آفات الرئة الجراحية
افات ريه جراحيه
surgical lung lesions - lésions pulmonaires chirurgicales
بسام درويش
أمراض الطرق الهوائية الكبيرة (الرغامى)
استرواح الصدر العفوي (الريح الصدرية العفوية)
تشمل آفات الرئة الجراحية عدة مجموعات من الأمراض هي:
1- آفات الجهاز التنفسي الخلقية.
2- أمراض الطرق الهوائية الكبيرة.
3- الريح الصدرية العفوية.
4- أورام جدار الصدر.
5- رضوض الصدر.
المجموعة الأولى
تتضمن آفات الجهاز التنفسي الخلقية :congenital lesions of the respiratory system تشوهات جدار الصدر، وآفات الرئة الخلقية. ويذكر من تشوهات جدار الصدر الصدر الزورقي pectus excavatum، والصدر الحمامي pectus carinatum. ويذكر من آفات الرئة الولادية: النفاخ الفصي الولادي congenital lobar emphysema، والتوشظ (الانحجاز) الرئوي pulmonary sequestration، والكيسات القصبية bronchogenic cysts.
1- الصدر الزورقي:
![]() | ![]() |
الشكل (1-أ) تشوه جدار الصدر بشكل صدر زورقي، يظهر غؤور خلفي لأسفل القص والغضاريف الضلعية | الشكل (1-ب) يظهر التصوير الطبقي المحوري هذا الانخساف بوضوح |
هو انضغاط القص والغضاريف الضلعية وغؤورها خلقياً ويسمى أيضاً الصدر القمعي funnel breast، ويعد أكثر تشوهات جدار الصدر شيوعاً. وليس لهذه الآفة أعراض ذات شأن سوى التشوه الظاهر (الشكل 1).
تعتمد الطريقة التقليدية في الإصلاح الجراحي على خزع عظم القص عند بداية انخسافه ورفعه للأمام مع الغضاريف المنخسفة. وتجرى هذه العملية في سن البلوغ، ولا تجرى للأطفال تلافياً من حدوث تليف منطقة العمل الجراحي وعدم نمو الصدر المساير لنمو الطفل.
وظهرت حديثاً تقنية نوس Nuss technique التي تعتمد على رفع القص والغضاريف المنخسفة فوق صفيحة خاصة تعلق على الأضلاع الجانبية مع خزع القص والغضاريف خزعاً بسيطاً. تمتاز هذه التقنية بأنها تجرى في سني الطفولة من دون الخوف من التليف الصدري المعوق للنمو، ويفضل إجراؤها في سن مبكرة قبل دخول المدرسة كي لا تتأثر نفسية الطفل من وجود التشوه.
2- الصدر الحَمامي:
هو نتوء القص نحو الأمام، وهو أقل انتشاراً من الصدر الزورقي. يعتمد إصلاحه الجراحي على خزع القص تحت العويكشة وخسفه للخلف وإعادة تثبيته بالعويكشة بهذا الوضع الجديد.
3- النفاخ الفصي الولادي:
هو فرط تهوية فصي معزول، يصيب الفص العلوي الأيمن خاصة. يتظاهر منذ الطفولة بزيادة عدد مرات التنفس وأزيز منذ الولادة. ويظهر الفحص السريري انحراف الرغامى والمنصف للجهة المقابلة مع خفوت الأصوات التنفسية في جهة الإصابة وفرط وضوح. وتبدي صورة الصدر والتصوير المقطعي نفاخاً فصياً مع انخماص الفص المجاور وانحراف المنصف. يعالج باستئصال الفص الرئوي المصاب lobectomy.
4- التوشظ الرئوي (أو التشظي الرئوي):
هو قطعة رئوية أو فص رئوي ليس له اتصال قصبي نظامي مع الشجرة الرغامية القصبية. وتأتيه التروية الشريانية من الأوعية الجهازية (الأبهر البطني غالباً)، ويصب العود الوريدي إما في الأوردة الجهازية وإما الرئوية. يتوضع عادة في الفص السفلي الأيسر، ويتظاهر بخمج رئوي متكرر وقد يترافق ونفث الدم. يوضع التشخيص بالتصوير المقطعي المحوري.
والعلاج استئصال الشدفة أو الفص المصاب. ويجب الانتباه للشريان الشاذ في أثناء التسليخ وربطه بدقة ثم قصه، وعدم قطعه بالشد الذي قد يؤدي إلى نزف شديد قد يكون تحت الحجاب الحاجز.
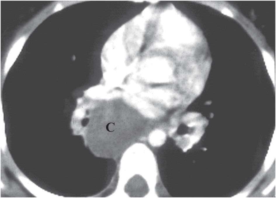
5- الكيسات القصبية:
أكثر ما تتوضع الكيسات القصبية في المنصف الخلفي بمحاذاة المهماز الرغامي، وقلما تتوضع في السرة الرئوية أو في المتن الرئوي، وتبقى الكيسات المنصفية لاعرضية وتكشف اتفاقاً في الكهول، ولكنها قد تضغط الطرق الهوائية في الأطفال. يوضع التشخيص بالتصوير المقطعي المحوري. تعالج الكيسات المنصفية والسرية باستئصال الكيسة فقط، أما المتوضعة في المتن الرئوي فتعالج باستئصال الشدفة أو الفص المصاب (الشكل 2).
![]() | ![]() |
الشكل (2 - أ) يظهر ترسيمياً توضع الكيسات القصبية الخلقية في المنصف الخلفي أو في السرة الرئوية أو في المتن الرئوي | الشكل (2 - ب) يُظهر التصوير الطبقي المحوري للصدر الكيسة القصبية المنصفية خلف القلب أسفل التفرغ الرغامي |
المجموعة الثانية
أمراض الطرق الهوائية الكبيرة (الرغامى)
يذكر من أمراض الطرق الهوائية الكبيرة (الرغامى) Upper Airway (Tracheal) Diseases تضيق الرغامى، واستنشاق الأجسام الأجنبية.
