أورام الجهاز الحركي
اورام جهاز حركي
tumors of the locomotorium - tumeurs d’appareil locomoteur
بسام دياب
يسمى كل انتباج أو انتفاخ في العظم أو ما حوله في المصطلح الطبي ورماً عظمياً bone tumours سليماً كان أم خبيثاً أم خمجياً.
الأعراض:
تبدأ معظم أورام العظام بملاحظة المريض انتباجاً أو انتفاخاً فوق عظم ما في الجسم، وقليلاً ما يكون الألم هو العرض الأول الملاحظ. لذا يقال: إن هذه الأورام تبدأ خلسة وتدريجياً.
القصة السريرية:
يجب سماع قصة المريض وملاحظاته غير الطبيعية التي شعر بها منذ بدء الشكوى، وإصابته بحمى أو نقص الوزن، ومعرفة سن المريض وعمله الحالي والسابق وتعرضه لرضوض معيّنة، ومرافقة الانتباج لأعراض أخرى في بقية أعضاء جسمه.
الفحص السريري:
يجب أن يكون الفحص السريري وفق منهج ثابت؛ كيلا يفوت على الطبيب أي من دقائق الفحص الصحيح.
تفحص المنطقة التي يتألم منها المريض فحصاً دقيقاً:
-1 التأمل (قبل لمس المريض):
|
تشوه منظر الفخذ الأيسر بالساركومة الليفية الخبيثة (فايبروساركوماfibrosarcoma ). |
يجب تأمل المريض عامة:
أ- العظام: وضعية الأطراف وما فيها من تشوه أو قصر أو وضعيات معيبة.
ب- النسج الرخوة: وجود انتباج أو ضمور عضلي ومقارنته بالطرف الآخر.
ج- لون الجلد: وجود تصبغات أو لمعان أو احمرار أو زرقة.
د- الندبات والنواسير: سواء كانت ناجمة عن عمل جراحي قديم أم مرضية المنشأ أم نتيجة تقيح سابق أو موجودٍ حالياً.
-2 الجس:
أ- العظام: يرى الانسياب العام والنتوءات العظمية، ويفتش عن بروزات غير طبيعية.
ب- الأنسجة الرخوة: يفتش في العضلات وأنسجة حول المفصل عن ثخن الغشاء المصلي أو انصباب ضمن المفصل أو تورم فيه، أو انتباج كامل القسم المفحوص.
قد يكون سبب الانتباج والتورم حول مفصل ما ثخن النهاية العظمية (وتحدد هذه بالجس العميق وبمقارنة قياس المحيط العظمي في الجانبين)، أو بسبب انصباب في المفصل ذاته (وهو يعرف من وجود تموج صريح).
أما ثخن الغشاء المصلي فيعطي الشعور بوجود طبقة إسفنجية مطاطية بين الجلد والعظم يرافقه غالباً ارتفاع الحرارة الموضعية لغزارة التوعية الدموية في الغشاء المصلي.
ومن الأمور الأساسية تحديد الفرق بالقياس بين الطرف المصاب والطرف السليم لتحديد شدة الإصابة، وكذلك تحديد درجة الضمور العضلي إن وجد.
وفي المفاصل: يجب تحديد حركة المفصل والتفتيش عن الطقطقة والألم في أثناء الحركة.
ج- حرارة الجلد: يفتش عن حرارة المنطقة المصابة، مرتفعة كانت أم منخفضة بمقارنتها بالجوار أو بالطرف المقابل. ويدل ارتفاع الحرارة الموضعي على ازدياد التوعية الدموية حول المنطقة المصابة بسبب التهابي أو خمجي. وتفيد معرفة درجة الدوران المحيطي في تحديد درجة الإصابة وحدتها.
د- الألم الموضّع: وتحديد سببه الحقيقي.
وأخيراً يجب السؤال عن وجود أعراض وعلامات بعيدة عن منطقة الإصابة البدئية. وفحص المريض فحصاً عاماً لتقييم وضعه كلّه.
الفحوص المتممة:
-1 الفحص الشعاعي البسيط Simple X Ray:
وهو أول الفحوص المتممة وأكثرها استعمالاً وأسلهلها وأقلها كلفة.
يجب أن تقرأ الصورة جيداً على لوحة مضاءة متناسقة وأن تلاحظ فيها الكثافة العظمية على نحو عام. كما يُبحث عن التغيرات الموضعية في كثافة العظام. ويفحص قشر العظم فحصاً دقيقاً خوفاً من وجود كسر، أو منطقة غير منتظمة الحواف أو وجود نخر أو زيادة كثافة القشر أو رقته أو احتمال وجود تشكلات عظمية جديدة فوق القشر وتحت السمحاق أو وجود زوائد عظمية.
ثم يدرس نقي العظم وما قد يكون فيه من مناطق متنخرة أو متصلبة.
ومن المهم دراسة الأنسجة الرخوة حول العظام والمفاصل والبحث عن مناطق متكلسة أو متعظمة أو ظل أو خراج فيها. ومن الضروري كذلك إجراء صورة الصدر البسيطة لوضع التشخيص الصحيح وطريقة المعالجة المناسبة للأورام الخبيثة.
-2 التصوير المقطعي المحوسب Scan CT:
يحدد التصوير المقطعي المحوسب للعضو المصاب الأبعاد الدقيقة للورم العظمي وامتداده وشكله، كما ينبه تصوير الصدر بهذه الطريقة على وجود انتقال الورم حين الشك بذلك.
-3 التصوير بالرنين المغنطيسي MRI:
يوضّح التصوير بالرنين المغنطيسي وضع الأنسجة الرخوة حول الورم ووجود انحراف في العضلات أو الأوعية الدموية. ويساعد حقن مواد ظليلة وريدياً مع التصوير بالرنين المغنطيسي على تحديد نوع الورم واستجابته مستقبلياً للعلاج الشعاعي أو الكيميائي أو كليهما.
-4 التصوير الوعائي:
قد يكون من الضروري أحياناً تصوير الأوعية قبل إجراء المداخلات الجراحية لتحديد مسار الشرايين الكبيرة ضمن الأورام أو إلى جانبها.
-5 ومضان العظام:
أصبح من الأمور الأساسية إجراء ومضان العظام في الأورام الخبيثة لاحتمال وجود انتقالات بعيدة، وقد يساعد أحياناً على تحديد مصدر الورم الأولي.
-6 التصوير الظليل:
وذلك بحقن مادة ظليلة في ناسور يصل إلى الورم العظمي، وهو يفيد في التشخيص التفريقي بين ورم عظمي وأذيات أخرى.
-7 الفحوص المخبرية: ومنها:
أ- الفحوص الدموية: مثل سرعة التثفل التي تزداد في الآفات الورمية والخمجية.
والتعداد العام: (لكشف فقر الدم في الأورام الخبيثة).
ب- الفحوص الكيميائية الحيوية:
> عيار الفوسفاتاز القلوية: التي ترتفع في بعض الأورام الخبيثة.
> عيار الفوسفاتاز الحامضة التي ترتفع في سرطان الموثة (البروستات) المصحوب بانتقالات عظمية.
> إجراء رحلان بروتينات الدم الكهربائي التي تضطرب في الورم النقوي المتعدد multiple myeloma (MM).
> فحص البول، وتحري بروتين بنس جونس الذي يُشخّص الورم النقوي المتعدد.
-8 الفحوص النسيجية:
التي تؤخذ بالخزعة المباشرة جراحياً أو ببزل النقي الذي يفيد في تشخيص الورم النقوي المتعدد.
تصنيف الأورام العظمية:
|
نوعا الورم العظمي السليم بشكليه: أ-ب الورم العظمي الإسفنجي، ج- الورم العظمي العاجي. |
اختلفت المدارس الطبية في السنوات الأخيرة في تصنيف أورام العظام، من أورام سليمة إلى أورام شديدة الخبث، وبينهما درجات متعددة متداخلة أحياناً كثيرة ومتباينة في التدبير
والعلاج.
وإجمالاً تقسم أورام العظام إلى أورام سليمة وأورام خبيثة. وتقسم الخبيثة إلى أولية وثانوية انتقالية.
- 1الورم العظمي osteoma:
هو بروز مدور أملس على سطح عظم طويل أو سطح عظم الحوض أو الجمجمة، وله نوعان:
أ- ورم عظمي على حساب خلايا قشرية، ويسمى الورم العظمي العاجي ivory osteoma.
