امراض رسغ ويد
diseases of the wrist and hand - maladies du poignet et de la main



أمراض الرسغ واليد

غسان كعدان

فحص الرسغ

الأمراض

 

 

أولاً- فحص الرسغ:

يجب فحص الرسغ في الطرفين للمقارنة.

- المنظر العام: يلاحظ الجلد، الندبات والأورام، الانحراف الزندي أو الكعبري، بروز رأس الزند، ضمور عضلات الساعد واليد.

- الجس: يجس النتوء الكعبري والزندي، والنتوء الكلابي، والعظم الحمصي، وقناة غيون Guyonنفق الرسغ.

السعة الحركية:

- عطف، بسط: 75flexion, extension  درجة.

- انحراف كعبري: 20radial deviationدرجة.

- انحراف زندي: 35ulnar deviation درجة.

- كب: 75pronationدرجة.

- استلقاء: 80supinationدرجة.

(الشكل1)

جس مناطق الألم ويكون التشخيص التفريقي:

في الناحية الكعبرية عن:

- داء دوكرفان De Quervain‘s disease.

- تنكس المفصل السنعي المربعي المربع.

- تنكس الزورقي المربع المربعي.

- عدم التحام الزورقي.

وفي ظهر المعصم عن:

- كيسة معصمية.

- داء كينبوك Kienbock disease.

- إصابة الرباط الزورقي الهلالي.

- كيسة بين العظام.

- انهدام كعبري رسغي.

وفي الناحية الزندية عن:

- تمزق الرباط الكعبري الزندي.

- تنكس المفصل الكعبري الزندي.

- عدم ثبات المفصل الكعبري الزندي مع انضغاط رسغي في رأس الزند.

- تنكس حمصي هرمي.

- كسر النتوء الكلابي أو عدم التحامه hamate hook.

فحوص المعصم الحركية المتممة:

- طريقة واتسون Watson test: (الشكل 2 د)، يقوم الفاحص بتثبيت قطب الزورقي البعيد بإبهامه، ثم يجري حركة انحراف زندي مع بسط وانحراف كعبري وعطف فيحدث ألم وطقة يدلان على عدم ثبات زورقي هلالي.

- طريقة التأرجح ballottement test (الشكل2أ): يمسك الفاحص العظم الهلالي بين السبابة والإبهام بيد ويمسك الهرمي بالأخرى، ثم يجري حركة متناوبة أمامية خلفية، وتدل الحركة بين العظمين على إصابة الرباط بينهما، كما يمكن إجراء هذه الحركة على الزورقي والهلالي.

- طريقة السحن grinding test (الشكل2ب).

- علامة البيانو piano sign (الشكل2هـ): يحدث ضغط رأس الزند حركة أمامية خلفية تدل على إصابة المعقد الرباطي الزندي الكعبري البعيد.

- الانحراف المحوري pivot shift test (الشكل2ع): يحدث ضغط المعصم المحوري مع كب وانحراف زندي طقة وألماً.

(الشكل 2) فحوص المعصم الحركية المتممة

الفحوص المتممة:

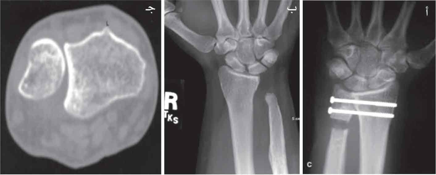
- الصورة الشعاعية بالوضعين ووضعية نفق الرسغ.

(الشكل3): الصورة الشعاعية: أ-أمامية خلفية، ب- نفق الرسغ، ج- جانبية

- المرنان: يظهر الكيسات المصلية ولا سيما الصغيرة بين العظام، أهمها داء كينبوك في المرحلة الأولى وقد يظهر الإصابة الرباطية.

- التصوير الظليل: يؤكد الإصابة الرباطية (المعقد الليفي الغضروفي، الرباط الزورقي الهلالي والهلالي الهرمي).

- الومضان العظمي: يساعد على كشف الأورام ولا سيما الورم العظماني osteoid osteoma .

أخيراً الفحص الوعائي (النبض الكعبري والزندي) والتروية الشعرية تحت الظفر.

يجب إتمام فحص اليد كاملاً، لأن اليد والمعصم وحدة متكاملة.

(الشكل 4) أ- انتباج المعصم في أثناء الهجمات، ب- لا تظهر الصورة الشعاعية البسيطة في المرحلة الأولى تبدلاً ما، أما بالمرنان فيظهر العظم الهلالي

ثانياً- الأمراض:

-1 داء كينبوك Kienbock disease أو نخرة العظم الهلالي الجافة في المعصم:

ما يزال السبب الرئيس لهذا المرض غير معروف تماماً، إنما تتداخل عوامل كثيرة في هذه الإصابة كالعوامل الوراثية والاستقلابية. وقد يكون للرضوض المتكررة علاقة ولاسيما في الذين يعملون بالآلات الثقيلة، وللعامل التشريحي للمعصم شأن في الإصابة، كما في الزند القصير الذي يؤدي إلى زيادة ضغط الكعبرة على المعصم وبالتالي الضغط على العظم الهلالي الذي يعد حجر الأساس keystone في المعصم.

تظهر الأعراض على هجمات، إذ يحدث:

(الشكل 5) داء كينبوك في مرحلة متقدمة 3ب (لاحظ قصر عظم الزند).

- انتباج ناحية المعصم الظهرية.

- ألم موضعي.

- تحدد حركة المعصم.

- ضعف القبضة.

- يمر المرض بأربع مراحل:

- المرحلة الأولى يبدو العظم فيها طبيعياً بالصورة الشعاعية ولا يمكن تأكيد التشخيص إلا بالرنين المغنطيسي.

- في المرحلة الثانية يتصلب العظم من دون انخماص.

- في المرحلة الثالثة (أ) ينخمص العظم الهلالي من دون دوران الزورقي. أما في المرحلة الثالثة (ب) فيحدث دوران الزورقي مع انخماص المعصم.

- المرحلة الرابعة يحدث انخماص المعصم collapse of the wrist مع تنكس شديد.

العلاج: في المرحلة الأولى: إراحة الطرف على جبيرة أو طعم عظمي موعى.

- وفي المرحلتين الثانية والثالثة (أ) اللتين يحدث فيهما تصلب العظم أو كسر العظم الهلالي من دون تغير في ارتفاع العظم يجرى تداخل جراحي بإجراء تطعيم عظمي مُوعّى vascularized bone، graft أو بإعادة التناسب بين الكعبرة والزند بتقصير الكعبرة أو تطويل الزند. كما يؤدي استبدال العظم الحمصي بالعظم الهلالي (عملية سفر(Saffar إلى نتائج جيدة.

- في المرحلة الثالثة (ب) التي يحدث فيها انهدام العظم الهلالي وتزحل العظم الكبير ودوران العظم الزورقي يمكن إجراء إيثاق زورقي مربع مربعيSTT، أو استئصال الصف الأول من عظام المعصم.

- وفي المرحلة الرابعة المتقدمة قد يكون استئصال الصف الأول من المعصم حلاً جيداً شريطة أن يكون المفصل الوسطي للمعصم مقبولاً، وإلا فإن نتائج إيثاق المعصم أو المفصل الصنعي أفضل.

