المتلازمة التنفسية الحادة الشديدة (السارس SARS)
متلازمه تنفسيه حاده شديده (سارس SARS)
severe acute respiratory syndrome (SARS) - syndrome respiratoire aigu et sévère
المتلازمة التنفسية الحادة الشديدة (السارس SARS)
أنس ناعم
المتلازمة التنفسية الحادة الشديدة (السارس) severe acute respiratory syndrome (SARS) هي مرض تنفسي يسببه ڤيروس السارس المكلل SARS coronavirus. وهو من نوع الڤيروسات الرنوية RNA virus، ذو غشاء بروتيني سكري مشوك (الشكل1).
ظهر هذا المرض أول مرة بشكل قريب من وباء عالمي ما بين شهر تشرين الثاني/نوڤمبر 2002 وتموز/يوليو 2003، سجلت فيه 9096 حالة عدوى معروفة و774 حالة وفاة (معدل وفيات 9.6%). وقد انتشر في بضعة أسابيع في مطلع عام 2003 من مقاطعة غواندونغ في الصين ليعدي بسرعة أفراداً في 37 بلداً في العالم، وبحلول 8 أيار/مايو 2003 بلغت نسبة الوفيات حسب المجموعات العمرية أقل من 1% في الأفراد الذين كانت أعمارهم حتى 24 سنة، و6% في الذين كانت أعمارهم من 25 حتى 44 سنة، و15% فيمن كانت أعمارهم بين 45 و64 سنة وأكثر من 60% فيمن كانت أعمارهم فوق 65 سنة، ومع أن آخر حالة عدوى بشرية تم رصدها كانت في حزيران/يونيو 2003؛ فإنه لم يعلن عن القضاء نهائياً على السارس؛ لأنه بقي موجوداً في ثويه الطبيعي (الحيوانات) وقد يعود لإصابة الإنسان في المستقبل.
![]() | ![]() |
أ - شكل ترسيمي للڤيروس | ب - شكل الڤيروس بالتألق المناعي |
الشكل (1) ڤيروس السارس | |
تراوح فترة حضانة المرض بين يومين وسبعة أيام، وقد تطول أحياناً لتصل حتى 12 يوماً، وتشبه الأعراض البدئية ما يحدث في النزلة الوافدة influenza وهي الحمى والآلام العضلية والوسن وأعراض مَعِدية مِعَوية وأعراض لا نوعية أخرى، إلا أن العرض الوحيد الذي شوهد في جميع المرضى كان الترفع الحروري فوق 38 درجة مئوية، وقد تحدث الزلة التنفسية متأخرة، ويتطلب المرض وضع المريض على التهوية الآلية في 10-20% من الحالات.
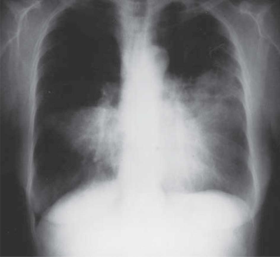
1- التصوير الشعاعي: ليس هناك مظهر مرضي شعاعي وصفي للسارس وتختلف الموجودات في صورة الصدر البسيطة من حالة إلى أخرى، فقد تكون الصورة في بدء المرض طبيعية، ولكن يغلب أن تظهر مع تطوره ارتشاحات بقعية في أقسام عديدة من الرئتين (الشكل2)، وقد يظهر تصوير الصدر المقطعي المحوسب شذوذات في المتن الرئوي parenchyma حتى في المرضى الذين بدت صورة الصدر البسيطة لديهم طبيعية (الشكل 3)، وتشاهد في الحالات المتقدمة كيسات صغيرة (بقطر > 1سم)، كما سجلت حالات من الريح الصدرية والريح المنصفية.
2- الفحوص المخبرية: ينخفض غالباً عدد الكريات البيض والصفيحات مع ارتفاع نسبة العدلات وانخفاض نسبة اللمفاويات التائية، ويرتفع مقدار إنزيم نازعة الهدروجين اللبنية lactate dehydrogenase والكرياتين كيناز creatine kinase والبروتين المتفاعل C-reactive protein ارتفاعاً خفيفاً. ومع اكتشاف تتالي الحمض الريبي النووي RNA الخاص بالڤيروس المكلل المسؤول عن السارس وتحديده؛ وضعت عدة طرائق تشخيصية ما زالت في طور الاختبار لمعرفة ملاءمتها للتطبيق، وقد برز منها ثلاثة فحوص مفيدة للتشخيص:
أ- الأول: يعتمد على تقنية enzyme-linked immunosorbent assay (ELISA) لتحري أضداد السارس، إلا أن إيجابية هذا الاختبار لا تظهر إلا بعد 21 يوماً من بدء الأعراض.