1- تضيق الرغامى (الشكل 3):
تؤدي معظم أمراض الرغامى إلى تضيقها، ويعد تضيق الرغامى بأي سبب حالة سريرية خطرة تؤدي إلى الاختناق إذا كان التضيق شديداً ولم يعالج بنجاح. كما أن استنشاق جسم أجنبي إلى الرغامى والقصبات يسبب انسداداً جزئياً أو تاماً في أحد أجزاء الشجرة الرغامية القصبية .
![]() | ![]() |
الشكل (3 - أ) صورة جانبية للرغامى تظهر تضيق الرغامى لمريض وضع على التنفس الاصطناعي مدة أسبوعين بسبب رض دماغي خلف بعده هذا التضيق | الشكل (3 - ب) صورة طبقية محورية تظهر ورماً منصفياً مرتشحاً في الرغامى ومضيقاً لها بشدة، ويشكو المريض من ضيق نفس وصرير ويحتاج إلى توسيع التضيق ووضع شبكة «ستنت» معدنية داخل الرغامى المتضيقة لتأمين طريق هوائي مناسب |
أسباب التضيقات الرغامية: تعدّ تضيقات الرغامى الندبية عقب تنبيب رغامي طويل الأمد أكثر أسباب تضيقاتها، تليه التضيقات عقب الرضوض بما فيها الجراحية (عقب خزع رغامى مثلاً) أو عقب الحروق، ثم تأتي التضيقات الورمية وعلى رأسها ارتشاح الرغامى بورم مجاور كسرطان المري أو الدرقية أو الرئة أو غيرها، وتأتي أخيراً الأورام الأولية الخبيثة وهي نادرة جداً.
وتتضمن أورام الرغامى الأولية الخبيثة السرطانة حرشفية الخلايا squamous cell carcinoma والسرطانة الغدانية الكيسية adenoid cystic carcinoma، تصيب الأولى الكهول المدخنين وتتظاهر بزلة تنفسية ونفث دم، وتظهر الثانية أيضاً في الكهول بزلة تنفسية بطيئة التطور، ولا علاقة لها بالتدخين.
التشخيص: تعد الزلة التنفسية أهم أعراض تضيق الرغامى. ويظهر الصوت الضباحي والصرير stridor وعلامات السحب فوق الترقوتين وبين الأضلاع. ويتأهب المرضى لحدوث ذات الرئة المتكررة.
ومع أن التصوير المقطعي المحوري والتصوير بالرنين المغنطيسي MRI وسيلتان تشخيصيتان مميزتان للتضيق يبقى تنظير الرغامى الاستقصاء المنتخب هنا؛ فهو يظهر مكان التضيق وشدته ونوعه النسجي (بأخذ خزعة منه)، ويظهر حالة الرغامى فوقه وتحته، كما يستطيع التنظير سحب المفرزات المحتبسة وتوسيع التضيق إن لزم، واستخراج الجسم الأجنبي إن وجد.
علاج أمراض الرغامى وتدبير تضيقاتها: يعد استئصال منطقة التضيق الرغامي القصبي جراحياً وإعادة المفاغرة بين الجزأين السليمين أنجع تدبير علاجي على الإطلاق لهذه الآفة. وقد أصبحت نسبة نجاح هذه العمليات كبيرة ومضاعفاتها ضئيلة. ولعدم إمكان إجراء هذا العلاج دائماً كان لابد من بدائل علاجية غير جراحية، وتتضمن هذه البدائل العلاجية: توسيع التضيق، وفتح التضيق بالليزر laser therapy، والمعالجة بالتبريد cryotherapy، والمعالجة بالتخثير الكهربائي coagulation-therapy، إضافة إلى المعالجة الشعاعية والكيميائية radiation and chemotherapy عند الإصابة بالأورام الخبيثة مع العمل الجراحي أو من دونه.
وأكثر هذه الطرق شيوعاً في الحالات المضادة للاستطباب الجراحي هي المعالجة بالليزر ووضع الشبكات داخل الرغامى والقصبات للمحافظة على لمعتها مفتوحة (الشكل 4).
![]() |
الشكل (4) أ- شبكة رغامية سلكونية بشكل T توضع في الرغامى المتضيقة عبر فغر الرغامى، ب - شبكة رغامية من نوع البوليفلكس Polyflex الرقيقة والمرنة |
2- استنشاق الأجسام الأجنبية:
تستنشق الأجسام الأجنبية للطرق الهوائية aspiration of the foreign bodies to the airway في الأطفال بنسبة 85% من الحالات. وتكون معظم الأجسام الأجنبية منتجات نباتية إضافة إلى الأشياء الصغيرة التي تكون بمتناول أيديهم. وإذا حدثت في الكهول فغالباً ما يرافقها سوء وظيفة عصبية، أو رض سني، أو استنشاق جزء من لقمة كبيرة، أو بسبب الكحولية.
القصة المرضية: تتصف لحظة الاستنشاق بالشَرَق choking، وهو حدوث سعال تشنجي شديد جداً يشبه السعال الديكي، ثم تليها مرحلة هدوء لاعرضية، يستقر فيها الجسم الأجنبي وتخمد الأعراض إلى أن تظهر مرحلة المضاعفات، وفيها تظهر أعراض الانسداد القصبي والخمج الرئوي؛ وهي الحمى والسعال ونفث الدم وقد ينخمص فص رئوي أو تنخمص الرئة بكاملها وتحدث ذات الرئة. تحدث هذه المضاعفات في الأجسام النباتية أكثر مما تحدث في الأجسام المعدنية أو المصنوعة من اللدائن.
الفحص السريري: قد يسد الجسم الأجنبي الحنجرة أو الرغامى سداً كاملاًً ويسبب الاختناق asphyxiation. أويسبب عسر التصويت dysphonia والسعال الخناقي croupy cough، والصريرstridor والزلة التنفسية والأزيز wheezing. أما في انسداد القصبات فيعد الثلاثي: الأزيز والسعال ونقص دخول الهواء لإحدى الرئتين وصفياً لوجود الجسم الأجنبي فيها.