ب- ورم عظمي على حساب خلايا إسفنجية، ويسمى الورم العظمي الإسفنجي cancellous osteoma.
|
الورم الغضروفي المركزي (داخل العظمي) في المشط الثاني من اليد |
المعالجة: يترك الورم وشأنه إلا أن يكون كبير الحجم ومشوهاً المنطقة أو ضاغطاً عضواً مهماً كشريان أو عصب مسبباً أعراضاً مزعجة؛ فيستأصل حينئذٍ جراحياً.
-2 الورم الغضروفي chondroma:
يصيب كل الفئات العمرية، تنشأ خلاياه من الغضروف الزجاجي الناضج، ويقسم إلى:
أ- الورم الغضروفي المحيطي (خارج عظمي) ecchondroma أو السمحاقي: يبدأ الورم في العظم، وينمو باتجاه المحيط وخارج حدود العظم الطبيعية، وهو يحدث غالباً في عظام اليد أو القدم أو في أحد العظام المسطحة كعظم اللوح أو عظم الحرقفة.
ب- الورم الغضروفي المركزي داخل العظمي enchondroma: يبدأ الورم داخل العظم، فينتبج العظم، وتصبح قشرته رقيقة جداً. ويتعرض لكسور تسمى كسوراً مرضية pathalogical fractures. وتحدث هذه الأورام في عظام اليد والقدم غالباً.
قد تحدث هذه الأورام الغضروفية في عدد من العظام الأنبوبية الطويلة والقصيرة كما تحدث في العظام المسطحة، وتسمى عندها (داء الأورام الغضروفية المتعددة multiple chondromatosis أو داء أولّير Ollier disease). الذي تتشكل فيه الأورام في مناطق غضاريف الاتصال، فتسبب اضطرابات في نمو العظام المصابة يتلوها قصر العظام وتشوهها وعجز وظيفي واضح، وإذا رافقت هذه الأورام المتعددة أوراماً وعائية في الأنسجة الرخوة دعيت عندها (متلازمة مافوشي Maffucci's syndrome) تتحول نسبة كبيرة من داء أولّير إلى أورام خبيثة بعد سن الأربعين.
|
- الورم الغضروفي المركزي، ب- الورم الغضروفي المحيطي، ج- الورم الغضروفي البلازمي السليم. |
تظهر الأورام الغضروفية الداخلية شعاعياً بمظهر سليم؛ ولكن توجد فيها تكلسات غير منتظمة مرقطة، وتتوضع في أصابع اليد أو القدم، وتتسع جداً لتأكّل القشر على نحو كبير، وتنتفخ السلامى المصابة.
أما إذا كانت الإصابة في الأنسجة الرخوة المجاورة فإنها قد تكون غالباً من نوع الساركومة، وليست سليمة.
| |
ا لورم الغضروفي الداخلي في الأصابع ومنظره الشعاعي وامتداده خارج قشر العظام. | |
أما الأورام الغضروفية الخارجية (السمحاقية) فتكون صغيرة (أقل من 3سم) ومحددة؛ وشكلها شعاعياً كصحن الفنجان على سطح العظم، والقشر تحتها متصلب.
نسيجياً: كل الأورام الغضروفية مفرطة الخلوية، وتعطي منظر الغضروف الزجاجي الناضج.
وقد يحدث هذا الورم في الظنبوب أو الشظية، وهو أمر نادر عدا حالة تسمى عسرة تشكل الغضروف dyschondroplasia، وهي نوع من أنواع الأورام الغضروفية الداخلية.
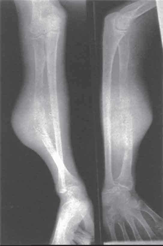
ج- داء الأورام الغضروفية الداخلية المتعددة enchondromatosis: إصابة شديدة متعددة في الأطراف الأربعة، ويكون الطرف الأيسر أشد إصابة من الطرف الأيمن وأقصر.
تنشأ الأفة على غضاريف الاتصال الآخذة بالنمو، وتتداخل في النمو الطبيعي للعظم. وقد يؤدي ذلك إلى عدم نمو الظنبوب والشظية على نحو متساوٍ مع ما يلي ذلك من تقوس العظام أحياناً أو ميل مستوى مفصل عنق القدم عن المستوى الأفقي.
|
الورم العظمي الغضروفي في النهاية السفلية للعضد لشاب في سنّ 13 سنة. |
نادراً ما تتحول هذه الأورام إلى أورام خبيثة؛ وتسمى عندها الساركومة الغضروفية chondrosarcoma.
المعالجة: تراقب الأورام الغضروفية الوحيدة شعاعياً، وغالباً ما يُلجأ إلى استئصال هذا الورم وإلى تطعيم منطقته؛ إذا سبب كسراً مرضياً. أما في حالة الأورام الغضروفية المتعددة (داء أولّير) والتي تكون نسبة 25%. منها تتحول إلى خبيثة؛ فيجب مراقبتها بدقة أكبر، وقد يُضطر أحياناً إلى إجراء عمليات تجميلية إذا سببت تشوهاً مزعجاً للمريض.
-3 الورم العظمي الغضروفيosteochondroma :
يبدأ الورم في منطقة غضروف الاتصال، ويبتعد تدريجياً عنه بسبب نمو العظم الطولاني، ويكون النمو بأشكال بارزة تشبه شكل الفطر وباتجاه محيطي، فهو يتشكل كما يوحي اسمه من نسيج عظمي ونسيج غضروفي. ويكوّن العظم جذع الورم وقسماً من رأسه في حين يغطي الغضروف الجزء البعيد منه (قبة الفطر)، ويستمر نمو الورم حتى سن البلوغ.
يكون الورم وحيداً غالباً، ولكن هناك حالة يكون الورم فيها متعدداً في عدة نواحٍ من الجسم (لذا يجب البحث عنه بجس أطراف العظام الطويلة جساً دقيقاً) تسمى داء الأغران العظمية المتعددة multiple exostoses أو مُداء جدْليّاً diaphyseal aclasis، وقد تسبب هذه الحالة القزامة بسبب اضطراب نمو غضاريف العظام الطويلة.
المعالجة: بالاستئصال الجراحي.
-4 الورم ذو الخلايا العرطلةgiant cell tumour :
يبدأ هذا الورم في سن المراهقة والشباب، ومع أنه يصنف في زمرة الأورام السليمة؛ فإنّ له صفة النكس الموضعي، ويتحول أحياناً إلى ورم خبيث يسبب انتقالات بعيدة في الجسم عن طريق الدم، ولذا يجب مراقبته بدقة وحذر.
يظهر في التشريح المرضي للورم خلايا عرطلة عديدة النوى (نحو 50 نوية في كل خلية). ضمن خلايا سدوية عديدة النوى، ويلاحظ أن النوى واحدة في كلا الخلايا العديدة النوى والعرطلة. وهو ما يميز هذا الورم من عدد من الأورام التي تحتوي خلايا عرطلة. وقد تشاهد خلايا بالعة كبيرة أو خلايا مغزلية أو مكونات عظمية.
يبدأ الورم ذو الخلايا العرطلة في ناحية بصلة العظم، ثم ينمو باتجاه نهايته (مشاشة العظم)، وقد يصل إلى قرب السطح المفصلي دون أن يتجاوزه إلى المفصل ذاته.
يُخرب النسيج الورمي العظم (آفة آكلة) غير أن عظماً جديداً يبدأ بالتشكل تحت السمحاق الذي يبعده الورم عن سطح العظم، ولهذا تنتبج نهاية العظم.
يظهر المرض تدريجياً بتورم وألم، وقد يسبب كسراً مرضياً في منطقة الإصابة، وقد يكون هذا الكسر العرض الأول للورم في ربع الحالات.
يصيب الورم النهاية السفلية لعظم الفخذ أو النهاية العلوية للظنبوب أو النهاية السفلية لعظم الكعبرة أو النهاية العلوية لعظم العضد.
تظهر الصورة الشعاعية البسيطة النهاية العظمية المصابة منتبجة ومقسمة بحواجز عظمية رقيقة إلى عدة كهوف أو جيوب، والقشر العظمي رقيق جداً، وقد يصل الورم إلى منطقة العظم تحت الغضروف المفصلي من دون أن يمتد إلى داخل المفصل.
تنتقل الآفة إلى الرئتين في 3% من الحالات فقط، لذا يجب تصوير الصدر دائماً ومتابعة ذلك كل عدة أشهر؛ إذا ثبتت الانتقالات للرئتين.