-2 عدم ثبات المعصم instability of the wrist:

هذه الإصابة حادة أو مزمنة. تبدو الحالات الحادة بوثي المعصم، وتبدو في الحالات الشديدة بتحت خلع أو كسر في أحد عظام المعصم.

أما عدم ثبات المعصم أو الإصابة الرباطية المزمنة فتحدث نتيجة إصابة التهابية مزمنة كالداء الروماتوئيدي (الرثياني)، أو نتيجة التحام كسر معيب في الكعبرة.

هناك نوعان أساسيان من عدم ثبات المعصم في المفصل الكعبري الرسغي:

أ- عدم الثبات الظهري dorsal intercalated segment instability (DISI)  يحدث بسبب تمزق الرباط الزورقي الهلالي، وبعد كسور العظم الزورقي ينحرف فيه العظم الهلالي نحو الناحية الظهرية.

ب- عدم الثبات الراحي volar intercalated segment instability (VISI)  سببه تمزق الرباط الهلالي الهرمي، وهو أقل شيوعاً من الأول.

عدم ثبات المعصم في المفصل الكعبري الرسغي

أربطة المعصم

(الشكل 6)

R كعبرة، U زند، هلالي lunate، زورقي scaphoid، هرمي triquetral، كبير capitate، كلابي hamate، مربع trapezium، مربعي trapezoid، حمُّصي pisiformis.

الأعراض: يشكو المريض ألماً وضعفاً في القبضة، وحدوث طقطقة في المعصم بالحركات الجهدية. غالباً ما تكون هناك قصة رض قد يكون بسيطاً أحياناً، كما أن هناك ألماً بالجس بضغط الرباط الهلالي الزورقي أو الهلالي الهرمي وتراجع قوة القبضة grip strength، ويوضح التشخيص بإجراء بعض الفحوص التحريضية provocative tests .

أ- فحص واتسون للرباط الزورقي الهلالي Watson test: تضغط قاعدة الزورقي في قاعدة الإبهام لإصلاح الانحراف الزورقي الراحي، ثم تُجرى حركة انحراف زندي وكعبري للمعصم فتحدث طقة مؤلمة بسبب عودة الخلع الزورقي الظهري.

ب- فحص التأرجح (الهز) بالوصل الهلالي الهرمي lunotriquetral ballotement:يثبت الهلالي بين الإبهام وسبابة الفاحص، ثم تفحص الليونة بضغط العظم الحمصي إلى الأمام والخلف، وتدل الحركة الأمامية الخلفية بين العظمين على الإصابة الرباطية.

(الشكل 8) فحص التأرجح (الهز) بالوصل الهلالي الهرمي

(الشكل7) فحص واتسون

ج- فحص الانحراف المركزي pivot shift test: يتم بالضغط المحوري على المعصم مع تبعيد المعصم وتقريبه، فيحدث ألم مع طقة تشير إلى عدم ثبات مفصل المعصم الوسطي.

(الشكل 9) فحص الانحراف المركزي

التشخيص الشعاعي: قد تبدي الصورة الشعاعية الأمامية الخلفية التباعد الزورقي الهلالي، كما تؤكد علامة الحلقة الزورقية أو الزورقي النائم الإصابة الرباطية المزمنة بين الزورقي والهلالي، وتظهر الصورة الشعاعية مع قبض اليد التباعد الزورقي الهلالي بوضوح مقارنة بالطرف الآخر.

يؤكد تصوير المعصم الظليل التشخيص بتسرب المادة الظليلة عبر الرباط المصاب. أما التصوير بالمرنان فيساعد على تشخيص الإصابات المرافقة ككسور الزورقي، لكنه لا يؤكد الإصابة الرباطية. ويظل تنظير المعصم أهم طريقة لكشف الأذيات الرباطية وإصابات الغشاء المصلي وأذيات الغضروف المفصلي.

(الشكل10) تصوير المعصم الظليل:

أ- تسرب عبر الرباط الزورقي الهلالي، ب- تباعد زورقي هلالي، ج- مفصل طبيعي، د- تنظير المعصم، تمزق الرباط.

المعالجة: من المهم تشخيص الإصابة باكراً ولا سيما حين استمرار ألم المعصم بعد رض شديد كالوقوع على اليد، يجب إجراء تصوير المعصم الظليل أو تنظير المعصم في حالة الشك. ومعالجة هذه الحالة هي ترميم الرباط المصاب جراحياً وتثبيت العظام المجاورة بسفافيد كرشنر مدة شهر ونصف، ثم جبيرة مدة شهرين على الأقل.

في الحالات المزمنة يجرى تصنيع الرباط الزورقي الهلالي بإيثاق لسينة من المحفظة، أو كما في طريقة برونلّي Brunelli باستعمال لسينة من وتر العضلة قابضة الرسغ الكعبرية لمنع انعطاف الزورقي.

أما في الحالات التي يرافقها تنكس مفصلي معتدل فإن استئصال الصف الأول من المعصم يؤدي إلى نتائج جيدة مع حدوث ضعف بسيط في القبضة.

وفي الحالات التي تتطلب المحافظة على قوة القبضة يُجرى إيثاق المفصل الجزئي مع استئصال الزورقي (إيثاق رباعي) four- corner arthrodesisولاسيما في حالة إصابة المفصل الذي يجمع العظم الهلالي والعظم الكبير.

- 3فُصال مفصل المعصم wrist osteoarthritis :

يتناول فصال المعصم ثلاثة أماكن: المفصل الكعبري الرسغي، المفصل الزندي الكعبري القاصي، المفصل السنعي الرسغي في الإبهام.

أ- المفصل الكعبري الرسغي: السبب الأساسي هو عدم التحام عظام المعصم كالزورقي، أو التحامها التحاماً معيبا،ً أو النخرة الجافة في العظم الهلالي كداء كينبوك. كما تؤدي الإصابة الرباطية (عدم ثبات المعصم) إلى تنكس المفصل.

الأعراض: ألم ويبوسة المفصل تأتي على هجمات بحسب الجهد، وتزداد مع زيادة تنكس المفصل.

يبدي الفحص السريري انتباج ظهر المعصم وألماً وتحدد حركة المعصم.

ويبدو في الصورة الشعاعية انقراص المفصل وتشكل نابتات عظمية وتصلب تحت المفصل. كما قد تظهر السبب الأساسي للتنكس ككسر الزورقي المهمل أو داء كينبوك.

المعالجة: قد تكفي الراحة والمسكنات والجبائر المعصمية في البداية، حين تفاقم الحالة يمكن التداخل الجراحي.

المعالجة الجراحية: في البداية وحين وجود تنكس قليل يجرى تداخل محدود باستئصال النتوء الكعبري، وفي الحالات المتقدمة يستؤصل الصف الأول من عظام المعصم الذي يؤدي إلى نتائج جيدة شريطة وجود غضروف مقبول لرأس العظم الكبير. كما يؤدي استئصال العظم الزورقي (حين يكون السبب عدم التحام هذا العظم) مع إيثاق رباعي (هلالي هرمي كلابي كبير) إلى نتائج مقبولة. ويخفف خزع العصب الحسي بين عظام المعصم (partial wrist denervation)  الألم ويُحسِّن استعمال المعصم.

وفي الحالات الشديدة يفيد إيثاق المعصم في المرضى الذين يمارسون عملاً مجهداً، اما في المرضى العاديين فيمكن تبديل المعصم الذي ما يزال يتطلب دراسات أكثر.