التظاهرات الشعاعية للأجسام الأجنبية المستنشقة: ظهور الجسم الأجنبي شعاعياً بسهولة إذا كان ظليلاً على الأشعة كالمعادن وغيرها.
أ- منظر الانتفاخ الفصي الموضع الناجم عن آلية الصمام وحيد الاتجاه (النفاخ الانسدادي obstructive emphysema).
ب- منظر انخماصي (الانخماص الانسدادي obstructive atelectasis). يظهر عندما تنسد القصبة، وأكثر ما يحدث في الانسداد بالأجسام الأجنبية العضوية.
العلاج:
استخراج الأجسام الأجنبية: يندر أن يكون استخراج الجسم الأجنبي حالة إسعافية إلا في الانسداد الكامل، وتطبق حينئذٍ طريقة همليش بضغط البطن القوي والمفاجئ (دسرة) Heimlich abdominal thrusts (الشكل 5). أما في انسداد الرغامى الجزئي أو انسداد القصبة أو في أي توضع في الشجرة القصبية فيستخرج الجسم الأجنبي الساد تنظيرياً.
![]() | ![]() |
الشكل (5) مناورة هايمليش؛ طريقة إنقاذ المختنق بجسم أجنبي ساد في الحنجرة أو في الرغامى، وتعتمد على ضغط البطن بشدة فائقة لتدفع الحجاب الحاجز للأعلى فيقذف الهواء الخارج من الرئتين الجسمَ الأجنبي العالق في الحنجرة أو في الرغامى. | |
المجموعة الثالثة
استرواح الصدر العفوي (الريح الصدرية العفوية)
استرواح الصدر :spontaneous pneumothorax هو تجمع كمية من الهواء الحر داخل جوف الجنب، ينجم عن مرور الهواء من الأسناخ الرئوية ذات الضغط الأعلى إلى جوف الجنب ذي الضغط الأخفض؛ فتنخمص الرئة وتنقص معها عملية الأكسجة التي قد تصل حتى القصور التنفسي الحاد.
يكون استرواح الصدر جزئياً partial إذا شغل أقل من 30% من حجم جوف الجنب، ويكون شاملاً أو تاماً total إذا شغل كامل جوف الجنب، ويسمى موتراً أو صمامياً tension pneumothorax حينما يتوتر ويضغط الرئة والمنصف فيزيحه إلى الجهة المقابلة ويضغط الحجاب فيسطحه أو يقعره. ينجم الاسترواح الموتر عن دخول الهواء من الرئة إلى جوف الجنب وعدم خروجه بسبب الصمام وحيد الاتجاه، وهي حالة إسعافية خطرة بسبب انضغاط جميع عناصر المنصف ولاسيما الأوردة والأذينتين ذات الضغط المنخفض، فينقص العود الوريدي إلى القلب وتحدث الصدمة القبلية preload shock إضافة إلى أعراض القصور التنفسي الحاد. وتتطلب هذه الحالة تدبيراً إسعافياً عاجلاً ببزل الجنب أولاً ثم تفجير الصدر.
أقسام استرواح الصدر العفوي: يكون استرواح الصدر العفوي إما أولياً primary وإما ثانوياً secondary. وينجم الأولي عن انبثاق فقاعة هوائية أو كيسة هوائية متوضعة على سطح الرئة على الجنب، وهي ولادية، وتكون غالباً متعددة تتوضع في قمتي الرئتين وقمة الفص السفلي.
أما الثانوي فينجم عن مرض رئوي موجود أصلاً، ويأتي في مقدمة هذه الأمراض: آفات الرئة الانسدادية المزمنة، والأخماج الرئوية، والأورام الأولية والانتقالية إلى الرئة، وبعض الأدواء الاندخالية والمناعية كداء كثرة المنسجات histiocytosis. كما يوجد شكل خاص ونادر يسمى الاسترواح الطمثي الدوري catamenial pneumothorax يرافق الطمث في الإناث.
الأعراض والعلامات السريرية والتشخيص: يحدث استرواح الصدر العفوي في الذكور أكثر من الإناث، ولاسيما المدخنين من ذوي القامات الطويلة النحيفة، وفي سن الشباب، وقد يكون ثنائي الجانب في 10% من الحالات.
تتجلى الصورة السريرية للمرض بثلاثة أعراض هي الألم والسعال والزلة، ومن النادر أن تصل إلى درجة استرواح الصدر الضاغط الخانق بتظاهراته الشديدة كتسرع النبض وهبوط الضغط والتعرق والزرقة والتهيج والزلة الشديدة وانتباج أوردة العنق.
يظهر الفحص السريري للمصابين متلازمة استرواحية مؤلفة من خفوت الأصوات التنفسية مع فرط وضوح (طبلية) بالقرع، وغياب الاهتزازات الصوتية.
ويعتمد التشخيص على صورة الصدر البسيطة التي تظهر الاسترواح ودرجته (الشكل 6).
![]() | ![]() | ![]() |
الشكل (6 - أ) صورة صدر بسيطة تظهر استرواح صدر أيسر ضاغط ، ويظهر انحراف المنصف للأيمن وتقعر الحجاب الحاجز. | الشكل (6 - ب) صورة ترسيمية تظهر انخماص الرئة اليمنى بشدة باسترواح الصدر الموتر وانحراف المنصف للجهة المقابلة وتزوي الأجوف السفلي وانضغاط العود الوريدي مما يخفض النتاج القلبي مسبباً صدمة قبلية preload shock. | الشكل (6 - ج) صورة تظهر تفجير الصدر تحت الماء في زجاجة خاصة. ويكون التفجير من داخل الصدر إلى ما تحت الماء كتيماً، وتوضع الزجاجة منخفضة على الأقل 50 سم تحت مستوى صدر المريض منعاً لعودة محتويات الزجاجة إلى داخل الصدر مع الشهيق الشديد |
التدبير: تهدف معالجة استرواح الصدر العفوي إلى إعادة انتشار الرئة لملء الجوف الجنبي. ويكون ذلك بعدة طرائق:
1- بزل الجنب :thoracocentesis ويجرى إسعافياً في استرواح الصدر الموتر - لمنع الضغط ومعاكسة الصدمة - ريثما ينقل المريض إلى أقرب مستشفى يجرى فيه تفجير صدر إسعافي. ويجرى البزل على خط منتصف الترقوة عند الحافة العلوية للضلع الثالثة أي عبر الورب الثاني بوساطة قنية من اللدائن.