![]() توزع الورم ذي الخلايا العرطلة (رسم طرف واحد). | |
وجود الورم في الظنبوب. | |
| |
الورم ذو الخلايا العرطلة (أ-ب-ج) الورم يتجاوز خط المفصل، (د) تبدلات خبيثة ولم تعد هناك حدود واضحة مع بقية العظم. | |
المعالجة: اختلفت المعالجة عبر السنين وبحسب منطقة الورم، فهو إذا أصاب عظماً يمكن الاستغناء عنه مثل عظم الترقوة أو عظم الشظية؛ يفضل دائماً استئصال العظم كله أو القسم الأكبر منه لضمان عدم نكس الورم نهائياً. أما إذا أصاب عظماً مهماً كعظم الفخذ أو الظنبوب فتجرف المنطقة المصابة تجريفاً واسعاً، ويغسل مكانها بمواد معقمة كالبوفيدون أو الماء الأكسجيني الممدد أو حمض الخل الممدد، ثم يحشى مكان الورم بالأسمنت (الملاط) الطبي؛ إذ يُظن أن حرارة الأسمنت حين استمساكه ودخوله إلى مسامات الورم غالباً ما تقضي عليه نهائياً. وإذا نكس الورم بعد هذه المحاولة الأولى استؤصل كامل القسم المصاب من العظم (الفخذ أو الظنبوب)، ويعوض بقطعة عظمية مشابهة من مصرف العظام، وتثبت ببقية العظم بصفيحة ولوالب (براغي)، بعد أن أصبح هذا متوفراً في الوقت الحالي. كما تتوفر حالياً مفاصل صناعية مصنعة خاصة بكل حالة لتعويض القطعة المستأصلة من العظم، وتصنع هذه المفاصل بعد قياسات دقيقة بالتصوير بالحاسوب؛ كي تكون غير مشوهة للطرف ولا تسبب عجزاً للمريض، إضافة إلى أنه يمكن حالياً تطويل هذه الِبدْلات prosthesis فيما إذا استعملت للأطفال.
قد يؤدي استعمال الأشعة في معالجة الأورام ذات الخلايا العرطلة إلى استحالة خبيثة مع انتقالات للورم، والمعالجة الكيميائية غير مثبتة الفعالية.
يجب متابعة المرضى المصابين بأورام الخلايا العرطلة جيداً ودورياً؛ ولاسيما إذا ظهرت لديهم انتقالات رئوية، وذلك بالأشعة البسيطة والـ (CT) وبالخزعة أحياناً.
-5 ورم العظم الوعائيhaemangioma of bone :
ينشأ هذا الورم من النسيج الوعائي الموجود في نقي العظام (وليس من النسيج العظمي)، وقد يكون أولياً أو انتقالياً. يظهر شعاعياً بشكل ترقق عظمي معمم، ثم يبدو ضمور النسيج العظمي بسبب استيلاء الأورام الدموية المتعددة عليه. يشاهد في الفقرات على نحو خاص، وقد يشاهد في العضد أو القدم أو اليد. يسبب توضعه في الفقرات آلاماً مبهمة، ويمكن بالتصوير المقطعي المحوسب وبالرنين المغنطيسي تأكيد التشخيص. وقد يشاهد هذا الورم في العظام الطويلة في الأطفال واليافعين.
| |
ورم وعائي haemangioma. | الورم الوعائي في العظم (في جسم الفقرة الظهرية السابعة). |
-6 ورم الأرومة الغضروفية chondroblastoma:
ورم سليم نادر يشكِّل 1% من أورام العظام، يحدث في الذكور أكثر من الإناث بين 10-25 سنة من العمر، ويحدث في أسفل الفخذ وأعلى العضد غالباً حيث يتوضع في مشاش العظام.
شعاعياً: آفة محاطة بحواف عظمية متصلبة فيها غالباً تكلسات قد تمتد إلى الأنسجة الرخوة.
بالفحص المجهري: لحمة غضروفية فيها خلايا صانعات الغضروف وتكلسات ضمن الكيسة.
المعالجة: تكون المعالجة بالتجريف الواسع والتطعيم العظمي أو وضع أسمنت طبي (المعالجة شبيهة بمعالجة ورم الخلايا العرطلة مع محاولة الحفاظ على غضروف النمو)، ويجب مراقبة الصدر من أجل كشف الانتقالات النادرة.
-7 ورم الأرومة العظمية osteoblastoma:
ورم نادر أيضاً يحدث في الشباب الصغار الذكور، تصيب نصف حالاته العمود الفقري (العناصر الخلفية منه)، وينتشر إلى الأنسجة الرخوة. يختلط نسيجياً بالورم العظماني osteoid osteoma، ولابد من الاستقصاءات الشعاعية الواسعة لتحديد الورم ونوعيته.
المعالجة: يعالج هذا الورم في غير العمود الفقري بالتجريف الواسع أو الاستئصال. أما إذا كانت الإصابة في العمود الفقري فلا بد من التثبيت الداخلي بالصفائح واللوالب.
-8 الورم الحبيبي الحامضي (ويسمى حالياً ورم المنسجات بخلايا لانغرهانس):
ورم نادر قد يصيب أي عظم (ولكن الفقرات الظهرية أكثر إصابة به)، يبدأ -في أعمار مبكرة بين 5 و20 سنة- بألم في أثناء الراحة والنوم.
شعاعياً: تظهر الفقرة مسطحة. والخزعة ضرورية لتحديد الآفة.
المعالجة: إذا كانت الإصابة في العمود الفقري يستطب رفع الضغط عن الأعصاب المتأذية وتثبيت الفقرات، أما بقية الإصابات فتعالج بالتجريف والتطعيم، وقد يعالج معالجة كيميائية.
ثانياً- أورام العظام الخبيثة الأوليةprimary malignant bone tumours :
-1 الساركومة العظمية (الغرن)osteosarcoma :
يصيب هذا الورم غالباً الأطفال والشباب، ونادراً ما يرى مضاعفةً لداء باجيت في الشيوخ.
تكوّن الساركومة العظمية نحو 20% من أورام العظام الخبيثة (والورم الوحيد الأكثر شيوعاً منه هو الورم النقوي المتعدد multiple myeloma (MM)، وقد يكون للعامل الوراثي شأن فيه، يبدأ غالباً في المناطق التي تنمو فيها العظام نمواً سريعاً في الأطفال والشباب، يشكو المصاب آلاماً تزداد تدريجياً؛ ولاسيما ليلاً.
يتكون هذا الورم من الخلايا المولدة للعظم، ويحدث غالباً في النهاية السفلية لعظم الفخذ أو النهاية العلوية لعظم الظنبوب أو النهاية العلوية لعظم العضد.
| |
ساركومة عظمية في النهاية العلوية للعضد: هناك تصلب واضح مع تخرب في العظم. | ا لساركومة العظمية أ- في النهاية السفلية للكعبرة (منظر أشعة الشمس على الحافة الإنسية للكعبرة)، ب- في عنق الفخذ (تصلب واضح في منطقة الإصابة). |
يبدأ الورم في ناحية بصلة العظم بتأكّل النسيج العظمي، ولا يلبث أن ينتشر إلى النسج الرخوة المجاورة للعظم.
يبقى هذا الورم محدداً في جسم العظم، ويندر أن يخترق غضروف الاتصال والامتداد إلى مشاش العظم.
وهو ينتقل إلى الرئتين والعظام الأخرى بسرعة عن طريق الدم.
تبدأ شكوى المريض بألم موضعي قرب إحدى النهايات العظمية، ويكشف الطبيب بالفحص السريري وجود تورم وحرارة موضعية على الجلد بسبب فرط التوعية الدموية حول الورم.