(الشكل11): أ- تنكس المعصم، ب- استئصال الصف الأول من المعصم، ج- إيثاق المعصم، د- تبديل مفصل صنعي.

ب- المفصل الزندي الكعبري القاصي: يشاهد تنكس هذا المفصل عادة بعد الإصابة بالداء الروماتوئيدي. كما يؤدي عدم ثباته إلى تنكسه تنكساً شديداً يتظاهر بألم وتحدد حركة الكب والاستلقاء، وتبدي الصورة الشعاعية انقراص المفصل الزندي الكعبري وتشكل نابتات عظمية.

تجرى في الحالات المتقدمة من هذه الآفة عملية كابانجي (إيثاق زندي كعبري بعيد مع مفصل موهم قبل رأس الزند) ونتائجها مقبولة. كما اقترح تبديل رأس الزند الصنعي، والنتائج ما زالت محتفظاً بها.

(الشكل 12) أ- عملية كابانجي، ب- استئصال رأس الزند، ج- تصوير مقطعي محوسب للمفصل الكعبري الزندي (تصلب مع انقراص مفصلي).

ج- تنكس المفصل السنعي الرسغي في الإبهام: يحدث غالباً في السيدات بعد منتصف العمر، يرى فيه تحت خلع قاعدة الإبهام مع بروزها للوحشي، وانكماش المسافة الأولى وزيادة بسط المفصل المشطي السلامي.

يوضع التشخيص بجس المفصل الذي يؤدي إلى الألم، كما أن فحص المفصل بطريقة السحن grind testيؤدي إلى الألم وذلك بالضغط المحوري على الإبهام مع الدوران.

وتظهر الصورة الشعاعية انقراص المفصل، وتظهر في مراحل متقدمة تحت خلع وتشكل نابتات عظمية.

المعالجة: في البداية الراحة ومضادات الالتهاب اللاستيروئيدية، قد يخف الألم بحقن الكورتيزون الموضعي أو hyaluronidase.

المعالجة الجراحية: في الإصابات التنكسية الخفيفة تجرى عمليات تحافظ على المفصل كخزع العظم extension osteotomy of the metacarpal.

وفي الحالات المتقدمة يجرى تصنيع المفصل باستئصال العظم المربع ووضع لسينة من وتر العضلة القابضة الكعبرية أو مبعدة الإبهام. كما يؤدي تبديل المفصل الكامل (معدن أو بولي إيتيلين) إلى نتائج مقبولة، ولكنه يتطلب المراقبة وتخفيف الجهد ما أمكن.

ولا يستطب إيثاق المفصل حين وجود تنكس في المفصل الزورقي المربعي المربع.

(الشكل 13) أ- تنكس مشطي مربعي، ب- مفصل صنعي، ج- تصنيع المفصل باستئصال العظم المربع وشريحة من وتر القابضة الكعبرية.

د- الفصال الزورقي المربعي المربع scapho- trapezium- trapezoid (STT) arthritis:يحدث في النساء في منتصف العمر، يتصف بألم عند حدبة الزورقي من الناحية الراحية.

المعالجة: الراحة والجبائر ومضادات الالتهاب اللاستيروئيدية، وقد يفيد حقن الستيروئيدات.

(الشكل 14) أ- مكان الألم في التنكس المفصلي الزورقي المربع المربعي. ب- الصورة الشعاعية.

وفي الحالات الشديدة تجرى الجراحة لتثبيت المفصل الزورقي المربعي المربع، أو استئصال العظم المربع مع جزء من المربعي، ونتائج هذه المداخلات مقبولة وتخفف الألم.

هـ- الإصابة الرباطية في المعقد المفصلي الزندي الكعبري triangular fibrocartilage complex:تحدث الإصابة بسبب رض كالسقوط على اليد، أو وثي المعصم القسري. يشكو المريض ألماً في المفصل الزندي الكعبري، ويشعر بطقة حين إجراء الكب والاستلقاء.

يوضع التشخيص بتصوير المعصم الظليل أو المرنان، وتنظير المعصم يؤكد التشخيص. في الحالات الحادة تُصلح التمزقات بالتنظير أو جراحياً. ويؤدي التنظير في التمزق المركزي إلى نتائج جيدة.

وإن لم ينجح العلاج الجراحي المحافظ تجرى عملية كابنجي (إيثاق الزند والكعبرة مع مفصل موهم قبل رأس الزند).

(الشكل 15) الإصلاح الجراحي للمعقد الزندي الكعبري TFCC

و- الانضغاط الزندي الرسغي مع تنكس المعقد الزندي الكعبري: يحدث مع تقدم العمر ولا سيما حين قصر الكعبرة أو طول الزند ظاهرياً، يتصف بألم في ناحية المعصم الزندية وتحدد حركة المعصم ولا سيما الانحراف الزندي.

المعالجة: تستعمل في البداية الجبائر وحقن الستيروئيدات، وفي الحالات المتقدمة يستأصل رأس الزند، أو يقصر الزند، أو يجرى العلاج بتنظير المعصم (استئصال النهاية الغضروفية لرأس الزند).

(الشكل 16) أ- الانحشار الزندي، ب- استئصال رأس الزند.

-4 الكيسة المعصمية:

من أكثر الأورام السليمة في المعصم، وهي كيسة مصلية تحوي سائلاً كثيفاً ولزجاً ناجماً عن تسرب السائل المفصلي. السبب الأساسي غير معروف، وهناك غالباً قصة رض مع وجود إصابة داخل المفصل وهو ما يعبر عنه بالفتق المفصلي.

تظهر هذه الكيسات بشكل انتباج صغير على ظهر المعصم، أو على الناحية الأمامية منه ولا سيما في اليفعان.

يشكو المصاب ألماً خفيفاً وتحدد الحركة، تظهر بشكل هجمات مع زيادة الانتباج وقد تتراجع أو تختفي فترة طويلة.

بالفحص السريري تبدو كتلة متوترة بدرجات مختلفة، الجلد متحرك فوقها، وقد تكون نابضة إذا كانت في الناحية الأمامية للمعصم تحت الشريان الكعبري.

تظهر الصور الشعاعية الإصابات المفصلية المرافقة، ويؤكد المرنان التشخيص، ويظهر الكيسات الصغيرة، وهناك حالات تتصف بألم في ناحية المعصم الظهرية للمعصم من دون وجود كتلة واضحة، والسبب وجود كيسات صغيرة على الرباط الزورقي الهلالي.

(الشكل 17) توضعات الكيسة المصلية

الثشخيص التفريقي: يجب التفريق بين الكيسة المصلية وبين التهاب الغشاء المصلي للباسطات والقابضات الذي يكون سببه غالباً الداء الروماتوئيدي أو السلي الذي يكون الانتباج فيه أكثر انتشاراً، كذلك يجب التفريق بينها وبين الحدبة المعصمية التي يكون الانتباج فيها في قاعدة المشط الثاني والثالث وهو يدل على وجود نابتات في المفصل السنعي الرسغي carpal boss.

العلاج: قد تؤدي إراحة الطرف والتدليك بالثلج أو الحرارة الموضعية مع جبيرة للمعصم فترة قصيرة إلى تراجع الكيسة، وقد يؤدي بزل الكيسة مع حقن الستيروئيدات إلى غيابها فترة طويلة.

