في الحفرة الشمية بالجانب الأيمن من دون تسربها إلى الجيب الغربالي

الأسباب والوبائيات:

تقسم أسباب سيلان السائل الدماغي الشوكي من الأنف إلى أسباب رضية traumatic وأسباب غير رضية non-traumatic. تؤدي رضوض الرأس المغلقة إلى ناسور سحائي أنفي في 3% من الحالات، وترتفع النسبة إلى 30% في المصابين بكسور في قاعدة القحف.

تؤلف الأسباب الرضية بحسب تصنيف Ommaya نحو 96% من الأسباب عامة، وتقسم إلى:

1- أسباب رضية غير طبية المنشأ (حوادث سير وسقوط من شاهق ورض مباشر على الرأس) وتؤلف 80%.

2- أسباب رضية علاجية المنشأ iatrogenic تؤلف 16% كما في عمليات جراحة الجيوب التنظيرية وتقويم انحراف الوتيرة واستئصال أورام النخامى عبر الأنف وكل عمليات جراحة قاعدة القحف عبر الأنف وزرع الحلزون وجراحة ورم العصب السمعي عبر الدهليز.

وتؤلف الأسباب غير الرضية 4% من الأسباب عامة، ويمكن تقسيمها إلى:

أ- أسباب ترافق ارتفاع الضغط داخل القحف increased intracranial pressure مثل الأورام داخل القحف وبعض حالات سيلان السائل الدماغي الشوكي العفوي spontaneous.

ب- أسباب يكون فيها ضغط السائل الدماغي الشوكي في القحف طبيعياً، وهي عادة أسباب خلقية congenital يذكر منها متلازمة السرج التركي الفارغ والقيلات السحائية meningocele أو القيلات السحائية الدماغية meningoencephalocele التي تتظاهر بشكل كتلة طرية ضمن الحفرة الأنفية؛ كذلك تشوهات الأذن الباطنة التي قد تؤدي إلى وصول السائل الدماغي الشوكي إلى الأنف عبر الأذن الوسطى ونفير أوستاش، ويذكر هنا تشوه مونديني Mondini وتشوه الجوف الواحد common cavity deformity وشق هرتل Hrtyl fissure.

فسر بعضهم سيلان السائل الدماغي الشوكي الذاتي من الأنف أو من الأذن بوجود حبيبات عنكبوتية arachnoid granulations لا تصل للمعة وريدية وتتبعثر في قاعدة القحف الأمامية والمتوسطة والخلفية وتكون السبب لهذا السيلان، إذ تكبر هذه الحبيبومات ببطء وتؤدي إلى تأكل العظم في قاعدة القحف، ويحدث ذلك في مرضى بمنتصف العمر أو أكبر (وسطي العمر في مرضى دراسة Ommaya هو 63 سنة). في حين عَدَّ آخرون أن سيلان السائل الدماغي الشوكي العفوي أو البدئي هو سيلان ثانوي ناجم عن ارتفاع الضغط داخل القحف يؤدي إلى ترقق عظام قاعدة القحف وحدوث انفتاق السحايا (أو السحايا والمادة الدماغية)، ثم حدوث الناسور.

الأعراض والعلامات:

سيلان السائل الدماغي الشوكي من الأنف وحيد الجانب في معظم الأحيان، وقد يكون أحياناً ثنائي الجانب ولاسيما بالرضوض التي تؤدي إلى كسور واسعة أو عديدة في قاعدة القحف الأمامية. يكون السيلان رائقاً شفافاً وغزيراً وشبه دائم أو خفيفاً ومتقطعاً، وربما لا يثار إلا بوضعيات خاصة كالانحناء الأمامي. إن تدفق سائل رائق من الأنف تدفقاً فجائياً مشخص (غالباً) لناسور سحائي أنفي (علامة الخزان reservoir sign). ولا يكون السيلان صريحاً أحياناً بل يشعر المريض بوجود طعم مالح أو حلو في الفم ولا سيما بوضعية الاستلقاء الظهري. قد يحدث السيلان بعد الرض مباشرة أو يحدث متأخراً بعد أيام أو أسابيع أو ربما سنوات.

لا يتظاهر الناسور السحائي الأنفي دائماً بالسيلان الأنفي، بل قد تكون هجمة التهاب سحايا هي التظاهرة الأولى له، وقد تكون متكررة مما يثير الشك بالتشخيص ولاسيما حين يكون زرع سائل البزل القطني إيجابياً لجراثيم مثل المستدميات النزلية أو العقديات الرئوية، وحين تشير القصة السابقة إلى حدوث رض على الرأس. ويرى بعضهم أن الناسور السحائي الأنفي يرافق التهاب سحايا في 30% من الحالات.