ومن الضروري إجراء التصوير الشعاعي البسيط والمقطعي المحوسب والرنين المغنطيسي وومضان العظام لتحديد شدة الورم وإنذاره، تُظهر الصورة البسيطة أولاً وجود ائتكال
وتخريب في ناحية بصلة العظم المصاب، ثم في مرحلة متقدمة يبدو قشر العظم مؤتكلاً في نقطة واحدة أو أكثر، وتظهر تنشؤات عظمية جديدة تحت السمحاق الذي جرده الورم عن سطح العظم، وهذه التنشؤات العظمية الجديدة بشكل خطوط عمودية على قشر العظم (مظهر أشعة الشمس)sunburst appearance أو بشكل مثلثين في الزاويتين المتكونتين بين سطح العظم والسمحاق الذي جرده الورم، ورفعه عن سطح العظم، ويسمى كل من هذين المثلثين مثلث كودمانcodman’s triangle .
| |
مثلث كودمان: نوعي لتشخيص الساركومة العظمية osteosarcoma وارتشاح الورم وتسليخه للمنطقة المصابة. | الساركومة عظمية المنشأ osteogenic sarcoma للكعبرة (تلتبس بداء إوينغ). |
ويظهر التصوير المقطعي المحوسب والرنين المغنطيسي شدة إصابة الأنسجة الرخوة حول الورم.
أما ومضان العظام فيظهر احتمال وجود انتقالات بعيدة إلى العظام. تظهر صورة الصدر الشعاعية البسيطة والتصوير المقطعي المحوسب الانتقالات إلى الرئتين؛ إن وجدت (إذ إن الرئة هي المكان الأكثر شيوعاً للانتقالات)، ويجب أن تُجرى هذه الاستقصاءات قبل أخذ الخزعة العظمية من منطقة الورم.
يجب دوماً أخذ خزعة من العظم وفحصها نسيجياً، وإجراء زرع القيح إن وجد، واختبار التحسس احتياطاً لتحديد نوع الورم بالضبط وتفريقه عن بقية الأورام وعن ذات العظم والنقي التي قد تلتبس به أحياناً في بعض أشكال الورم غير النموذجية.
للساركومة العظمية أنواع عديدة، منها:
- الساركومة العظمية السمحاقية.
- الساركومة العظمية المجاورة للسمحاق.
- الساركومة العظمية داخل النقي عالية الدرجة.
- الساركومة العظمية داخل النقي منخفضة الدرجة.
- الساركومة العظمية صغيرة الخلايا.
- الساركومة العظمية مع الشعريات المتوسطة.
- الساركومة العظمية المألوفة.
- وهذا النوع الأخير (أي الساركومة العظمية المألوفة) هو الأكثر شيوعاً. تبدأ الآفة في النقي، ثم تتجاوزه إلى القشر العظمي وخارجه لتشكل كتلة في الأنسجة الرخوة. ويشاهد بالفحص النسيجي إنتاج عظمي (خلايا مصنعة للعظم أو الليف أو الغضروف)، وهي خلايا مغزلية غالباً مع فرط الخلوية، وانقسام فتي غزير وتعدد أشكال النويات.
- أما النوع السمحاقي فهو متوسط الخبث، ويتوضع غالباً في الفخذ أو الظنبوب، وتشاهد نسيجياً ألياف من خلايا مغزلية منتجة للعظم بشكل أشعة بين فصوص الغضروف.
- والساركومة العظمية المجاورة للسمحاق نادرة المشاهدة، ودرجة خبثها قليلة، تبدأ من سطح العظم، وتغزو قناة النقي متأخراً، يجب تفريقها عن التهاب العضلات المعظم والورم الغضروفي العظمي.
- والساركومة العظمية داخل النقي منخفضة الدرجة نادرة وبطيئة، تبدأ من داخل النقي، وتخرب القشر تدريجياً، وتشاهد بالفحص النسيجي خلايا مغزلية نموذجية تشكل أعمدة عظمية نظامية.
- وبقية أشكال الورم نادرة المشاهدة جداً.
المعالجة: حين تشخص الساركومة العظمية يكون 15-20% من المصابين بها قد أصيبوا بانتقالات إلى الرئتين، وقد تكون هذه الانتقالات كبيرة لدرجة لا يمكن استئصالها جراحياً، ولذلك فإن توقعات البقاء على قيد الحياة تكون ضعيفة، تعالج الانتقالات الورمية إلى الرئتين أحياناً بالاستئصال الجراحي؛ إذا كانت عقداً صغيرة مع تطبيق المعالجة الكيميائية. ولكن المرضى المصابين بالساركومة العظمية عالية الدرجة تكون لديهم انتقالات مجهرية غير مكتشفة عند وضع التشخيص، ولذا فإن غاية المعالجة الكيميائية قتل هذه الانتقالات المجهرية سواءً أجريت قبل الجراحة الجذرية الواسعة (استئصال الورم أو بتر الطرف) أم أُجريت بعد الجراحة، ومع ذلك فإن نسبة النكس عالية (50%) لوجود هذه الانتقالات.
-2 الساركومة الغضروفية chondrosarcoma:
تنمو هذه الساركومة كالورم الغضروفي السليم على حساب الخلايا الغضروفية، وهي مثله قد تنمو داخل العظم (الساركومة الغضروفية المركزية) أو على سطح العظم (الساركومة الغضروفية المحيطية)، وتكوّن نحو 10% من أورام العظام الخبيثة، وتتكون نسيجياً من خلايا خبيثة مع لحمة غضروفية غزيرة.
تظهر الساركومة الغضروفية المركزية غالباً في العظام الطويلة (الفخذ أو الظنبوب أو العضد) في حين تنمو الساركومة الغضروفية المحيطية على سطح أحد العظام المسطحة كعظم الحرقفة أو العجز أو اللوح، وينجم النوعان المركزي والمحيطي غالباً عن استحالة خبيثة لورم غضروفي سليم مركزي أو محيطي.
| |
الساركومة الغضروفية في الحرقفة. | الساركومة الغضروفية لنهاية الفخذ عند طفل في سنّ 11 سنة. |
|
توزع الساركومة الغضروفية. |
يصيب الورم الأشخاص في متوسط العمر (من 25-60سنة)، يبدأ تدريجياً بألم وتورم. تُظهر الصور الشعاعية في النوع المركزي انتفاخاً في جسم العظم، ثم يتنخر قشر العظم، ويمتد التنخر إلى النسج المحيطة بالعظم. أما في الساركومة الغضروفية المحيطية فيبدو في الصورة الشعاعية ظل أنسجة رخوة ناشئة على سطح أحد العظام المسطحة ينمو باتجاه محيطي وغالباً مع بعض التكلسات ضمن هذا الظل، ينمو هذا الورم ببطء ولعدة سنوات، وقد يكتشف عرضاً في أثناء تصوير شعاعي عارض.
يتحول داء »اولّير« -وهو الورم الغضروفي السليم- إلى الخبيث في ربع الحالات في سن مبكرة (نحو الأربعين من العمر).
المعالجة: يشفى الورم منخفض درجة الخبث بالتجريف الجيد واستعمال الأسمنت الطبي، أما الورم عالي درجة الخبث فإن الاستئصال الجذري أو الواسع أو البتر هو الأساس في المعالجة.
ولما كانت نسبة النكس الموضعي عالية بسبب التلوث الورمي في أثناء الجراحة يلجأ إلى الاستئصال الجذري في كثير من الأحيان، ولم تثبت فائدة العلاج الكيميائي حتى الآن، أما العلاج الشعاعي فهو إجراء تلطيفي فقط.
يبقى إنذار هذا الورم محتفظاً به، وكلما كان الورم عالي درجة الخبث كان إنذاره أسوأ.
-3 ساركومة العظم الليفية fibrosarcoma of bone:
(والورم المنسج الليفي الخبيثmalignant fibrous histiocytoma (MFH) ، وهما ورمان متشابهان جداً بالأعراض والإنذار والعلاج).
يتكون هذا الورم من نسيج ليفي، وهو نادر الحدوث (3-5% من الأورام العظمية الخبيثة). يبدأ وينمو داخل أحد العظام، ويختلف بهذا عن الساركومة الليفية التي تنمو في النسج الرخوة، ثم تغزو العظم من الخارج، يشاهد هذا الورم في عظم الفخذ أو الظنبوب وفي الشباب غالباً، وقد يُرى في أي سنّ.
ينمو الورم غالباً على حساب النسيج العظمي الذي يخربه، ويحل محله، ثم ينخر قشر العظم، ويمتد إلى النسج المحيطة بالعظم، ويكشف بكسر مرضي في ربع الحالات.
بالتصوير الشعاعي يبدو العظم مؤتكلاً من الداخل من دون تكون عظم جديد تحت السمحاق، وبذلك يفرق شعاعياً عن الساركومة العظمية. بالفحص العياني يشاهد الورم رخواً أبيض اللون، وبالتشريح المرضي تظهر خلايا مغزلية ساركومية عالية الدرجة، منتظمة على شكل دولاب أو عاصفة أو عظم السمك.