وحين وجود ألم مع كيسة كبيرة الحجم، أو حين انضغاط شريان أو عصب تكون نتائج العمل الجراحي جيدة إذا كان بيد خبيرة، كما يمكن إجراؤه عن طريق التنظير، ولكن من دون ضمانة النكس في الطريقتين.

(الشكل 18) أ- المرنان مشخص جيد للكيسة، ب- الحدبة المعصمية carpal boss

-5 الانضغاطات العصبية حول المعصم:

أ- متلازمة نفق الرسغcarpal tunnel syndrome :هذه الإصابة شائعة ولا سيما في النساء. تتظاهر بألم وخدر في اليد ولا سيما المنطقة التي تتعصب بالعصب المتوسط (الإبهام والسبابة والإصبع الثالثة ونصف الرابعة)، قد ينتشر الألم في ناحية المرفق، ويؤدي ألم نهاية الإصبع إلى ضعف اليد وصعوبة التقاط الأشياء الصغيرة. يزداد الألم ليلاً وقد يوقظ المريض من نومه، ويخف الألم والخدر بتحريك اليد ورفعها.

الأسباب: السبب الأساسي هو تضخم غشاء القابضات المصلي مما يؤدي إلى حصار العصب المتوسط داخل نفق الرسغ، وأسبابه عديدة منها الحمل والداء الروماتوئيدي والاضطرابات الغدية كقصور الدرق، قد تكون هناك عوامل آلية (ميكانيكية) ككسور المعصم، وقد يكون لطريقة العمل كالعمل المجهد المستمر شأن في متلازمة نفق الرسغ، ويندر أن يكون السبب بعض الأورام كالأورام الشحمية مثلاً.

التشخيص:

- يوحي توزع الخدر والنمل وضمور عضلات ألية اليد إلى متلازمة نفق الرسغ.

- حدوث خدر ونمل في الأصابع حين قرع العصب المتوسط في الناحية الأمامية للمعصم.

- اختبار عطف المعصم wrist flexion test: هو حدوث خدر ونمل في ناحية توزيع العصب المتوسط بعطف الرسغ مدة ستين ثانية.

- يجب إجراء الفحوص المكملة، كتخطيط العضلات والأعصاب حين الشك بوجود انضغاط عصبي جذري، أو متلازمة مخرج الصدر thoracic outlet syndrome.

العلاج:

- في الحالات الخفيفة تُراح اليد بجبيرة معصمية مدة ثلاثة أسابيع.

- قد يؤدي حقن الستيروئيدات إلى شفاء الإصابة في بدايتها.

- وفي الحالات المتقدمة يستحسن إجراء الجراحة بالطرائق التقليدية أو بالتنظير.

(الشكل 19) انضغاط العصب المتوسط والتوزع العصبي للخدر والنمل

ب- متلازمة نفق غيّون Guyon tunnel syndrome:هي انضغاط العصب الزندي في المعصم حين مروره في قناة غيون التشريحية. يشعر المصاب بخدر ونمل في الإصبع الخامسة (الخنصر) ونصف الإصبع الرابعة (البنصر) الإنسي، ومنطقة التوزيع الحسي للعصب الزندي، وفي الحالات الشديدة قد تضمر عضلات الضرة.

يؤكد التشخيص بتخطيط العضلات والأعصابEMG ، ويستحسن التدخل الجراحي باكراً لأن عضلات اليد ما بين العظام لا تتحمل نقص التعصيب فترة طويلة، وذلك بتحرير نفق غيون.

(الشكل 20) حالة متقدمة من متلازمة غيون (يلاحظ عدم التقريب بالإصبع الخامسة (الخنصر) مع بداية المخلب)

ج- متلازمة وارتنبرغ Wartenberg&http://arab-ency.com.sy/medical/details/170383#39;s syndrome، انضغاط العصب الكعبري في المعصم: تتظاهر بألم وخدر في الثلث البعيد من ناحية الساعد الوحشية، ينتشران إلى الأمام وإلى السبابة والإصبع الثالثة.

التشخيص: يوضح التشخيص بوجود الخدر والألم في الثلث السفلي للساعد من الناحية الوحشية، وتحرّي علامة تنلTinel sign، وهي قرع العصب الذي يحدث ألماً وخدراً في منطقة توزعه.

الأسباب: غالباً ما تكون بسبب التهاب العصب الحسي الكعبري، وانضغاط العصب حين خروجه من ناحية العضلة العضدية الكعبرية، وقد يكون هناك تشوه تشريحي في شريحة ليفية، كما أن ارتداء الأساور الضاغطة على المعصم قد يسبب انضغاط هذا العصب.

العلاج: يكون بإزالة السبب وإراحة الطرف بنزع الأساور الضاغطة إن كانت هي السبب، وقد يفيد حقن الستيروئيدات، وإذا أخفقت المعالجة المحافظة فإن المعالجة الجراحية بتحرير العصب تؤدي إلى نتائج جيدة.

(الشكل 21) الألم في متلازمة وارتنبرغ

د- التهاب الأغماد الوترية حول المعصم: تحدث هذه الإصابة بعد جهد مفاجئ، أو بعد العمل المتكرر كالخياطة أو استعمال الحاسوب مدة طويلة مع ارتكاز اليد في أثناء الكتابة ارتكازاً خاطئاً، وقد تحدث في سياق الداء الروماتوئيدي حول الأوتار أو أورام الغمد الوتري كورم الخلايا العرطلة giant cell tumor.

هناك من الناحية التشريحية ست حجرات compartment في الناحية الظهرية للمعصم قد تصاب فيها أغماد الأوتار.

(الشكل22) حجرات الأوتار الباسطة 1-6 (مقطع بالمعصم)

- (1) داء دوكيرفانDe Quervain‘s disease :هو التهاب الغمد الوتري في الحجرة الأولى لظهر المعصم، يكون الألم في ناحية المعصم الكعبرية، يزداد بحركة الإبهام ولا سيما التبعيد والبسط.

الفحص السريري: ألم وانتباج في ناحية الحجرة الأولى، وفرقعة أحياناً بتحريك الإبهام. يؤدي قرع ناحية الحجرة الأولى أحياناً إلى ألم شديد، وقد تلاحظ كيسة معصمية صغيرة على النتوء الكعبري. يجب تمييز هذه الإصابة من كسور الزورقي المهملة، أو تنكس المفصل الكعبري الزرقي، كما يؤدي تنكس المفصل الزورقي المربع المربعيSTT والمفصل الـسنعي المربعي للإبهام إلى ألم أحياناً. والصورة الشعاعية تؤكد تشخيص الإصابة المفصلية غالباً في هذه الحالات.

المعالجة: يُبدأ بالمعالجة المحافظة كالراحة والجبائر والتدليك العرضي بالثلج وتغيير طريقة العمل، كما قد يؤدي حقن الستيروئيدات الموضعي ومضادات الالتهاب اللاستروئيدية إلى تحسن حالة المريض. ولكن الأعراض تعاود غالباً. حين إخفاق المعالجة المحافظة تجرى المعالجة الجراحية بتحرير المسافة الأولى بالتخدير الموضعي، مع الانتباه للفرع الحسي للعصب الكعبري والتشديد على تحرير الفروع الشاذة لوتر المبعدة للإبهام التي تكون غالباً السبب الرئيسي لعدم تحسن المريض بعد العمل الجراحي مباشرة.