2- تفجير الصدر بالأنبوب chest tube drainage أو ما يسمى tube thoracostomy: ويعد الإجراء العلاجي النوعي والشائع لاسترواح الصدر.
3- التدبير الجراحي: يستطب في الحالات التالية: إخفاق العلاج السابق، واسترواح الصدر الناكس، والاسترواح الضاغط الموتر، ووجود فقاعات كبيرة أو كيسات هوائية في الرئة، واسترواح الصدر مع رئة وحيدة، والاسترواح ثنائي الجانب، واسترواح الصدر في العاملين بمهن خطرة كالطيارين والغواصين والبحارة، إما لبعدهم عن الإسعاف الطبي وإما خوفاً من تعريض من معهم للخطر، كما يستطب في استرواح الصدر الثانوي الناجم عن مرض رئوي يعالج جراحياً.
ويتضمن التدبير الجراحي في استرواح الصدر العفوي الأولي استئصال الفقاعات أو الكيسات الرئوية، وتقشير الجنب تقشيراً جزئياً قمياً apical pleurectomy بقصد التصاق وريقتي الجنب ومنع النكس.
وتستخدم حالياً تقنية الجراحة الصدرية التنظيرية المساعدة بالڤيديو video- assisted thoracoscopic surgery (VATS) لتدبير استرواح الصدر العفوي، ونتائجها باهرة تفضل نتائج فتح الصدر التقليدي thoracotomy؛ وتعد لذلك التقنية المنتخبة لعلاج استرواح الصدر جراحياً.
المجموعة الرابعة
تتضمن أورام جدار الصدر أنواعاً مختلفة من أدواء العظم والنسج الرخوة الحميدة والخبيثة ويلحق بها متلازمة مخرج الصدر، وتصنف هذه الأورام بحسب درجة شيوعها إلى:
1- آفات لا تنشئية حميدة: وهي آفات قليلة نسبياً: مثل الكيسات العدارية والخراجات الباردة والتليفات.
2- أورام أولية حميدة وخبيثة في الصقل العظمي والنسج الرخوة المكونة لجدار الصدر.
3- الانتقالات من أورام جسمية بعيدة، وهي أكثرها شيوعاً.
الأعراض والعلامات والتشخيص: تكشف القصة المرضية والفحص السريري كتلة بطيئة النمو قاسية ملتصقة بجدار الصدر، يتفاوت ألمها، ربما لا تظهر الكتلة عيانياً ولا تجس وتتظاهر بألم في جدار الصدر فحسب وتكشف شعاعياً.
ويعتمد التشخيص على:
1- قصة دقيقة وفحص فيزيائي متقن.
2- دراسة شعاعية وافية، وتفيد الاستقصاءات الشعاعية (صورة الصدر البسيطة والتصوير المقطعي المحوري) في تأكيد وجود الورم الذي يتظاهر بكتلة صلدة، ويظهر التآكل العظمي في الإصابة العظمية.
3- تشخيص نسجي: قد تفيد الرشافة بالإبرة عبر الجلد fine needle aspiration (FNA)، ولكن تفضل الخزعة النسجية بالإبرة fine needle biopsy (FNB) على الرشافة الخلوية. وتفضل الخزعة المفتوحة open biopsy على الخزعة بالإبرة كلما أمكن ذلك. وتكون هذه الخزعة المفتوحة استئصالية excisional في الأورام الصغيرة، وبضعية incisional في الأورام الكبيرة (الشكل 7).
![]() |
الشكل (7) أ - تصوير طبقي محوري للصدر يظهر ورماً عفلياً غضروفياً chondrosarcoma في القص. ب - صورة فوتوغرافية لعملية استئصال ورم في جدار الصدر. ويرمم النقص المادي في جدار الصدر برقعة جراحية مقساة بسمنت طبي قاسٍ يوفر قساوة الجدار ويعوض النقص المادي فيه. |
العلاج: استئصال الورم استئصالاً واسعاً مع هامش أمان كافٍ يكون عادة نحو 4سم، كما يُصنَّع جدار الصدر لتغطية النقص المادي الحادث فيه لضمان كتمان هذا الجدار وثباته الضروريين لإتمام العملية التنفسية.
متلازمة مخرج الصدر :thoracic outlet syndrome
متلازمة شائعة تنجم عن انضغاط الأوعية تحت الترقوة والضفيرة العضدية في الفرجة العلوية للصدر بين الترقوة والضلع الأولى ومجاوراتهما، ولها تظاهرات مختلفة ودرجات متفاوتة وأسباب متعددة؛ لذا لها أسماء عديدة.
فقد تكون الضلع الرقبية مع رباطها السبب في ذلك، أو يكون السبب تشوه الضلع الأولى وارتفاعها، أو فرط نمو إحدى العضلات الأخمعية scalene. أو كسراً مشوهاً في الترقوة، وكل ما يضيق الفرجة المذكورة .
ومن تظاهراتها: الألم والخدر والنمل في الطرف العلوي وعلى مسير الجذور السفلية للضفيرة العضدية، وقد يظهر ضعف في الطرف العلوي وظاهرة رينو Raynaud’s phenomenon مع تغيرات حرارة اليد ولونها، وقد يغيب النبض في الطرف. وأكثر ما تظهر هذه الأعراض والعلامات حين رفع الطرف بوضعية التحية أو وضعية ارتداء المعطف. ويتأكد التشخيص برسم الأوعية بالصدى (الإيكو) دوبلر وبتخطيط الأعصاب بعد نفي الأمراض العصبية والوعائية الأخرى. وتعالج معظم الحالات معالجة عرضية ومعالجة فيزيائية، وعند إخفاقها يلجأ إلى المعالجة الجراحية التي تعتمد على استئصال الضلع الأولى مع الضلع الرقبية إن وجدت بمدخل إبطي، وهو بدوره يقطع كل العضلات الأخمعية والربط والالتصاقات ويحرر الحزمة الوعائية العصبية، ونتائج هذه المعالجة ممتازة.