المعالجة: معالجة هذا الورم قريبة جداً من معالجة الساركومة العظمية، ومن الضروري تطبيق المعالجة الكيميائية قبل الجراحة الواسعة (استئصال واسع أو بتر) وبعدها. وهذا الورم أكثر حساسية للمعالجة الشعاعية، لذلك يعتمد إنذاره على جدية المعالجات السابقة ومباشرتها المبكرة.
|
توزع داء إوينغ. |
-4 ورم إوينغ Ewing sarcoma- Ewing tumour :
ورم شديد الخبث قليل الحدوث، ولكنه الورم الرابع من حيث الشيوع بين الأورام العظمية الخبيثة الأولية. ينشأ على حساب الخلايا البطانية (الاندوتليالية) الموجودة في نقي العظام، ولذا ينشأ في جسم العظم، وليس في منطقة بصلة العظم وخاصة في الفخذ أو الظنبوب أو العضد، وقد يحدث في العظام المسطحة ونادراً في الفقرات.
داء إوينغ شديد التوعية، ويجتاح موضعياً النسيج العظمي ويخربه، ويرتكس السمحاق في ناحية الورم ارتكاساً شديداً، ويتشكل عظم جديد بشكل طبقات متوازية متتالية، ولذا يسمى مظهر قشر البصل onion peel appearance. ينتقل الورم مبكراً عن طريق الدم إلى الرئتين وبقية العظام. يصيب الأطفال والشباب (يحتل المركز الأول للأورام العظمية الخبيثة تحت سن عشر سنوات والمركز الثاني تحت سن الثلاثين سنة).
يشكو الطفل ألماً في أحد العظام الطويلة يزداد تدريجياً، وبالفحص السريري يُجس انتباج مغزلي الشكل أو منتشر في ناحية جسم العظم مع ألم بضغطه، وزيادة واضحة في الحرارة الموضعية واحمرار؛ مما يلتبس معه التشخيص بذات العظم والنقي، ويزيد في الالتباس ارتفاع تعداد الكريات البيض وسرعة التثفل و(CRP)، وقد يُظهر البزل بالإبرة سائلاً يشبه القيح، ولكن الفحص النسيجي لهذا السائل هو الوحيد الذي يظهر وجود خلايا ورمية، ولذا فإنه يجب دائماً إرسال عينة السائل أو الخزعة إلى التشريح المرضي وإلى الدراسة المخبرية.
تُظهر الصورة الشعاعية البسيطة ائتكالاً في العظم المصاب مع منظر قشر البصل السابق وصفه، ولكن لا بد من إجراء صورة رنين مغنطيسي لكامل العظم المصاب لإظهار مدى امتداد الآفة إلى الأنسجة الرخوة، وكذلك يجب إجراء تصوير بسيط ومقطعي محوسب للصدر؛ إذ إن الرئتين هما المكان الشائع الأول للانتقالات.
يُظهر ومضان العظام الانتقالات العظمية البعيدة حين وجودها.
إنذار ساركومة إوينغ سيّىء حين وجود انتقالات بعيدة؛ إذ إن نسبة النجاة لا تتعدى 20% مع أحدث العلاجات. وهناك عدد من العوامل تزيد الإنذار سوءاً كحجم الورم وموقعه والحرارة العامة وفقر الدم وزيادة سرعة التثفل وارتفاع تعداد الكريات البيض و(CRP) وزيادة العمر والجنس (في الذكور أكثر).
يجب تمييز هذا الورم من ذات العظم والنقي تحت الحادة ومن بقية أورام العظام الخبيثة، والخزعة من منطقة الورم تُعدّ أساسية لتأكيد التشخيص؛ إذ تكشف وجود خلايا زرق صغيرة مع هيولى قليلة، واستعمال التلوينات المناعية أساسي لتمييز هذا الورم من بقية الأورام التي تحتوي على خلايا زرق صغيرة.
|
إوينغ: كسر مرضي بالكعبرة. |
المعالجة: العلاج الكيميائي أساسي في هذا الورم، ويجب البدء به قبل العمل الجراحي ومتابعته بعد العمل الجراحي لمعالجة الانتقالات البعيدة التي لا تظهر شعاعياً في أول المرض. وقد ارتفعت نسبة الشفاء باستعمال العلاج الكيميائي من 10% إلى نحو 60% مع استئصال الورم الأولي الواسع والمعالجة الشعاعية؛ إذ إن هذا الورم يتحسن جداً بالعلاج الشعاعي الذي قد يكتفى به أحياناً إذا كان مكان الورم حرجاً؛ وليس هناك قدرة على الاستئصال الجراحي الذي هو الخيار الأول للآفة الأولية، ويقيّم التحسن برؤية انكماش حجم كتلة الأنسجة الرخوة حول الورم بالرنين المغنطيسي.
يدل نكس الورم على الرغم من المعالجات السابقة الجراحية والشعاعية والكيميائية على سوء الإنذار، وكلما كان النكس قريباً كان إنذاره أسوأ.
| |
ساركومة إوينغ في عظم الظنبوب، بنت في سنّ 14 سنة (علامة قشر البصل). | صبي في سنّ عشر سنوات: إوينغ شديد الخبث في العضد. |
-5 الورم النقوي المتعددmultiple myeloma (M M) :
أكثر الأورام العظمية الأولية الخبيثة مشاهدة؛ إذ يؤلف نحو 40% منها، ويشاهد في الذكور ضعف ما يشاهد في الإناث، يصاب بهذا الورم غالباً من تجاوز الخمسين من العمر. وهو ورم شديد الخبث يصيب العظام، وينشأ على حساب الخلايا البلازمية plasma cells، ويتوضع خاصة في العظام الغنية بالنقي كالفقرات الظهرية والحوض والقص، وينتشر عن طريق الدم إلى عدة مناطق من الهيكل العظمي.
يكوّن هذا الورم بؤراً صغيرة متعددة محدودة من دون ارتكاس أو تفاعل في العظم المحيط به، ولكنه كثيراً ما يسبب كسوراً مرضية؛ ولاسيما في الفقرات الظهرية، يشكو المريض آلاماً فجائية بعد حمل شيء ثقيل وتوعكاً وضعفاً عاماً وفقر دم ونقص الوزن وقصوراً كلوياً واعتلال الأعصاب المحيطية.
تُظهر الصورة الشعاعية البسيطة مناطق متعددة متأكّلة من العظم صغيرة ومحدودة (آفات حالة واضحة) ومحددة بشكل ثقوب من دون ارتكاس عظمي خاصة في العظام الغنية بالنقي مثل الأضلاع وأجسام الفقرات وعظام الحوض والجمجمة والنهايات العلوية لعظمي الفخذ والعضد إضافة إلى ترقق عظام معمم.
يساعد الفحص المخبري جداً على التشخيص:
أ- ارتفاع سرعة التثفل.
ب- فقر الدم وقلة الصفيحات الدموية.
ج- ازدياد غلوبولين الدم في الرحلان الكهربائي لبروتينات الدم وازدياد كلسيوم الدم.
د- آحينات بنس جونس في البول موجودة في أكثر الحالات.
تؤكد الخزعة المأخوذة من نقي القص أو الحرقفة وجود الورم على نحو قاطع بوجود أعداد كبيرة جداً من الخلايا البلازمية.
المعالجة: يستجيب الورم النقوي المتعدد جيداً للمعالجات الشعاعية والكيميائية الحديثة من دون حدوث شفاء كامل، ويجب معالجة الكسور المرضية الناجمة عنه بالاستجدال الجراحي osteosynthesis المدعم بالأسمنت الطبي، ومع ذلك يبقى الإنذار سيئاً.
-6 الورم الحبليchordoma :
يؤلف هذا الورم 4% من أورام العظام الخبيثة الأولية، ولنشوئه من بقايا الحبل الظهري فهو ثاني ورم من حيث شيوعه في العمود الفقري من بين الأورام الخبيثة بعد الورم النقوي المتعدد (MM). ينشأ أكثر من خمسين بالمئة من هذه الأورام الحبلية في الناحية العجزية العصعصية، وأكثر من ثلاثين بالمئة في قاعدة الجمجمة، تحدث هذه الأورام بعد الأربعين وغالباً في الذكور.