- (2) التهاب غمد باسطة الإبهام الطويلة: يحدث بظروف العمل نفسها (بسط الإبهام المكرر)، وقد يكون بسبب تضيق المسافة الثانية الرضي. يحدث الألم ببسط الإبهام واليد موضوعة على سطح أفقي.

العلاج كما في داء دوكيرفان.

- (3) التهاب وتر باسطة الرسغ الزندية: يتوضع الألم في الناحية الظهرية للنتوء الزندي في الرياضيين والذين يمارسون الرياضة المجهدة للمعصم بالبسط والانحراف الزندي .العلاج كما في داء دوكيرفان.

- (4) الإصبع الزناديةtrigger fingers : السبب الأساسي للإصبع الزنادية هو تضخم الوتر في ناحية الغمد والبكرة tendon sheath and pulley ، وقد يكون هناك التهاب ارتكاسي أو بعض الأورام في الغشاء المصلي كورم الخلايا العرطلة لغمد الوتر sheath Tendon. تتمثل الأعراض بانعقال الإصبع في حالة العطف، وتقفز الإصبع بالبسط بسبب مرور العقدة المتضخمة في الوتر عبر الغمد، ولذلك تسمى الإصبع القافزة.

العلاج: يكون في البداية محافظاً أو بحقن الستيروئيدات الموضعي، ومن المهم التأكد من عدم حقن الدواء داخل الوتر بل حقنه حول الوتر في الغشاء المصلي، وفي الحالات المتقدمة يؤدي العلاج الجراحي إلى نتائج جيدة.

قد ترى الإصبع القافزة الولادية في بعض الأطفال، وتعالج بالتدليك في المرحلة الأولى، وتؤجل الجراحة حتى الشهر الثامن من الحياة إذ قد تشفى شفاءً تلقائياً.

(الشكل 23) الإصبع القافزة الولادية (يلاحظ انعطاف الإبهام)

- (5) اليد الروماتوئيدية: اليد من أكثر مناطق الجسم إصابة بالداء الروماتوئيدي، والإصابة المرضية المهمة هي التهاب الغشاء المصلي في المفاصل وأغماد الأوتار في اليد.

يمر المرض بثلاث مراحل:

- المرحلة الأولى: تتصف بألم المفصل ولا سيما المفصل السنعي السلامي على مسير الأوتار الباسطة ولاسيما وتر الزندية الخلفية، وهو ما يعبر عن التهاب الغشاء المصليsynovitis حول المفصل، شعاعياً تبدو المفاصل طبيعية، وقد يشاهد بعض النقص في الكثافة العظمية. تبقى اليد محافظة على محورها وبالشكل الوظيفي.

- المرحلة الثانية: يبدأ انحراف المعصم نحو الجهة الكعبرية وانحراف الأصابع نحو الجهة الزندية مع العطف الراحي، وقد يُضغط العصب المتوسط في المعصم بسبب تضخم الغشاء المصلي للقابضات (متلازمة نفق الرسغ). وتظهر علامات التهاب الغشاء المصلي في الأوتار القابضة كالإصبع القافزة.

- المرحلة الثالثة: يبدأ تشوه اليد واضحاً مع الانحراف الكعبري وانعطاف الأصابع والانحراف الزندي وخلع المفصل السنعي السلامي، وإصبع المطرقة بالإبهام نتيجة انقطاع الوتر الباسط. شعاعياً تبدو المفاصل متنكسة بشدة مع خلع المحور وانحرافه.

العلاج: العلاج الأساسي لليد الرثوية هي علاج المرض الأساسي، ويعالج التهاب الغشاء المصلي دوائياً بحقن الستيروئيدات حتى ثلاث مرات، ويجب تجنب الحقن أكثر من ثلاث مرات في التهاب غشاء الأوتار المصلي لأنه يؤهب لانقطاع الأوتار التلقائي.

(الشكل 24) إصابة الغشاء المصلي في الداء الرثياني

في المرحلة الثانية: يستحسن استئصال الغشاء المصلي إذ إنه يوقف تطور المرض وحدوث التشوهات باكراً، ويمكن في هذه المرحلة إصلاح النسج الرخوة .

المرحلة الثالثة: تعالج بإصلاح النسج الرخوة في انحراف اليد والأصابع مع تبديل المفاصل المتعدد بحسب كل إصابة. ومن الملاحظ أن بعض المرضى يتحملون تشوهات اليد الشديدة ويتآلفون معها، وهؤلاء المرضى ليسوا مؤهلين للجراحة المعقدة إذا لم يطلبوا هم ذلك.

(الشكل 25) يد روماتوئيدية المرحلة الثالثة، يد روماتوئيدية (إصلاح جراحي)، يد روماتوئيدية (بعد الإصلاح الجراحي)

- (6) مرض دوبويترانDupuytren disease : هو انكماش الصفاق الراحي وتليفه المؤدي إلى انكماش الجلد والأصابع، ويسبب تعويقاً وظيفياً في اليد بحسب درجة الإصابة. السبب الإمراضي غير معروف تماما،ً وذكرت عوامل كثيرة منها العامل الوراثي الذي غالباً ما يكون عائلياً وليس له صفة وراثية سائدة. وللعامل العرقي شأن مهم إذ إن المرض شائع في العرق الأوربي، وقد تكون الرضوض والتبغ والكحول والأمراض الجهازية كالسكري عوامل مساعدة. يمر المرض بثلاث مراحل: تبدأ المرحلة الأولى بتليف الصفاق وتسمكه والتصاقه، وفي المرحلة الثانية تتشكل عقيدات قد تكون مؤلمة مع انعطاف الأصابع انعطافاً معتدلاً، وفي المرحلة الثالثة يحدث التليف مع عقيدات وانعطاف الأصابع الشديد.

تعالج المرحلة الأولى بالتدليك اليومي بالمطريات كزيت الزيتون مثلاً. ويلجأ في المرحلتين الثانية والثالثة إلى الجراحة التي تختلف من الخزع الجراحي بالإبرة في الحالات الخفيفة إلى استئصال الصفاق المصاب وتصنيع الجلد في الحالات الشديدة؛ وفي الحالات الشديدة جداً قد يجرى تداخل على عظام السلاميات والمفاصل.

(الشكل 26) داء دوبويتران

-6 أخماج اليد:

يجب مراقبة الالتهاب، ووجود أي تجمع التهابي يجب تفجيره جراحياً.

من الأخماج الشائعة الخراجات حول الظفر، ويجب فيها استئصال قاعدة الظفر الحرة.

(الشكل 27) التهاب ما حول الظفر paronychia ، استئصال زاوية الظفر أو قاعدة الظفر بحسب الإصابة

ويجب أن يتبع العلاج الجراحي قواعد جراحة اليد ومعرفة دقيقة بتشريح اليد والأغماد الوترية، إذ تحدد هذه المعرفة كيفية إجراء الشقوق الجراحية وتفجير كامل الغمد أو الكيسةbursa .

(الشكل 28) الأغماد الوترية باليد

يجب على الطبيب أن يفرق بين الالتهاب السطحي والتهاب النسيج الخلوي والتهاب الغمد الوتري الذي يتطلب معالجة خاصة.

حين حدوث الخمج العميق ترى العلامات التالية:

أ- انعطاف الأصابع الخفيف.