المجموعة الخامسة
تنشأ من رض الصدر أذيات مختلفة تراوح من كسر ضلع بسيط إلى أذيات كبيرة في الأعضاء داخل الصدر. تؤدي هذه الأذيات الصدرية إلى وفاة 25% من المرضوضين. وبالمقابل فإن 85% من رضوض الصدر الواصلة إلى المستشفى تعالج بتفجير صدر فحسب.
العناية بالمريض المرضوض:
تتضمن العناية بالمريض المرضوض العناية به قبل وصوله إلى المستشفى وحين وصوله إليه، وكشف الأذيات المهددة للحياة وتدبيرها الأولي والنهائي، وتقييم الصدر السريري والشعاعي اللاحق، وكشف الأذيات الكامنة المهددة للحياة، ثم تشخيص كل الأذيات الصدرية وغير الصدرية وعلاجها، والتفكير بالمضاعفات والعقابيل التي يمكن أن تنجم عن رضوض الصدر وتشخيصها وعلاجها.
1- العناية بالمريض المرضوض قبل وصوله إلى المستشفى وحين وصوله:
تتضمن أولويات العناية بالمريض المرضوض ويرمز إليها بـ ABC التي تعني airway, breathing, circulation أي تأمين طرق هوائية سالكة، والمحافظة على تنفس جيد والدعم الدوراني، والسيطرة على النزف.
2- كشف الأذيات المهددة للحياة في الرض الصدري وعلاجها:
وتتضمن هذه الأذيات انسداد الطرق الهوائية، واسترواح الصدر الموتر، واسترواح الصدر المفتوح، والمصراع الصدري، وانصباب الجنب الدموي الغزير، والسطام التأموري.
أ- انسداد الطرق الهوائية :airway obstruction يتظاهر انسداد الطرق الهوائية بزلة تنفسية وزرقة وتعطشٍ للهواء وتسرع التنفس وسحب بين الأضلاع وفوق الترقوتين. وقد يكشف المسعف أوساخاً ومواد مقاءة في الفم. وقد يكون رجوع لسان المرضوض غائب الوعي للخلف هو سبب انسداد الطرق الهوائية؛ لذا يتضمن التدبير الأولي تنظيف الفم وسحب اللسان للأمام ورفع الفك السفلي وبسط الرأس ووضع قنية هوائية في الفم أو عبر الأنف. وقد يحتاج الأمر إلى وضع إبرة رغامية تحت الحنجرة لإنقاذ المريض المسدودة حنجرته، وقد يكون التدبير النهائي تنبيب الرغامى intratracheal tube أو خزعها tracheostomy لإيصال الأكسجين إلى الرئتين (الشكل 8).
![]() | ![]() |
الشكل (8 - أ) صورة ترسيمية تبين التقنيات البسيطة لتوفير طريق هوائي مفتوح بوساطة قنية فموية بلعومية أو أنفية بلعومية أو خزع رباط حنجري حلقي | الشكل (8 - ب) صورة ترسيمية توضح أشكال تمزقات الرغامى وطريقة التسريب الهوائي الغزير وحدوث استرواح المنصف والصدر |
ب- استرواح الصدر الموتر أو الضاغط أو الصمامي tension pneumothorax: ينتج استرواح الصدر الموتر من دخول الهواء إلى الجنب بطريق وحيدة الاتجاه من الرئة أو من القصبات أو من الهواء الجوي عبر جدار الصدر، محولاً الضغط الجنبي السلبي إلى ضغط إيجابي؛ فيخمص الرئة بشدة ويحرف المنصف للجهة المقابلة ويضغط العود الوريدي فيعوقه مما يخفض النتاج القلبي مسبباً صدمة قَبْلية preload shock.
ويشخص استرواح الصدر الموتر بالزلة التنفسية والزرقة والصدمة مع انتباج أوعية العنق وانحراف الرغامى للجهة المقابلة، ويكشف الفحص السريري وجود متلازمة استرواحية في الجهة نفسها. ويتضمن التدبير المنقذ للحياة وضع إبرة ثخينة في الورب الثاني على خط منتصف الترقوة في جهة الإصابة تصل إلى جوف الجنب فينقلب الاسترواح الموتر إلى استرواح غير موتر، ويزول الضغط الإيجابي ويزول التعويق الوريدي وتغيب الصدمة والزرقة. ويكون تفجير الصدر التدبير النهائي.
ج- استرواح الصدر المفتوح :open pneumothorax ينجم عن جرح واسع نافذ في جدار الصدر يتجاوز قطره ثلثي قطر الرغامى. وتنجم خطورته عن دخول الهواء وخروجه عبر هذا الجرح إلى الجنب مع حركتي الشهيق والزفير وعدم دخوله وخروجه عبر الرغامى، ومن ثم عدم تبادل الهواء بين الرئتين والهواء الجوي عبر الطرق الهوائية الاعتيادية، مما يؤدي إلى تحرك كامل المنصف يمنة ويسرة مع حركتي التنفس معوقاً العود الوريدي إلى القلب ومحدثاً الصدمة القبلية preload shock. تتظاهر الحالة بأعراض استرواح الصدر الموتر وعلاماته نفسها. ويتضمن التدبير المنقذ للحياة وضع ضماد كتيم أو وضع قفاز مفتوح من إحدى أصابعه بشكل صمام وحيد الاتجاه، أو على الأقل إغلاق الجرح بأي طريقة ممكنة مما يثبت المنصف ويزول التعويق الوريدي وتتحسن التهوية. ويكون التدبير النهائي بخياطة الجرح مع تفجير الصدر (الشكل 9).