تنمو هذه الأورام ببطء، وتتظاهر أورام قاعدة الجمجمة بالصداع. أما أورام الحبل الشوكي فتتظاهر بأعراض انضغاط جذور الأعصاب أو النخاع الشوكي، لذا تلتبس بآلام فتق النواة اللبية (الديسك).
تُظهر الصورة الشعاعية البسيطة تكلسات في منطقة الإصابة في أكثر من نصف الحالات، وتظهر الصورة الجانبية للعجز والعصعص الورم على نحو أفضل من الصورة الأمامية الخلفية التي قد تغطيها غازات البطن. ويفيد التصوير المقطعي المحوسب في إظهار التكلسات في حين يفيد الرنين المغنطيسي في تحديد امتداد الآفة وعلاقتها بالأجهزة التشريحية المجاورة للعجز.
بالفحص النسيجي: تظهر فصيصات خلوية منفصلة بحزم ليفية والخلايا فيها هيولى فجوية وغزيرة، ويلاحظ أن الخلايا منتظمة كحبال على أرضية مخاطية.
المعالجة: الاستئصال الجراحي الواسع هو الحل الجذري، ويفيد العلاج الشعاعي في تخفيف تقدم الورم؛ إذ إن الورم شديد الخبث، والانتقالات شائعة سواءً إلى العظام أم إلى الرئة.
-7 الورم المينائيadamantinoma :
نادر المشاهدة (1%)، يشاهد في معظم الحالات في عظم الظنبوب (عظم تحت الجلد مباشرة)، وهو ورم بطيء النمو.
شعاعياً: تبدو آفات شفافة محددة وعديدة منفصلة بمسافات عظمية متصلبة وكثيفة، بالفحص النسيجي: تشاهد جزر من الخلايا الظهارية في لحمة من الألياف.
المعالجة: هذا الورم معند على المعالجة الشعاعية والكيميائية، والبتر (أو الاستئصال الواسع) هو الحل الوحيد الذي يصبح الإنذار معه جيداً، والانتقالات قليلة وبطيئة جداً.
-8 الأورام الوعائية الخبيثة في العظامmalignant haemangioma in bones :
تشمل الورم الوعائي البطاني والورم الوعائي البطاني الساركومي والورم الوعائي الساركومي، وهي أورام نادرة تحدث في كل الأعمار، يشكو المريض ألماً تختلف شدته باختلاف درجة خبث الورم؛ إذ إن فيه أشكالاً منخفضة درجة الخبث وأشكالاً عالية درجة الخبث. ويظهر ذلك شعاعياً، فالأشكال منخفضة الخبث تظهر بحدود واضحة قد تحاط بارتكاس عظمي. أما الأشكال عالية الخبث فالمظهر فيها أكثر امتداداً ونفوذية، ولا يوجد ارتكاس سمحاقي، وقد تحدث عدة أورام في عظم واحد أو في عدة عظام في طرف واحد.
بالفحص النسيجي: يختلف المنظر من قنوات وعائية مع خلايا ظهارية إلى أورام ساركومية بشروية غير متميزة، وكثيراً ما يلتبس الأمر هنا بالأورام السليمة.
المعالجة: يعتمد العلاج على الحالة السريرية، فالآفات الوحيدة تعالج بالاستئصال الواسع. أما الآفات المتعددة أو غير القابلة للجراحة فتعالج بالأشعة (ونتائجها جيدة عادةً)، وقد يضاف إليها العلاج الكيميائي.
إنذار الأورام الخبيثة الأوليةprimary malignant tumours :
معظم الأورام الخبيثة ينتهي ببتر الطرف المصاب أو بوفاة المريض، وكانت نسبة شفاء هذه الأورام لا تتجاوز 20% فأصبح من الممكن حالياً -إذا ثبت عدم وجود انتقالات بعيدة- أن تستبدل بالقطعة المصابة من العظم قطعة عظمية مشابهة من (بنك العظام)، أو وضع مفصل صناعي يصنع لكل مريض بعد أخذ قياسات دقيقة بالحاسوب (المفاصل الصناعية التعويضية) أو وضع الطعوم العظمية الموعاة.
ومع تطور المعالجات الكيميائية والشعاعية أصبحت نسبة الشفاء نحو 80%، ويبقى أن يُذكر أن بعض الأورام العظمية الخبيثة أشد سوءاً وإنذاراً من بعض، فالساركومة العظمية أسوء إنذاراً من الساركومة الغضروفية والورم الليفي العظمي. وإنذار داء إوينغ سيّىء جداً.
ثالثاً- أورام العظام الخبيثة الانتقالية (الانتقالات السرطانية للعظم)metastatic tumours in bones:
يكون السرطان الأولي في الرئة أو الثدي أو الموثة (البروستات) أو الكلية أو الدرق، وتنتقل هذه الأورام إلى أقسام الهيكل العظمي الغنية بالنقي مثل الأضلاع وأجسام الفقرات الظهرية وعظام الحوض والنهايات العلوية للفخذ والعضد، وتخرب العظم. فهي آفة آكلةeating lesion تحدث بسببها الكسور المرضية.
الألم هو العرض البارز، ولكن قد يكون الكسر المرضي هو العرض الأول.
تُظهر الصورة الشعاعية ائتكالاً في العظم المصاب، تبدو منطقة الإصابة واضحة الحدود، محاطة بعظم طبيعي من دون ارتكاس فيها. نادراً ما تشاهد انتقالات بشكل ظل كثيف جداً شعاعياً، ويكون الورم عندها من النوع المولد للعظم كما في الانتقالات من سرطان الموثة. إن كشف آفة عظمية - مع قصة ورم خبيث في مكان ما من الجسم - يُعدّ آفة ورمية انتقالية في معظم الحالات. وكل ورم عظمي كشف في مريض فوق الأربعين من العمر هو غالباً ورم انتقالي أو هو الورم النقوي المتعدد، وهنا يجب أخذ قصة سريرية واضحة وإجراء فحص سريري واسع يشمل فحص الثدي في النساء وفحص الموثة في الرجال، إضافة إلى فحوص مخبرية متممة (رحلان بروتينات الدم التي تضطرب في الورم النقوي المتعدد، والفوسفاتاز الحامضة التي ترتفع جداً في سرطان الموثة مع انتقالات بعيدة وغيرها....).
يجب إجراء صورة الصدر البسيطة والتصوير المقطعي المحوسب للصدر والبطن والحوض قبل أخذ خزعة عظمية؛ إذ تعرف بذلك الآفة الأولية في غالب الحالات، ثم تُجرى خزعات للآفة الأولية وللانتقال العظمي.
ولبعض الفحوص المخبرية دلالات على انتقالات خبيثة كما في ارتفاع الفوسفاتاز الحامضة في سرطان الموثة مع انتقالات بعيدة.
المعالجة: تكون معظم الحالات في مراحلها الأخيرة، وتكون الانتقالات كثيرة ولعدد من العظام إضافة إلى الورم الأولي. وهنا تهدف المعالجة إلى التخفيف من معاناة المريض بإعطاء المسكنات والمهدئات المناسبة وتثبيت الكسور المرضية بجبائر خارجية أو باستجدال جراحي بصفائح ولوالب أو أسياخ ضمن العظم كإجراء ملطف.
|
كيسة العظم البسيطة. |
تساعد بعض المعالجات الهرمونية في بعض أنواع الانتقالات السرطانية وكذلك بعض المعالجات الكيميائية أو الشعاعية، ويُلجأ أحياناً إلى التخضيب العصبي لتسكين الألم.
الآفات العظمية الموضعية:
-1 كيسة العظم البسيطة (أو الوحيدة) simple-solitarybone cyst:
تحدث غالباً في العظام الطويلة؛ ولاسيما قرب النهاية العلوية لعظم العضد وغالباً في الأطفال أو اليفعان.
تبدأ الكيسة في منتصف جسم العظم بالقرب من المشاش بشكل كروي فيها سائل رائق عقيم، ثم يزداد حجمها تدريجياً إلى كل الاتجاهات حتى تصبح بيضوية الشكل؛ مما يؤدي إلى تورم العظم في تلك المنطقة. ولما كانت الكيسة تستولي على مساحة متفاوتة من جسم العظم؛ فإنه يصبح عرضة للكسر المرضي الذي قد يكون العرض الأول.
تُظهر الصورة الشعاعية البسيطة ظلاً فراغياً واضح الحدود محاطاً بإطار مكون من عظم كثيف متصلب. وقد تكون الكيسة مقسمة إلى كيسات صغيرة بينها حواجز رقيقة، يجب تفريق هذه الآفة السليمة عن بقية آفات العظام من خراجات أو أورام.