ب- وذمة على طول الغمد الوتري.

ج- ألم ببسط الإصبع.

في حين لا ترى هذه العلامات في الخمج السطحي والخراجات السطحية.

(الشكل 29) الشق الجراحي لخراجات اليد

وفي التهاب الأغماد الوترية يجب أن يكون التداخل الجراحي باكراً بعد المعالجة الأولى بالمضادات الحيوية وإراحة اليد على جبائر والضمادات الرطبة كالهكزامدين hexamidine، إذا لم تتحسن الحالة بمدة 48 ساعة يجرى التداخل الجراحي مع غسيل الغمد الوتري من الطرفين غسيلاً جيداً.

وفي الحالات المتقدمة يكون استئصال الوتر المصاب هو العلاج الوحيد لإيقاف الخمج.

> الالتهاب بالعضات:

هنالك نوعان من العضات: العضات الإنسانية والعضات الحيوانية:

العضات الإنسانية عادة أخطر بسبب الجراثيم الهوائية، وغالباً ما تسبب التهاب المفصل السنعي السلامي في منطقة الإصابة، والعلاج في هذه الحالات هو التداخل الجراحي السريع مع غسل المفصل وإعطاء المضادات الحيوية ولاسيما للجراثيم اللاهوائية بطريق الوريد. أما العضات الحيوانية فأقل خطورة، والعلاج بتنظيف الجرح وبالتنضير debridementأحياناً مع ترك الجرح مفتوحاً ثم إغلاقه بعد المراقبة بضعة أيام. ويجب إعطاء المصل المضاد للكزاز. يجب التفريق بين العضات وخرمشة القطط التي تؤدي إلى التهاب العقد اللمفية في الإبط cat scratch syndrome ، والدواء المختار في هذه الحالة هوtetracycline أو أحد مشتقاته.

-7 تشوهات الأصابع المكتسبة:

أ- تشوه العروة boutonniere deformity:تشوه يحدث بسبب إصابة الحزمة المركزية للوتر الباسط بمستوى المفصل السلامي السلامي الداني؛ مما يؤدي إلى انعطاف هذا المفصل وتزحل الحزمتين الجانبيتين للوتر الباسط إلى الناحية الراحية وبسط في المفصل السلامي السلامي القاصي.

قد تكون الإصابة حادة بسبب جرح قاطع، أو جرح يرافقه كسر انقلاعي في قاعدة السلامي تظهره الصور الشعاعية، لذلك يجب إجراء صورة شعاعية دائماً.

المعالجة جراحية بإعادة ارتكاز الوتر على السلامي مع تثبيت المفصل المؤقت بسيخ كيرشنر مدة أربعة أسابيع على الأقل، ثم وضع جبيرة باسطة أربعة أسابيع أخرى مع المتابعة بالمعالجة الفيزيائية.

أما الحالات المزمنة فأكثر ما تحدث في الداء الروماتوئيدي، وتعالج في البداية بالجبائر والمعالجة الفيزبائية، وقد يفيد استئصال الغشاء المصلي في إيقاف تخرب المفصل. وتعالج جراحياً بإعادة ارتكاز الوتر الباسط المركزي مع تقريب الحزمتين الجانبيتين، ويفيد أحياناً خزع الوتر الباسط في مستوى السلامي البعيد.

(الشكل 30) تشوه العروة

ب- تشوه عنق الوزة swan neck deformity:هو تشوه في الإصبع يتظاهر بفرط بسط المفصل السلامي السلامي الداني، وعطف المفصل السلامي السلامي القاصي.

أسباب هذا التشوه:

- إصابة الصفيحة المفصلية الأمامية.

- انقطاع الوتر القابض السطحي.

- خلع المفصل السنعي السلامي مع انكماش العضلة بين العظام.

المعالجة: بحسب السبب، وهي في البداية محافظة بالجبائر والمعالجة الفيزيائية. وحين إخفاق المعالجة المحافظة يُلجأ إلى المعالجة الجراحية بنقل الأوتار أو تحرير وتر بين العظام، ونادراً ما يُلجأ إلى إيثاق المفصل.

(الشكل 31) تشوه عنق الوزة

ج- الإصبع المطرقيةmallet finger :تحدث بسبب انقطاع الوتر الباسط في مستوى المفصل السلامي القاصي الذي يؤدي إلى انعطاف السلامي، قد يرافقه كسر انقلاعي في قاعدة السلامي الأخيرة.

السبب غالباً رض الأصبع رضاً مباشراً محورياً كما في لاعبي كرة السلة، إذ تنعطف السلامى الأخيرة بعنف، وقد تكون بسبب جرح ظهر المفصل جرحاً مباشراً.

تعالج باستعمال جبيرة مدة ثلاثة أسابيع والسلامى بوضعية البسط الكامل، يتبعها تمارين مقوية للوتر الباسط.

(الشكل 32) إصبع المطرقة

ويؤدي التدخل الجراحي كالإيثاق الجلدي الوتري dermotenodesis إلى نتائج جيدة في الحالات التي يرافقها كسر، أو في الحالات المزمنة.

(الشكل 33) إعادة تثبيت الكسر الانقلاعي بالسلامى الأخيرة

-8 التشوهات الولادية:

نادراً ما تسبب تشوهات الطرف العلوي الولادية تعويقاً شديداً للطفل، إذ إن الطفل يتآلف جيداً مع هذا التشوه، ولكن التأثير النفسي عليه يبدأ حين دخوله المدرسة. غالباً ما يقوم الأهل بإخفاء الطرف المصاب مما يؤدي إلى عدم استعمال الطفل هذا الطرف وإلغاء التكيف معه.

يتشكل الطرف في الشهر الثاني من الحمل، وفي هذا الوقت يتم تشكل أعضاء أخرى كالقلب مثلاً مما يفسر التشوهات القلبية المرافقة أحياناً.

التشوهات الولادية هي صفة وراثية سائدة أحياناً، وتكون أحياناً بشكل عائلي، وقد تغيب أجيالاً ثم تعود.

تتداخل العوامل الخارجية في إحداث بعض التشوهات الولادية كالأدوية مثل التاليدوميد، أو التعرض للإشعاع، كما قد تكون بعض الفيروسات سبباً في هذه التشوهات.

تتضمن تشوهات اليد الولادية عدداً كبيراً من التنوع لدرجة يصعب معها تصنيفها. وهناك تصانيف كثيرة، ولكن أكثرها اعتماداً حالياً هو تصنيف اتحاد الجمعيات الدولية لجراحة اليد International Federation of Societies for Surgery of the Hand.

تتطلب معالجة التشوهات الولادية فهماً دقيقاً لطبيعة الآفة ومدى تعويقها للطفل مما يتطلب تعاوناً من الأهل، كما يتطلب وضع جدول زمني للمعالجة والتداخل الجراحي، وللجبائر والمعالجة الفيزيائية شأن مهم في خطة المعالجة يجب أن تبدأ باكراً بعد الولادة وتستمر فترة طويلة حتى البلوغ.

وحين وجود إصابات حشوية يستحسن استشارة مختص لكشف المتلازمة المرافقة.

وفي غياب طرف أو جزء كبير منه يمكن استعمال الطرف الصنعي، وفي سن متقدمة يمكن استعمال الطرف الكهربائي المتحرك على الرغم من أن الطفل يستطيع التكيف جيداً من دونه.