![]() |
الشكل (9 - أ) صورة ترسيمية لآلية القصور التنفسي في استرواح الصدر المفتوح والمصراع الصدري. |
![]() |
الشكل (9 - ب) صورة ترسيمية تظهر تبادل الهواء بين الرئة في جهة الإصابة والرئة المقابلة مع حركات التنفس، وعدم تبادل الهواء مع الهواء الجوي عبر الرغامى |
د- المصراع الصدري (الصدر السائب) :flail chest هو حركة عجائبية لجزء من جدار الصدر مع حركات التنفس بغؤورها في أثناء الشهيق واتساعها في أثناء الزفير تنجم عن كسور ثلاث أضلاع أو أكثر كسراً مزدوجاً في مكان غير مغطى بلوح الكتف. وتنجم خطورته - كما في استرواح الصدر المفتوح - عن تبادل الهواء بين الرئتين عبر القصبتين الرئيستين وعدم تبادل الهواء بين الرئتين والهواء الجوي عبر الرغامى. ويتظاهر بأعراض القصور التنفسي (زلة تنفسية و تسرع تنفس وزرقة وتعطش للهواء) (الشكل 9).
يتضمن التدبير الإسعافي استلقاء المرضوض على المصراع أو وضع وسادة ضاغطة عليه، فيمنع تبادل الهواء بين الرئة الموافقة والرئة المقابلة وتتحسن التهوية في الرئتين. ويكون التدبير النهائي بالتنفس الاصطناعي أو باستجدال osteosynthesis الأضلاع المكسورة إذا لم يكن التنفس الاصطناعي متوافراً.
هـ- الانصباب الجنبي الغزير :massive hemothorax ينجم الانصباب الغزير عن تمزق وعاء كبير, ويتظاهر بالصدمة النزفية Hemorrhagic shock مع متلازمة انصبابية شاملة للصدر، ويتأكد التشخيص ببزل الجنب. ويكون التدبير الأولي بتفجير الصدر وتعويض الدم وفتح الصدر لإرقاء النزف.
و- السطام التأموري:pericardial tamponade ينجم السطام التأموري الحاد عن نزف حاد ضمن التأمور، وتنجم خطورته عن ضغط أجواف القلب ولاسيما الوريدية منها، مسببة صدمة قلبية cardiogenic shock.
يتظاهر بالزلة التنفسية والزرقة والصدمة وانتباج أوعية العنق وخفوت أصوات القلب وبالضغط التفاضلي العجائبي (هبوط الضغط الانقباضي 10ملم زئبق في أثناء الشهيق) وتكون الأصوات التنفسية طبيعية في الجهتين.
يتأكد التشخيص بارتفاع الضغط الوريدي المركزي CVP فوق 15ملم، وظهور الانصباب بفحص القلب بالصدى ضاغطاً الأجواف القلبية. ويتضمن التدبير الإسعافي بزل التأمور، والتدبير النهائي فتح الصدر وخياطة جرح القلب.
3- التقييم السريري والشعاعي للصدر في المستشفى:
يجرى هذا التقييم بدقة لتأكيد الأذيات المهددة للحياة سابقة الذكر، ولكشف الأذيات الكامنة المهددة للحياة أيضاً، وكشف كل الأذيات الصدرية وغير الصدرية، ووضع أولويات العلاج الجراحي التي غالباً ما تكون إرقاء نزف داخلي. ويتضمن الفحص السريري فحصاً كاملاً يتناول العلامات الحيوية والتأمل والجس والقرع والإصغاء، و تعد صورة الصدر البسيطة إجراءاً مهماً؛ وهي تكشف كسور الأضلاع والفقرات والقص واسترواح الصدر والانصباب الجنبي، وموضع الأنبوب الأنفي المعدي (الذي يوضع قبل إجراء الصورة) ومكان الأنبوب الرغامي فيما لو كان المريض منبباً، وتكدم الرئة، واسترواح المنصف pneumomediastinum، وتمزق الحجاب الحاجز (توضع أحشاء البطن بالصدر). كما تكشف الصورة المقذوف الناري والأجسام الأجنبية في الصدر، وتُظهر المنصف العريض widened mediastinum دالاً على تمزق وعاء صدري كبير، كما تكشف انحراف المنصف.
الأذيات الكامنة المهددة للحياة:potential life-threatening injuries هي أذيات خطرة لا تكشف منذ البداية أو تتأخر بالحدوث. وهي الرض الرئوي pulmonary contusion، وتمزق الرغامى والقصبات الكبيرة، وتمزق الأبهر، وتمزق الحجاب الحاجز، وتكدم العضلة القلبية myocardial contusion.
4- تشخيص الأذيات الصدرية وعلاجها:
تقسم رضوح الصدر chest trauma إلى شكلين رئيسين هما:
- الرضوح الكليلة أو المغلقة :blunt chest trauma وتنجم عن حوادث السير في 75% من الحالات، كما تنجم عن السقوط وحوادث العمل وغيرها.
- الرضوح النافذة :penetrating chest trauma وتحدث بالسكاكين وبالطلق الناري وغيرها.
وتصيب هذه الرضوح والجروح جدار الصدر ومحتوياته على الشكل التالي:
أ- رضوح جدار الصدر :chest wall trauma وتتضمن:
- كسور الأضلاع: وهي أكثر أذيات الرض الصدري شيوعاً، تتظاهر بألم شديد موضع وتحدد الحركات التنفسية، وبالفرقعة العظمية crepitus. وتشخّص هذه الكسور بصورة الصدر. يؤدي الألم إلى تحدد الحركات التنفسية وتثبيط السعال، فتغرق القصبات بالمفرزات ويحدث الانخماص الرئوي pulmonary atelectasis وربما حدثت ذات الرئة. وينجم عن ذلك قصور تنفسي يمكن الوقاية منه بإعطاء المسكنات القوية الجهازية والموضعية. ويستطب التداخل الجراحي واستجدال الكسور الضلعية المنخسفة بشدة.