المعالجة: يجب تجريف الكيسة الكبيرة ووضع طعم عظمي كافٍ في مكانها. أما الكيسات الصغيرة فتترك تحت المراقبة خوفاً من أن تكبر وتسبب كسوراً مرضية، وعندها لا بد من المداخلة الجراحية المناسبة.
- 2الورم العظمانيosteoid osteoma :
يختلف العلماء في تصنيف هذه الآفة خمجية أم ورمية؛ إذ تتشكل بؤرة صغيرة من نسيج عظماني (لا تتجاوز نصف سم قطراً) في قشر إحدى العظام الطويلة وخاصة في الطرف السفلي، ونادراً في العظم الإسفنجي يحيط بها عظم متصلب كثيف (إذا كانت في القشر).
وهو ورم سليم يشاهد غالباً في الشباب الذكور بين 10و30 من العمر. يشكو المريض ألماً عميقاً وشديداً يشتد ليلاً، ويخف باستعمال الأسبرين ومضادات الالتهاب غير الستيروئيدية.
بالفحص السريري: يلاحظ مضض بجس المنطقة المصابة. تُظهر الصورة الشعاعية البسيطة منطقة عظمية متصلبة في ناحية ما من قشر أحد العظام الطويلة، وفيها ظل فراغي صغير واضح الحدود.
يُضطر أحياناً إلى إجراء الصورة الشعاعية المقطعيةtomography لإظهار الكيسة أو إجراء (CT) وصورة (MRI) التي تُظهر وذمة شديدة محيطة بالكيسة، قد يلتبس هذا الورم بالتهاب العظم والنقي المزمن (خراجة العظم المزمنة خراجة برودي).
المعالجة: استئصال بؤرة الإصابة استئصالاً كاملاً مع ما يحيط بها من نسيج عظمي كثيف متصلب (استئصال كامل القشر).
| |
الورم العظماني في قشر العظم. حواف محدودة وفرط تصلب عظمي حول العقدة. | الورم العظماني في عظم الكعب. |
أورام الأنسجة الرخوة tumours of soft tissue:
تنشأ هذه الأورام من النسج الضامة أو من الأوعية الدموية، وتقسم إلى سليمة وخبيثة، ولا علاقة لوجود الألم أو عدمه في تمييز الورم السليم من الخبيث، ويجب إجراء فحص جيد للمريض؛ ولاسيما فحص العقد اللمفاوية المناسبة.
تساعد الأشعة البسيطة على كشف بعض التكلسات في الساركومة الزليلية أو على كشف حصاة في الأورام الوعائية أو كثافة شحمية في الورم الشحمي. يفيد الرنين المغنطيسي في أورام الأنسجة الرخوة لتقييم حجم الكتلة وعلاقتها بالأنسجة المحيطة بها، وقد يُضطر إلى إجراء ومضان العظام بالتكنيسيوم إذا شك في وجود انتقالات عظمية.
وتصوير الرئتين المقطعي المحوسب ضروري في المصابين بهذه الأورام، وقد يطلب تصوير البطن والحوض؛ إذا شك في وجود انتقالات خلف الصفاق (البريتوان) في أورام الأنسجة الرخوة الخبيثة.
تجرى كل الاستقصاءات قبل إجراء الخزعة النسيجية.
أولاً- أورام النسج الرخوة السليمة benign soft tissue tumours:
-1 الورم العصبي الليفيneurofibroma :
ينشأ هذا الورم من النسيج الضام الذي يكوّن غمد أحد الأعصاب المحيطية (ورم غمد شوان)، ويشكل كتلة رخوة محدودة مؤلمة نسبياً ومتوضعة في الجلد أو النسيج الذي تحته.
يظهر الرنين المغنطيسي كتلة مغزلية الشكل على مسار العصب المحيطي الكبير، وينتشر الورم بسهولة على مسار العصب من دون حدوث اضطراب وظيفي أو تشريحي.
يكون الورم وحيداً عادة، وإذا تعدد دعي داء الأورام العصبية الليفية المتعددة (داء فون ريكلينغهاوزن) الذي تتشكل هذه الأورام فيه على مسار عدة أعصاب محيطية يرافقها ظهور بقع صباغية على الجلد (بقع القهوة بحليب).
المعالجة: تتبع شدة الإصابة، وقد يضطر إلى رفع الضغط عن العصب حين وجود أعراض مزعجة، نادراً ما ينمو هذا الورم ضمن القناة الشوكية؛ فيسبب ضغط الجذور العصبية.
-2 الورم الليفيfibroma :
كتلة قاسية مدورة مؤلمة بضغطها تنمو على اللفافة أو الغمد الليفي لقابضات الأصابع.
يُرى بالفحص المجهري نسيج خلوي فيه خلايا شاذة وأشكال انقسامية عديدة من دون أن تتظاهر سريرياً بمظهر الأورام الخبيثة، فهي تحتوي على صانعات ليف متعددة الأشكال وغالباً ضمن لحمة مخاطية مع غلبة النموذج الوعائي، ترى هذه الأورام في الشباب غالباً، ومعظمها في الساعد.
وهناك حالات من الأورام الليفية تحدث في جدار البطن الأمامي في النساء عديدي الولادة، وهي سليمة التطور.
-3 الورم الشحميlipoma :
كتلة شحمية رخوة محاطة بمحفظة رقيقة قد تكون مفصصة.
وهو أكثر الأورام السليمة انتشاراً في النساء خاصة، ينشأ تحت الجلد، وقد يؤثر في الغشاء الزليل ونادراً في السمحاق، وينمو ببطء. مجهرياً: يتألف الورم من خلايا شحمية ناضجة، وقد تكون موعاة.
-4 الورم الوعائي الدمويhaemangioma :
يتألف هذا الورم من أوعية دموية:
أ- الورم الوعائي الدموي الشعري: وهو يؤلف بقعة صغيرة، تحتوي على شبكة جديدة مكونة من الشعريات، تعالج بالتبريد غالباً .
ب- الورم الوعائي الدموي الكهفي: يتألف من قنوات وعائية واسعة يفصل بينها نسيج ضام، لذا تكون مطاطية بالجس وقابلة للضغط، قد تكون هذه الكتلة موضعة أو منتشرة في الجلد أو النسيج الخلوي تحت الجلد أو العضلات وتكون، عندها مؤلمة، ويتعلق الألم بزيادة الجريان الدموي الذي يحدث في أثناء الفعالية العضلية أو حين يكون الطرف متدلياً.
المعالجة: الآفات غير العرضية قد تبقى تحت المراقبة. أما إذا كانت مؤلمة فالعمل الجراحي بالاستئصال هو الحل الأمثل في الورم الصغير أو ذي الحدود الواضحة مع أن النكس محتمل جداً. أما إذا كانت هذه الأورام الدموية مرتشحة في العضلة فالتصليب هو الحل الأمثل.
ويدخل تحت هذه الأورام الوعائية الدموية ما يسمى الأورام الكبية التي تتكون مجهرياً من مجموعة من خلايا مغزلية لها شكل خلايا بطانية تتوضع على طول الأوعية الغزيرة، ويمكن مشاهدة بعض العضلات الناعمة أو ألياف عصبية في بعض المقاطع الخاصة. وهذه الأورام نادرة، ولكنها مؤلمة تصيب الجلد وما تحته في اليدين والقدمين وتحت الظفر في الأصابع؛ ولاسيما في النساء، ويصبح الجلد أحمر مزرقاً، ومعالجتها بالاستئصال الجراحي.
-5 ورم الأغماد الوترية ذو الخلايا العرطلةgiant cell tumour of tendon sheath :
ويسمى التهاب زليل الوتر العقدي الموضع localised nodular tenosynovitis، ومع أنه من الأورام السليمة فإنه قد ينكس؛ إذا لم يستأصل استئصالاً كاملاً، يصادف هذا الورم في اليد في معظم الأحيان وهو ينمو على حساب الغمد الوتري أو من الانتشار الليفي لوتر باسط في الأصابع، ويكبر تدريجياً لدرجة قد يشكل فيها كتلة تحيط بالإصبع. يتألف مجهرياً من خلايا متعددة الأشكال وخاصة خلايا عرطلة تشبه خلايا الأجسام الأجنبية وخلايا الورم الأصفر xanthoma المحتوية على الكوليسترول.