يشكل السائل المتجمع على منديل ورقي علامة الهالة، وهي مميزة للسائل الدماغي الشوكي، وقد يفيد تنظير الأنف بالمنظار الليفي المرن في تحديد الجهة التي يسيل منها السائل الدماغي الشوكي من الصماخ meatus أم من الصماخ العلوي أم من الردب الوتدي الغربالي spheno ethmoidal recess، وكذلك يفيد في نفي مصدر السائل من الأذن في الطرف الموافق لجهة السيلان أو تأكيده وذلك عبر نفير أوستاش.

يفيد حقن مادة الفلورسئين العصبي (لا العيني) في السائل الدماغي الشوكي لتأكيد وجود ناسور سحائي أنفي (يصبح السائل واضحاً بشدة وملوناً باللون الأخضر الضارب إلى الصفرة ولا سيما باستعمال منبع ضوئي ذي لون أزرق)، وفي تحديد مكان هذا الناسور على نحو تقريبي قبل العمل الجراحي، وعلى نحو دقيق تماماً في أثناء العمل الجراحي.

التشخيص: هناك أمران مهمان في التشخيص؛ الأول هو تأكيد أن السائل الذي يخرج من الأنف هو سائل دماغي شوكي، والثاني هو تحديد مكان توضع الناسور السحائي في قاعدة القحف.

حين يرافق السيلان المائي الوحيد الجانب من الأنف قصة رض على الرأس أو تداخل جراحي على الأنف فإن التشخيص يكون سهلاً، وقد يكون في بعض الأحيان صعباً.

يكون تركيز السكر في السائل الدماغي الشوكي نحو ثلثي تركيزه في سكر الدم، ويكون البروتين منخفضاً (0.1-0.2 غ/100مل). والتشخيص المؤكد يكون بإجراء تحليل B2 transferrin (حساسية تقارب الـ 100% ونوعية قرابة 95%) إذ يوجد فقط في السائل الدماغي الشوكي واللمف الظاهر بالأذن الباطنة والخلط الزجاجي في العين، ويكفي 0.5 مل من السائل للتحليل، ولكن صعوبة إجراء هذا الاختبار وعدم توافره إلا في مراكز طبية خاصة جعلت إجراءه مقصوراً على الحالات الصعبة التي لا ترافق تفرق اتصال صريحاً بالتصوير المقطعي المحوسب.

يطلب التصوير المقطعي المحوسب عالي الدقة بالوضعيتين الإكليلية والمحورية مع طلب إجراء مقاطع رقيقة للوضعية الإكليلية. ويسهم المقطعي المحوسب عديد الشرائح multislices CTscan بإجراء تصوير بالوضعية السهمية مباشرة، وهذه الوضعية تفيد جداً في تحديد مكان الكسر ولاسيما في تحديد علاقته بمدخل الردب الجبهي frontal recess وبالصفيحة الخلفية لهذا الجيب (الشكل 1).

يبدي التصوير المقطعي المحوسب وجود تفرق اتصال أو كسر صريح في قاعدة القحف الأمامية (الشكل 2) إما بمنطقة الصفيحة المصفوية cribriform وإما الصفيحة الجانبية lateral lamella وإما النقرة الغربالية fovea ethmoidalis، وأحياناً على الصفيحة الخلفية للجيب الجبهي أو في سقف الجيب الوتدي أو جداره الجانبي .

وفي الكسور الشعرية أو الصغيرة جداً التي لا يمكن تأكيد نزّ السائل الدماغي الشوكي من خلالها تحقن مادة ظليلة (الـ Omnipaque) في السائل الدماغي الشوكي في الناحية القطنية قبل التصوير مما يساعد على إظهار مرور هذه المادة عبر كسر صغير في سقف الأنف أو أحد الجيوب المصابة (الشكل 3). يشترط بهذا الإجراء وجود سيلان فعال وقت التصوير.

يفيد المرنان في تحديد وجود القيلات السحائية والسحائية الدماغية (الشكل 4)، وفي تشخيص متلازمة السرج التركي الفارغ وتحديد توسع البطينات الدماغية حين وجود ارتفاع الضغط داخل القحف.

الشكل (4) يظهر الفحص المباشر للأنف وجود كتلة سليلية المظهر تملأ الحفرة الأنفية تتدلى من الأعلى،
ويظهر التصوير المقطعي المحوسب هذه الكتلة في مقدم الأنف مع امتداد عبر تفرق اتصال في الحفرة المثقبة.
أظهر المرنان أن هذه الكتلة هي قيلة سحائية مع عنق ضيق.