وفيما يلي أهم هذه التشوهات الولادية:

أ- اليد القفداء الكعبرية hand radial club :تشوه ولادي في المعصم، يتظاهر بانحراف اليد من الناحية الكعبرية مع غياب الإبهام وعظم الكعبرة غياباً جزئياً أو كلياً.

يحدث هذا التشوه في الأسبوع السادس من الحمل، وقد ترافقه تشوهات قلبية أو اضطرابات دموية أهمها فقر الدم اللامصنع aplastic anemia.

الأسباب الإمراضية متعددة، منها النمط الوراثي، ومنها الأسباب الخارجية كالتعرض للإشعاعات أو الأدوية كالتاليدوميد thalidomide، أو الإصابات الفيروسية في المرحلة الأولى من الحمل.

(الشكل 34) أ- يد قفداء، ب- بعد الإصلاح الجراحي

الصورة السريرية: انحراف اليد بالاتجاه الكعبري، وتشوه الإبهام الذي يراوح بين نقص التصنع والغياب التام ترافقه تشوهات في بقية الأصابع كاليبوسة المفصلية.

يُرى شعاعياً تشوه يختلف بين قصر الكعبرة وغيابها التام يؤدي إلى تشوه شديد بانحراف اليد نحو الناحية الكعبرية مع غياب بعض عظام المعصم.

(الشكل 35) أشكال الإصابة شعاعياً

المعالجة: تبدأ من الأيام الأولى للولادة (تمارين تمطيط المعصم - جبائر)، أما المعالجة الجراحية فتؤجل حتى الشهر الثامن من الولادة، حين إخفاق المعالجة المحافظة يُبدأ بإعادة تمركز الرسغcentralization of the carpus ، يتبعها بعد فترة نقل السبابةpollicization of the index .

ب- داء مادلونغMadelung deformity : تشوه ولادي يحدث في الفتيات، ينتقل بصفة وراثية سائدة مرتبطة بالصبغي X يتميز بحدوث تشوه (انحراف زندي مع انعطاف راحي) مع خلع رأس الزند وضغطه عظام المعصم.

الأعراض: يبقى المرض لا عرضياً، ولكنه يزداد ظهوراً في سن البلوغ، إذ يزداد الانحراف الكعبري وتبارز رأس الزند المعيب مع أعراض انضغاط المعصم برأس الزند وتخريش العصب المتوسط.

التشخيص: تظهر الصورة الشعاعية تشوهاً وتأخر نمو غضروف نهاية الكعبرة القاصية من الناحية الزندية، وانحراف الكعبرة والتبارز الظهري لرأس الزند. يؤكد المرنان التشخيص ولا سيما تسمك رباط فايكر.

المعالجة: في الحالات الخفيفة يكتفى بالمراقبة، أما في الحالات الشديدة التي بدت فيها علامات الانضغاط الزندي الكعبري أو التخريش العصبي وتشوه المعصم الشديد فيلجأ إلى التداخل الجراحي. هناك عدة طرائق جراحية، منها تحرير رباط فايكر والتداخل على غضروف الاتصال، وفي نهاية النمو يؤدي خزع الكعبرة وعملية كابانجي برأس الزند إلى نتائج مقبولة.

وفي الحالات الشديدة التي يخشى فيها من المضاعفات العصبية الوعائية يستحسن الإصلاح الجراحي التدريجي بوساطة التثبيت الخارجي (طريقة اليزاروف).

(الشكل 36) أ- تشوه مادلونغ، ب- المرنان: رباط فايكر، ج- الصورة الشعاعية

ج- انحراف اليد الزندي ulnar club hand:تشوه ولادي يتظاهر بإصابة المحور الزندي للساعد واليد، يراوح بين قصر الزند وغياب المحور الزندي غياباً تاماً.

قد يحدث هذا التشوه بسبب عائلي، أو يكون مرافقاً إحدى المتلازمات كمتلازمة كليبل فايل. له أربعة أنواع تختلف بحسب شدة التشوه.

العلاج: يجب أن يبدأ باكراً بالتمطيط والجبائر، والمعالجة الجراحية يجب أن تجرى قبل الشهر السادس من العمر. وقد تتمم المعالجة بعدها بإعادة تمركز المعصم.

د- متلازمة الشريط السلوي amniotic band syndrome:

تشوه ولادي يتظاهر بوجود حلقة ضاغطة حول الطرف أو الأصابع، وقد يظهر في أماكن أخرى من الجسم، تختلف الأعراض بين وذمة الطرف بعد الحلقة إلى بتر الطرف الولادي. ويشخص غالباً ما يرافق التشوه من تشوهات أخرى قبل الولادة بالأمواج فوق الصوتية الثلاثية الأبعاد.

المعالجة: ليس هناك حاجة إلى المعالجة في الحالات الخفيفة، أما في الحالات الأخرى فيمكن التداخل جراحياً، ويستحسن أن يكون على مرحلتين؛ استئصال الحلقة وتصنيع الجلد. في الحالات الشديدة المهددة للطرف يجب التداخل بشكل إسعافي.

وقد ذكرت بعض الحالات جرى فيها التداخل على الجنين لإنقاذ الطرف.

(الشكل 37) الداء الأمنيوسي في الساعد

هـ- كثرة الأصابع (العَنَش)  polydactyly: تشوه ولادي بزيادة عدد الأصابع. وقد يكون لبعض الأدوية شأن في هذا التشوه كالتاليدوميد، وقد يرافق أحد الأمراض الوراثية كتشوهات الصبغيات chromosome abnormalities .

(الشكل 38) تعدد الأصابع

العلاج: جراحي، ويجب أن يكون بيد خبيرة مع الانتباه لبقية الأصابع وشكل اليد ولا سيما في إصابة الإبهام، إذ ترتكز عليها عضلات ألية اليد المهمة المقابلة.

(الشكل 39) تضاعف الإبهام

و- التصاق الأصابع الولادي congenital syndactyly: يعد هذا التشوه من أكثر تشوهات اليد الولادية شيوعاً، ويراوح بين التصاق إصبعين إلى التصاق كل الأصابع، وقد يكون بسيطاً أو يرافقه التصاق عظمي أو تشوه عظمي في السلاميات.

(الشكل 40) التصاق الإصبع الثالثة والرابعة

وقد يرافق تشوهات ولادية أخرى كتضيق الجمجمة أو التشوهات القلبية والدموية الولادية (نقص الصفيحات مثلاً). العلاج غالباً جراحي مالم يكن هناك مضاد استطباب. العمر المناسب للجراحة هو ما بين السنة الرابعة والخامسة للأصابع المتقاربة الطول، وعمر أبكر للأصابع المختلفة الطول. أما الإبهام فيجب أن يكون قبل الشهر التاسع من العمر.

ز- الأصابع المنحرفة clinodactyly: قد تحدث في أي إصبع من الأصابع، والسبب غالباً وجود تشوه إحدى السلاميات.

قد يرافق هذا التشوه إصابات وتشوهات أخرى.

(الشكل 41) الإبهام المائل (سلامية دلتا)

العلاج: جراحي.

(الشكل 42) أ - سلامية دلتا ب - انحراف اليد مع انحراف الإصبع

ح- انزياح الزند الخلقي congenital ulnar drift (windblown hand): يتظاهر بانحراف الأصابع نحو الناحية الزندية، غالباً ما يوجد تشوه إبهام مرافق مع تضيق الفوت interdigit الأول first webونقص تصنع الإبهام: (الإبهام الراحية thumb-in-palm).