العلاج بالاستئصال الكامل.
ثانياً- أورام النسج الرخوة الخبيثةmalignant soft tissue tumors :
-1 الورم المنسج الليفي الخبيث(MHF) :
هو من أكثر ساركومات النسج الرخوة انتشاراً، يطلق هذا الاسم على مجموعة متعددة من الأورام متشابهة فيما بينها، فيها نسيج رخو متعدد الأشكال ينمو بسرعة يصيب كبار السن (فوق الخمسين سنة).
سريرياً: تُشاهد كتلة كبيرة غير مؤلمة غالباً في الفخذ الذي هو المكان الأكثر إصابة بهذا الورم.
تظهر الصورة الشعاعية البسيطة كثافة أنسجة رخوة. أما الرنين المغنطيسي فيظهر الكتلة المحددة على نحو جيد قاتمةً على الزمن الأول وذات نفوذية على الزمن الثاني مع نخر مركزي.
هناك تصنيفات مشابهة لـ (MHF) كالورم الليفي، وورم الخلايا العرطلة، والورم المختلط وغيرها.
علاج هذه الأورام بالاستئصال الواسع، تليه معالجة شعاعية لحواف الورم المستأصل أو للأورام غير القابلة للاستئصال الجراحي. توصي بعض المدارس الطبية أيضاً بالمعالجة الكيميائية في الأورام غير القابلة للاستئصال الجراحي.
يجب متابعة الانتقالات للرئتين. إنذار المرض سيئ؛ إذ إن ستين بالمئة من المرضى لا يعيشون بعد خمس سنوات، ويتبع ذلك درجة الورم وحجمه وموقعه ووجود الانتقالات.
-2 الساركومة الشحميةliposarcoma :
هو الورم الثاني من أورام الأنسجة الرخوة من حيث الشيوع، ويصاب به كبار السن بعد الخمسين من العمر، يتظاهر بكتلة كبيرة غير مؤلمة عميقة.
لا يبدي التصوير البسيط أي مظاهر مرضية، ولكن الرنين المغنطيسي يظهر الكتلة على نحو صريح. يعالج الورم بالاستئصال الجذري للساركومة الشحمية جيدة التمايز. أما إذا كانت هناك انتقالات للرئتين أو كان الورم في أماكن يصعب فيها الاستئصال الجراحي الجذري؛ فتستطب المعالجة الشعاعية والمعالجة الكيميائية.
إنذار المرض جيد في الأشخاص المصابين بالساركومة الشحمية جيدة التميز التي استؤصلت استئصالاً جذرياً، ومع ذلك يبقى احتمال النكس الموضعي قائماً أحياناً، ولما كانت انتقالات الورم نادرة؛ فإن إنذاره يُعدّ جيداً ما لم يكن الورم كبير الحجم أو هناك انتقالات.
-3 الساركومة الزليليةsynovialsarcoma :
تحدث في كل الأعمار، ولكنها أكثر مشاهدة في البالغين الشباب، وأكثر ما تحدث في نهايات الأطراف كاليدين والقدمين، حيث تشاهد كتلة صغيرة تدوم عدة سنوات، ثم تثير الاهتمام بسبب الألم.
نسيجياً: تشاهد خلايا مشابهة للخلايا الزليلية. وتظهر الصورة الشعاعية غالباً تكلسات متبلورة داخل الورم مع أعشاش من خلايا ظهارية محاطة بخلايا مغزلية. تحدث الانتقالات إلى العقد البلغمية. العلاج والإنذار مشابه لورم (MFH) .
-4 الساركومة الليفية fibrosarcoma:
تظهر بكتلة كبيرة 5-10سم غير مؤلمة تنمو ببطء، وأكثر ما تنمو في الأطراف السفلية بعد سن الثلاثين.
نسيجياً: تشاهد خلايا مغزلية تنتظم بشكل عظم السمك. العلاج والإنذار مشابه لورم (MFH).
-5 الساركومة الليفية الجلدية الناشزةdermatofibrosarcoma protuberans :
ينشأ هذا الورم تحت الجلد مباشرة بشكل عقدة أو مجموعة عقد، ينمو ببطء في الجذع أكثر من الأطراف وفي كبار السن، ويصبح الجلد المغطي له ضامراً وهشاً.
مجهرياً: تشاهد خلايا صانعات الليف جيدة التميز. العلاج هو الاستئصال الواسع؛ لأن النكس كثير المشاهدة، والانتقالات البعيدة نادرة.
-6 الساركومة شبيهة الظهاريةepithelioid sarcoma :
يصاب بهذا الورم اليفعان والبالغون الشباب، وغالباً في الأطراف العلوية (اليد والأصابع)، وهو أكثر أورام النسج الرخوة الخبيثة مشاهدة في اليد.
ينمو ببطء، ويتظاهر بكتلة غير مؤلمة سطحية يكون الجلد فوقها متقرحاً، ويجب التمييز جيداً بينها وبين الأورام السليمة. إنذاره سيئ؛ إذا تأخر العلاج المناسب الواسع.
العلاج: استئصال جراحي واسع أو البتر؛ لأن انتقال الورم إلى العقد البلغمية كثير المشاهدة.
-7 الساركومة العضلية المخططrhabdomyosarcoma :
ينشأ هذا الورم من العضلات الصغيرة، ويصيب الجلد ثانوياً، ويضم مجموعة من التصانيف (الجنيني، الحويصلي، متعدد الأشكال)، ويصيب فئات عمرية مختلفة، وفي أماكن مختلفة من الجسم.
الفحص المجهري: خلايا مغزلية الشكل تنتظم بحزم متوازية ومتشابكة ذات فعالية انقسامية واضحة.
وهو ورم عدواني، انتقالاته سريعة إلى الرئتين والعقد البلغمية ونقي العظام.
العلاج: جراحي وشعاعي وكيميائي.
-8 ورم الغمد العصبي المحيطي الخبيث malignant peripheral nerve tumor (MPNST):
(ويسمى ورم شوانوم الخبيث أو الساركومة الليفية العصبية)، هو استحالة الورم الليفي العصبي السليم استحالة خبيثة.
ينشأ على طول عصب محيطي ضخم في البالغين فوق الثلاثين عاماً، ويشكو المريض كتلة غير مؤلمة إلا إذا كانت ضاغطة على تفرع عصبي، ولذا يكون التشخيص صعباً.
مجهرياً: خلايا مغزلية سطوحها متعرجة.
العلاج: استئصال جراحي واسع مع علاج شعاعي وكيميائي، والنكس الموضعي كثير الاحتمال، وإنذاره محتفظ به.
-9 الساركومة العظمية خارج الهيكل العظميextraskeletal osteosarcoma :
ورم نادر جداً يصيب الأعمار المتقدمة بعد الأربعين، يتظاهر بكتلة تنمو تدريجياً، وقد لا تكون مؤلمة. أكثر ما تصاب به الأنسجة الرخوة العميقة للفخذ في معظم الأحيان.
تُظهر الأشعة البسيطة وجود تكلسات غير ناضجة داخل الكتلة.
العلاج بالاستئصال الواسع والأشعة والعلاج الكيميائي، وإنذاره سيئ.
-10 ساركومة إوينغ خارج الهيكل العظميextraskeletal Ewing sarcoma :
مشابه لورم إوينغ العظمي، ولكنه ينشأ وينمو بسرعة في الأنسجة الرخوة وخاصة ضمن العضلات جانب العمود الفقري وجدار الصدر. يصيب اليفعان والبالغين الشباب.
مجهرياً: يشابه ساركومة إوينغ في العظام: خلايا زرق صغيرة مدورة.
والعلاج مشابه لعلاج داء إوينغ: الاستئصال الواسع والإشعاع والعلاج الكيميائي.
-11 الساركومة الغضروفية خارج الهيكل العظمي extraskeletal chondrosarcoma:
نادر المشاهدة يصيب الشباب بين 15و35سنة، المكان الشائع للإصابة هو الرأس والعنق. والمعالجة بالاستئصال الجراحي الواسع والإشعاع ثم العلاج الكيميائي، وإنذاره سيئ.
- التصني٠: أمراض الجهاز الحركي - النوع : أمراض الجهاز الحركي - المجلد : المجلد الخامس عشر، طبعة 2016، دمشق - رقم Ø§Ù„ØµÙØØ© ضمن المجلد : 105 مشاركة :