 

العلاج والتدبير:

 

تشفى معظم حالات سيلان السائل الدماغي الباكرة التي تحدث بعد الرضوض تلقائياً أو بتطبيق العلاج المحافظ مدة أسبوعين. يتضمن العلاج المحافظ الراحة في السرير عدة أيام مع رفع الرأس 30 درجة وتجنب الانحناء

الشكل (5)
يظهر قيلة سحائية صغيرة (خلال العمل الجراحي) بسقف الجيب الغربالي الأيمن يخرج منها السائل الدماغي الشوكي
على نحو واضح (السهم).

الأمامي وكل ما يرفع الضغط داخل البطن، وإعطاء المسهلات البسيطة وكذلك تحديد تناول السوائل. يعتقد بعضهم أن بعض المدرات أو الأدوية التي تؤدي إلى إنقاص إفراز السائل الدماغي الشوكي (مثل الأستيازولاميد 250 ملغ 4 مرات يومياً) تفيد في إيقاف سيلان السائل الدماغي الشوكي. هناك اختلاف على فائدة إعطاء الصادات الواسعة الطيف. وذكرت فائدة البزل القطني المتكرر في إنقاص ضغط السائل الدماغي الشوكي وبالتالي تحفيز التئام الثقب في السحايا.

يوضع الاستطباب الجراحي للحالات التي لا تشفى بالعلاج المحافظ، أو حين تكرر التهاب السحايا.

إن تدبير النواسير السحائية على الأنف والجيوب يجرى بالطريق العصبي المفتوح open craniotomy مع كل ما لهذا التداخل من مضاعفات ووفيات قد تكون عالية.

ولكن التداخل لإغلاق هذه النواسير بمساعدة المنظار عبر الأنف فتح مجالاً واسعاً لجراحة محدودة الرض وذات فعالية عالية ونسب منخفضة جداً من المضاغفات ومكوث قصير في المستشفى؛ إذ يوفر التداخل عبر الأنف بالتنظير إمكانية واسعة لإغلاق النواسير السحائية الأنفية مع رؤية ممتازة لها (الشكل 5)، مع وضع دقيق للطعم في المكان المناسب وذلك لأي كسر محدود (أقل من 1.5-2سم بحسب كثير من الآراء)، في قاعدة القحف الأمامية يتوضع في أي مكان بين مدخل الجيب الجبهي حتى الحدود الخلفية للجيب الوتدي.

ومع ذلك يبقى للتداخل بالطريق العصبي الخارجي بعض المزايا (فهو يوفر كشف مكان الناسور كشفاً مباشراً وواضحاً مع وضع الطعم بين العظم والسحايا overlay مما يكفل ثباته على نحو أفضل)، وبعض الاستطبابات مثل الكسور الواسعة أو ثنائية الجانب في قاعدة القحف الأمامية وكذلك الممتدة إلى الجدار الخلفي للجيب الجبهي كما ذكر سابقاً.

الإنذار:

تتوقف معظم الحالات الرضية الباكرة من سيلان السائل الدماغي الشوكي من الأنف تلقائياً أو بالعلاج المحافظ، وتشير معظم الدراسات إلى نسب نجاح بين 85-90% لإغلاق النواسير السحائية الأنفية عبر التنظير الأنفي.

 

   

 


- التصنيف : أذن أنف حنجرة - النوع : أذن أنف حنجرة - المجلد : المجلد الحادي عشر، طبعة 2013، دمشق - رقم الصفحة ضمن المجلد : 469 مشاركة :

بحث ضمن الموسوعة

من نحن ؟

الموسوعة إحدى المنارات التي يستهدي بها الطامحون إلى تثقيف العقل، والراغبون في الخروج من ظلمات الجهل الموسوعة وسيلة لا غنى عنها لاستقصاء المعارف وتحصيلها، ولاستجلاء غوامض المصطلحات ودقائق العلوم وحقائق المسميات وموسوعتنا العربية تضع بين يديك المادة العلمية الوافية معزَّزة بالخرائط والجداول والبيانات والمعادلات والأشكال والرسوم والصور الملونة التي تم تنضيدها وإخراجها وطبعها بأحدث الوسائل والأجهزة. تصدرها: هيئة عامة ذات طابع علمي وثقافي، ترتبط بوزير الثقافة تأسست عام 1981 ومركزها دمشق 1