(الشكل 43) الإبهام الراحية

المعالجة جراحية ولا سيما حين وجود نقص تصنع في الإبهام، وتبدأ في السنة الثانية من العمر. والجبائر يجب أن تبدأ في السنة الأولى.

ط- ضخامة الأصابع macrodactyly: تشوه ولادي يتصف بتضخم إصبع واحدة أو أكثر من إصبع ضخامة شديدة، ويكون التضخم في كل أنسجة العظم والجلد والأعصاب.

هناك نوعان من المرض؛ الأول الثابت static macrodactyly، تنشأ الإصبع فيه ضخمة منذ الولادة ويظل نموها مستمراً بالنسبة نفسها بقية العمر.

والثاني المتطور progressiveالذي ربما لا تكون الإصبع فيه ضخمة حين الولادة، ولكنها تتضخم وتستمر بالتضخم والنمو بعد ذلك.

(الشكل 44) عرطلة الإصبعين الثالثة والرابعة

العلاج غالباً جراحي يعتمد على إيقاف نمو المشاش في عظام الإصبع المصابة باكراً، مع محاولة التخفيف من النسج ولا سيما العصبية في مرحلة ثانية، وفي الحالات الشديدة يكون البتر هو الحل الامثل.

ي - انعطاف الإصبع المستديمcamptodactyly:تشوه ولادي، يتظاهر بانعطاف المفصل السلامي السلامي الداني، ينتقل وراثياً بوصفه صفة سائدة، يصيب غالباً الإصبع الخامسة، وقد يصيب الأصابع الأخرى.

غالباً ما تكون زيادة الانعطاف تدريجية من دون ألم أو تورم المفصل.

(الشكل 45) الإصبع المنحنية

من الناحية الإمراضية هناك تشوهات العناصر المحيطة بالمفصل ولا سيما الأوتار، وأكثرها مشاهدة تشوه الوتر الباسط.

المعالجة: محافظة في الانعطاف الخفيف بين 30-40 درجة، (جبائر وتمطيط المفصل مع جبائر ليلية) يجب أن تستمر حتى البلوغ.

وفي الحالات الشديدة يجرى التداخل جراحياً لتحرير النسج المنكمشة. وفي الحالات المتقدمة يجرى خزع إسفيني لرأس السلامية الدانية، وتكون النتيجة التجميلية مقبولة.

(الشكل 46) خزع إسفيني للسلامية

ك- اليد الفلحاءcleft hand :تشوه ولادي يصيب التطور المعترض لليد، وهو غالباً ثنائي الجانب.

يراوح بين التباعد البسيط حتى غياب الأصابع المركزية مع التصاق الفوت الأول والأخير.

ومن الناحية الوراثية قد ينتقل هذا التشوه بصفة سائدة أحياناً، وقد يغيب أجيالاً أحياناً أخرى.

(الشكل 47) يد فلحاء في الطرفين

وقد ترافقه تشوهات ولادية أخرى كشفة الأرنب، والقدم المشقوقة، أو قد تكون هناك تشوهات حشوية، كالساد والصمم والتشوهات القلبية والكلوية.

العلاج جراحي يبدأ باكراً في غياب الفوت الأول بتحرير الفوت، يتبعه بعد ستة أشهر إصلاح التباعد.

ل- تفقم الأطرافphocomelia : يتميز بقصر الطرف الشديد مع وجود أصابع. يحدث بنسبة 0.5% من التشوهات الولادية، ودواء التاليدوميد من أكثر مسبباته. وقد ترافقه تشوهات أخرى قلبية وجلدية ودموية مثل قلة الصفيحات thrombocytopenia، ويقسم هذا التشوه إلى ثلاثة أنواع بحسب درجة الإصابة.

(الشكل 48) تفقم الأطراف

العلاج الأساسي بالأجهزة الصنعية، ويختلف العمل الجراحي بحسب درجة الإصابة، ويراوح بين تطويل أجزاء من الطرف إلى الطعوم التعويضية.

م- الالتحام العظميsynostosis :

تشوه ولادي، يتظاهر بالتحام عظمين متجاورين (سلاميات، أسناع عظمي الساعد). يكون الالتحام جزئياً أو كاملاً في السلاميات. نادراً ما يؤدي هذا التشوه إلى عجز وظيفي شديد.

ينتقل هذا التشوه عائلياً وليس وراثةً سائدة، وقد يرافقه أحد التشوهات الولادية الأخرى.

المعالجة الجراحية ضرورية في حالة التحام الفوت الأول، ويستحسن إجراؤها قبل سن العاشرة للتقليل من المضاعفات الوعائية.

(الشكل 49) أ، ب، ج، د تلاحم كعبري زندي

ن- الأصابع القصيرةbrachydactyly :يعد هذا التشوه من أكثر تشوهات اليد تعقيداً؛ إذ غالباً ما تشاركه تشوهات ولادية عديدة في الأصابع كانحراف الأصابع والتصاق الأصابع.

ويصنف بيل Bell classification هذا التشوه في خمسة أنواع بحسب التشوه وشكله.

(الشكل 50) تشوه الأصابع القصيرة

المعالجة: نادراً ما تسبب هذه الآفة عجزاً وظيفياً مهما،ً وتبقى المشكلة التجميلية هي الظاهرة، وهي في الحالات الخفيفة لا تحتاج إلى تدخل أو أي معالجة. أما في الحالات الشديدة فإن العلاج يؤجل حتى سن الخامسة من العمر (ما قبل سن المدرسة) preschool age. في الحالات الأكثر تعقيداً يستحسن إجراء المعالجة على مراحل تختلف باختلاف منطقة الإصابة.

س- قصر الأصابع والتصاقها symbrachydactyly:تكون الأصابع فيه قصيرة ملتصقة، ويعالج على مراحل، فيبدأ بفصل الأصابع مع تعميق المسافة بينها. وحين غياب السلاميات يمكن نقل سلاميات أصابع القدم، وأحياناً نقل جزء من المشط مع منطقة النمو. ويجب أن يتم هذا الإجراء قبل سن الثانية من العمر.

 

 

 


- التصنيف : أمراض الجهاز الحركي - النوع : أمراض الجهاز الحركي - المجلد : المجلد الخامس عشر، طبعة 2016، دمشق - رقم الصفحة ضمن المجلد : 181 مشاركة :

بحث ضمن الموسوعة

من نحن ؟

الموسوعة إحدى المنارات التي يستهدي بها الطامحون إلى تثقيف العقل، والراغبون في الخروج من ظلمات الجهل الموسوعة وسيلة لا غنى عنها لاستقصاء المعارف وتحصيلها، ولاستجلاء غوامض المصطلحات ودقائق العلوم وحقائق المسميات وموسوعتنا العربية تضع بين يديك المادة العلمية الوافية معزَّزة بالخرائط والجداول والبيانات والمعادلات والأشكال والرسوم والصور الملونة التي تم تنضيدها وإخراجها وطبعها بأحدث الوسائل والأجهزة. تصدرها: هيئة عامة ذات طابع علمي وثقافي، ترتبط بوزير الثقافة تأسست عام 1981 ومركزها دمشق 1