ب- الثاني: طريقة المقايسة بالومضان المناعي immunofluorescence التي تمكن من تحري الأضداد بعد 10 أيام من بدء المرض، ولكنه اختبار صعب يتطلب وقتاً طويلاً ووجود مجهر يعمل بطريقة الومضان المناعي فضلاً عن التقنيين الخبراء.
ج- الثالث: فحص تفاعل سلسلة البوليميراز PCR أو(polymerase chain reaction) الذي يمكن بوساطته تحري المادة المورثية لڤيروس السارس في عينات تتضمن الدم أو البلغم أو البراز أو في عينات نسيجية، وهو اختبار جيد النوعية ولكنه قليل الحساسية، ما يعني أن النتيجة الإيجابية لاختبار الـ PCR تشير إلى أن المريض مصاب بالـ SARS، في حين لا تنفي سلبية هذا الاختبار الإصابة، ومع أن منظمة الصحة العالمية كانت قد نشرت في آذار/مارس عام 2003 دليلاً لاستخدام هذه الاختبارات التشخيصية الثلاثة، إلا أنه لا يوجد حتى الآن اختبار يصلح للمسح السريع screening test لكشف السارس.
![]() | ![]() |
الشكل (2) ارتشاحات متنية في التصوير الطبقي المحوري | الشكل (3) صورة الصدر البسيطة |
1- الحالة المشتبهة :Suspected يشتبه بالإصابة بالسارس إذا ظهر في المريض أحد الأعراض الدالة عليه ولاسيما ارتفاع الحرارة حتى 38 درجة مئوية أو أكثر، إضافة إلى قصة تماس - جنسي أو بطريق الملابس - مع مريض شُخِّصت إصابته بالسارس في الأيام العشرة السابقة؛ أو أتى من سفر من إحدى المناطق التي حددتها منظمة الصحة العالمية مناطق لظهور السارس وانتقاله (كانت هذه المناطق في 10 أيار 2003 أجزاء من الصين، وسنغافورا، ومقاطعة أونتاريو بكندا).
2- الحالة المحتملة Probable للسارس: هي التي تظهر فيها - إضافة إلى ما ذكر في الحالة المشتبهة - في صورة الصدر الشعاعية البسيطة مناظر لذات رئة لا نمطية أو لمتلازمة الضائقة التنفسية الحادة acute respiratory syndrome.
ومع اكتشاف الاختبارات التشخيصية للڤيروسات المكللة المسؤولة عن السارس، أضافت منظمة الصحة العالمية مصطلح «السارس المثبت مخبرياً» في حالة الإصابة المحتملة مع تشخيص مخبري استناداً إلى أحد الاختبارات المعتمدة الآنفة الذكر، ولم تظهر فيها بعد تغيرات في صورة الصدر الشعاعية.
مع أن السارس مرض حمَّوي فإن الصادات لا تفيد فيه، وتستعمل عادة خافضات الحرارة والأكسجين والدعم بالتهوية الآلية حين الحاجة. ويجب عزل الحالات المشتبهة ويفضل أن يتم ذلك في غرف ذات ضغط سلبي مع الاحتياطات التمريضية الكاملة لمنع أي تماس بالمرضى.
أجريت اختبارات كثيرة لمعرفة تأثير مضادات الڤيروسات المعروفة والمستخدمة لعلاج الأمراض الڤيروسية الأخرى - كمتلازمة نقص المناعة المكتسب (الإيدز) والتهاب الكبد والنزلة الوافدة وغيرها - في السارس، وتبين نتيجة الدراسات عدم جدوى هذه المعالجات، وعلى العكس بينت بعض الدراسات ضررها.
![]() |
الشكل (4) الرداء الخارجي والقفازات |
وأكثر ما يستعمل الآن الستروئيدات القشرية مع الريباڤيرين ribavirin، وقد تبين أن فائدة المقادير القليلة من الريباڤيرين محدودة في حين تكون النتائج أفضل حين مشاركته والستروئيدات القشرية والكاليترا Kaletra ولاسيما حين تطبيقها باكراً. وكان تطبيق البريدنيزون prednisone من الستروئيدات القشرية موضع جدل لما له من تأثيرات جانبية ولاسيما قلة اللمفاويات في الدم وحدوث نقص الاستجابة المناعية الذي يسبب ارتفاعاً شديداً في الحمل الڤيروسي، لذلك كان من الواجب حين استعمال الستروئيدات القشرية الموازنة بين الحاجة إلى استعمالها مضادة للالتهاب وبين تأثيراتها الجانبية.