- كسور القص :sternal fractures وهي نادرة تنجم عن اصطدام بمقود السيارة في حوادث السير أو ما يشابهه، ويرافقها في 20% من الحالات أذية قلبية.
يعالج كسر القص معالجة محافظة بالمسكنات القوية، ويستطب التداخل الجراحي واستجدال كسور القص المفتوحة والكسور المتبدلة بشدة.
ب- رضوض الرئة والجنب Lung and Pleura Trauma
تشمل استرواح الصدر، وانصباب الجنب الدموي، والرض الرئوي.
![]() |
الشكل (10 - أ) صورة بسيطة للصدر تظهر توضع الأمعاء في الجنب الأيسر |
![]() |
الشكل (10 - ب) صورة ترسيمية لفتق حجابي رضي أيسر مع انفتاق أحشاء البطن للصدر |
- استرواح الصدر المغلق: ينجم هذا النوع من الاسترواح عن تمزق الرئة بحافة ضلع مكسورة، ويتظاهر بالألم الصدري وبالزلة التنفسية وبالمتلازمة الاسترواحية، وتؤكد صورة الصدر التشخيص. يعالج بتفجير الصدر، ويستطب فتح الصدر إذا أزمن الاسترواح ولم تنتشر الرئة وكان التسريب الهوائي شديداً، وذلك بخياطة تمزق الرئة أو تمزق القصبات.
- انصباب الجنب الدموي (تدمي الجنبة) hemothorax: يتظاهر الانصباب الجنبي الدموي بالألم والزلة التنفسية وأعراض نقص الحجم وعلاماته مع متلازمة انصبابية، وتؤكد صورة الصدر التشخيص. يدبر الانصباب بتفجير الصدر مع مراقبة كمية النزف وتعويض الدم النازف. ويستطب التداخل الجراحي في انصباب الجنب الدموي في الحالات التالية:
- انفراغ أكثر من 1000مل دم دفعة واحدة حين وضع مفجر الصدر.
- استمرار انفراغ أكثر من 100مل بالساعة لأكثر من 4 ساعات متتالية.
- وجود خثرات دموية متجمعة بالجنب لتفريغها، وتستخدم حديثاً تقنية تنظير الصدر الجراحي المساند بالڤيديو video- assisted thoracoscopic surgery (VATS) لإنجاز هذه المهمة بنجاح كبير.
- الرض الرئوي:pulmonary contusion يعد الرض الرئوي أذية خطرة، بسبب ارتشاح الدم والسوائل البروتينية ضمن النسيج الرئوي مسبباً تحويلة shunt يمنى يسرى مع نقص أكسجة hypoxia. ويظهر شعاعياً بشكل ارتشاحات رئوية سنخية بدرجات مختلفة. يعالج معالجة محافظة بالصادات وإعطاء الأوكسجين، وقد يحتاج الأمر إلى إجراء تنفس اصطناعي.
ج- رضوح الرغامى والقصبات الكبيرة:
أكثر ما تصاب الرغامى بالرض مع رضوض العنق، أما القصبات الكبيرة فتنجم أذيتها عن رض صدر شديد. تتظاهر هذه الحالات بزلة تنفسية شديدة وبتجمع هوائي شديد تحت الجلد، ووهط دوراني واسترواح منصفي واسترواح صدري معند أحياناً. ويتأكد التشخيص بتنظير الرغامى والقصبات. ويعد التدبير إسعافياً بتفجير استرواح المنصف وبخزع الرغامى أحياناً، ويتضمن التدبير النهائي الترميم الجراحي للأذية الرغامية والقصبية.
د - رضوح القلب والأوعية الكبيرة:
- رضوض القلب: تقدر بنحو (5%) من أسباب وفيات الرضوض المغلقة، ورضوض القلب النافذة أكثر شيوعاً من المغلقة. وتعالج علاجاً محافظاً أو جراحياً بحسب الأذية.
- أذيات الأوعية الكبيرة: وعلى رأسها أذية الأبهر وهي أذيات خطرة تسبب 15% من الوفيات. يحدث تمزق الأبهر مرافقاً للأذيات الصدرية الشديدة، ويتظاهر بوهط دوراني مع زيادة عرض المنصف. ويتأكد التشخيص بالتصوير الوعائي الظليل أو بالمرنان، والعلاج جراحي إسعافي.
هـ - تمزق الحجاب الحاجز:
ينجم تمزق الحجاب الحاجز عن ارتفاع الضغط المفاجئ داخل البطن نتيجة الرض؛ فتنفتق أحشاء البطن إلى الصدر، ويتوضع التمزق في الأيسر أكثر من الأيمن، ويشترك وإصابة حشوية بطنية. أو أن التمزق ينجم عن الجروح الطاعنة والطلق الناري النافذ إلى الصدر التي يمكن أن تتوضع جروحها الخارجية بين مستوى حلمتي الثدي والسرة. وهذه الجروح الحجابية أكثر شيوعاً من الرضوض الكليلة.
وأذيات الحجاب صعبة التشخيص ويميز منها شكلان: التمزقات الشديدة الحادة والتمزقات البسيطة المزمنة.
- تمزق الحجاب الحاد: يتظاهر بزلة تنفسية ووهط دوراني ومتلازمة انصبابية في الصدر، وقد تسمع أصوات الأمعاء بالصدر، وقد يكشف التمزق اتفاقاً في أثناء فتح البطن. وعند الشك بالتمزق يؤكد التشخيص بتنظير الصدر.
يعالج تمزق الحجاب الحاد علاجاً إسعافياً بالتداخل عبر البطن laparotomy فترد الأحشاء البطنية المنفتقة، ويخاط الحجاب المتمزق، وترمم الأذيات الحشوية البطنية المرافقة، ويفجر الصدر.