ولاحظ السريريون أخيراً التأثيرات الجيدة لاستخدام الأنترفيرون البشري المسمى الغليسريزين glycyrrhizin من دون وجود دليل واضح حتى الآن على فائدته في تثبيط تكاثر ڤيروس السارس، في حين أن للإيمينوسيكليتول (7) aminocyclitol 7 تأثيراً مثبطاً لهذا الڤيروس بإحداثه خللاً في عملية تشكل محفظته البروتيئينية السكرية، ويثبط هذا العقار إنتاج الفوكوزيداز البشري human fucosidase خاصة، ويبدو أن له نتائج واعدة في معالجة السارس، إلا أنه يؤدي في المرضى إلى عوز إنتاج إنزيم الفوكوزيدات وإلى الداء الفوكوزيدي fucosidosis الذي يتظاهر بنقص الفعالية العصبية لديهم.
لما كان السارس مرضاً معدياً فإنه يجب اتخاذ الإجراءات المناسبة للوقاية والتحكم بالمرض، وهذه الإجراءات غالباً ما تكون صعبة لأن العديد من المرضى لا تكون أعراضهم شديدة إلى درجة تدفعهم إلى الاستشفاء، وهذا ما يشير إلى ضرورة الإجراءات التي تهدف إلى تجنب تعريض الآخرين في المجتمع، ويمكن تلخيص هذه الإجراءات بما يلي:
1- نصائح السفر:
نصحت منظمة الصحة العالمية ومركز التحكم بالمرضcenters for disease control (CDC) بما يلي:
أ- تأجيل السفر (عدا الاضطراري) إلى الأماكن الموبوءة طوال فترة الجائحة.
ب- تحذير المسافرين بتجنب المستشفيات والأماكن الأخرى التي ربما نُقل مرضى السارس إليها مع حمل وسائل الوقاية الشخصية كالكمامات والمناديل المبللة بالكحول.
ج- وزعت في أثناء الجائحة في الولايات المتحدة الأمريكية بطاقات للقادمين من عدد من الدول تبين أعراض السارس وتنصح المسافرين بمراقبة هذه الأعراض مدة 10 أيام كما نشرت التعليمات الخاصة بنظافة الطائرات وكيفية إخلاء المسافرين المرضى في أثناء الرحلات الجوية.
2- التحكم بالخمج:
اتخذ العديد من البلدان إجراءات خاصة منها إغلاق أماكن التجمعات كالمدارس والنوادي وبعض المستشفيات، وخصصت أماكن للعزل بهدف إيقاف انتشار الوباء، كما اختار بعض الأفراد ارتداء الكمامات في شوارع هونغ كونغ بالرغم من عدم دراسة فائدة هذا الإجراء.
3- الاستشفاء:
ينبغي عزل المرضى في غرف ذات ضغط سلبي.
أما بالنسبة إلى الجهاز التمريضي والطبي فإنه يجب:
أ- ارتداء الكمامات ويفضل أن تكون من نوع N-95 لمنع عدوى المرض من خلال القطيرات الصادرة عن الجهاز التنفسي للمريض والمحمولة بالهواء، كما يجب ارتداء الأقنعة والقفازات والرداء الخارجي لمنع انتقال العدوى بالتماس (الشكل4).
ب- استبعاد عناصر التمريض الذين تبدو فيهم الحمى أو أعراض تنفسية أو كلاهما خلال 10 أيام من التعرض لمريض مصاب بالسارس، ولمدة 10 أيام بعد زوال الحمى والأعراض التنفسية.
ج- تثقيف الجهاز التمريضي جيداً حول إجراءات التحكم بالخمج.
4- الاحتياطات في المجتمع:
ينصح بالتزام المرضى المشتبه بإصابتهم بالسارس بيوتهم مدة 10 أيام بعد زوال الحمى والأعراض التنفسية، وعدم مغادرة المنزل لأي سبب كان باستثناء الحاجة إلى الاستشفاء، ويجب على مخالطي المرضى والمعتنين بهم في البيوت التزام غسل الأيدي جيداً وتكرار ذلك مع ارتداء القفازات حين التعامل مع سوائل البدن، وعدم استخدام أوعية المرضى وأسرتهم من دون غسلها غسلاً جيداً مع استخدام الكمامات سواء من قبل المريض أم من قبل مخالطيه في حال التماس القريب مع مريض السارس، ويمكن للمخالطين مغادرة المنزل ما لم تظهر فيهم الأعراض.
- التصني٠: جهاز التنفس - النوع : جهاز التنفس - المجلد : المجلد الرابع، طبعة 2010، دمشق - رقم Ø§Ù„ØµÙØØ© ضمن المجلد : 56 مشاركة :