- تمزقات الحجاب المزمنة أو فتق الحجاب المزمن :chronic diaphragm hernia تنجم هذة التمزقات عن جروح طاعنة صغيرة، لكن فرق الضغط بين البطن والصدر يكبّر فوهة التمزق تدريجياً، ويدفع أحشاء البطن تدريجياً إلى الصدر. وقد يتظاهر بأعراض غصص أو بأعراض اختناق الأحشاء المنفتقة، ويتظاهر الفتق الحجابي المختنق بقصور تنفسي بسبب الانخماص الرئوي فوقه وبأعراض انسداد معوي. وعند الشك يؤكد التشخيص بتنظير الصدر thoracoscopy أو تنظير البطن laparoscopy. ويكون التدبير عاجلاً بالتداخل الجراحي عن طريق الصدر لرد الأحشاء المنفتقة وترميم الفوهة الحجابية (الشكل 10).
و- تمزق المريء :esophageal rupture
تندر تمزقات المريء الناجمة عن رضوض الصدر والعنق، وتنجم معظم تمزقاته عن التنظير الهضمي وتوسيع المريء. وتمزق المريء حالة خطرة جداً تؤدي إلى التهاب المنصف المميت، وتتلخص آلية التهاب المنصف بانسكاب اللعاب الحاوي على الجراثيم والإنزيمات الهاضمة، ومفرزات المعدة الحاوية أيضاً على الإنزيمات الهاضمة والحمض إلى المنصف وحدوث التهاب منصف كيميائي جرثومي مميت.
يتظاهر تمزق المريء والتهاب المنصف عموماً بالألم الصدري أو الرقبي والزلة التنفسية والحمى وانصباب الهواء تحت الجلد subcutaneous emphysema وبالصدمة الدورانية ثم الخمجية. وتظهر صورة المريء الظليل بالمواد اليودية التسريب خارج المريئي. وقد يحتاج الأمر إلى تنظير مريء لتأكيد التشخيص. وتعالج الحالة علاجاً إسعافياً لإنقاذ الحياة يتضمن ما يلي:
- تحضير المريض المصاب للعمل الجراحي: وذلك بوضعه على حمية مطلقة وسحب مفرزات الفم على نحو دائم، وتطهير الفم والأسنان، وتعويض السوائل وإعطاء الصادات واسعة الطيف وريدياً. والبدء بالتغذية الوريدية المفرطة، أو إجراء تفميم معدة أو صائم.
- ويتضمن التداخل الجراحي رتق تمزق المريء إذا كان حديثاً أو تفميمه خارجاً، ومن ثم تفجير العنق والمنصف، أو استئصال المريء المتهتك وتصنيعه بالمعدة أو بالقولون. ونسبة الخطورة في هذا الإجراء عالية.
ز- أذية القناة الصدرية :thoracic duct injury
هي إصابة نادرة تنجم عن فرط بسط العمود الفقري، يؤدي تمزق القناة تحت مستوى الفقرتين الظهريتين الخامسة والسادسة إلى انصباب جنبي كيلوسي chylothorax أيمن، ويؤدي تمزقها فوق هذا المستوى إلى انصباب كيلوسي أيسر.
تعالج معظم هذه الأذيات معالجة محافظة بتفجير الصدر واقتصار التغذية على الدسم قصيرة السلسلة أو التغذية الوريدية المفرطة مع الحمية المطلقة، وتربط القناة جراحياً إذا أخفق العلاج المحافظ، ولتقنية الجراحة الصدرية التنظيرية المساعدة بالڤيديو (VATS)شأن كبير هنا.
جروح الصدر النافذة :penetrating chest trauma
تحدث جروح الصدر النافذة أذيات رضوض الصدر المغلقة نفسها، لكن الكسور الضلعية فيها أقل من السابقة. وتكون أذيات السكاكين أقل ضرراً من الطلق الناري، ويشير موقع جرح الصدر إلى مكان الأذية الحشوية في الطعنات، ويدل مسير المقذوف إلى مكان الأذية الحشوية وشدتها.
ويجب التنويه إلى الصمة المقذوفية bullet embolism التي تدخل أجواف القلب وتسير داخل الشرايين الخارجة من القلب وتتوضع في أحد تفرعاتها، وتعالج باستخراجها. وقد تحتاج الجروح النافذة إلى فتح التأمور وخياطة جرح جوف القلب (الشكل 11).
![]() | ![]() |
الشكل (11) شاب تعرض لطلق ناري من الخلف نفذ إلى الصدر الأيسر واخترق أجواف القلب، وشكّل صمة مقذوفية توضعت في الشريان تحت الترقوة الأيمن أدى إلى غياب النبض في الطرف العلوي الأيمن. تظهر صورة الصدر (أ) توضع الصمة المقذوفية في الشريان تحت الترقوة الأيمن. وتُظهر الصورة الترسيمية (ب) طريقة تجوال المقذوف. | |
5- مضاعفات رضوض الصدر وعقابيلها:
أ- متلازمة عسر التنفس الحاد الكهلي adult respiratory distress syndrome، وتسبب قصوراً تنفسياً بسبب التحويلة shunt اليمنى اليسرى، وقد تحتاج إلى التنفس الإصطناعي.
ب- الانخماص الرئوي pulmonary atelectasis، ينجم عن تجمع المفرزات القصبية في القصبات بسبب الألم وتحدد الحركات التنفسية وتثبيط السعال، لذا تتقى بإعطاء المسكنات القوية. وتعالج بسحب المفرزات القصبية بتنظير القصبات.
ج- الخمج ولاسيما تقيح الجنب empyema ويعالج بالتفجير الصدري وإعطاء الصادات.
د- الصمة الرئوية تنجم عن التهاب الوريد الخثري الناجم عن الاستلقاء المديد، وتتقى بتحريك المريض باكراً وبإعطاء المميعات.
هـ- تضيق الرغامى الندبي المتأخر، يظهر إثر التنبيب الرغامي المديد.
و- اللانظميات القلبية: تعالج بحسبها.
- التصني٠: جهاز التنفس - النوع : جهاز التنفس - المجلد : المجلد الرابع، طبعة 2010، دمشق - رقم Ø§Ù„ØµÙØØ© ضمن المجلد : 249 مشاركة :




















