الفحوص الشعاعية
فحوص شعاعيه
radiographic tests - examens radiographiques
حسان بسام الصواف
أولاً- الفحوص الشعاعية :radiography
-1 صورة الجهاز البولي البسيطة:
هي صورة شعاعية للبطن في وضعية الاضطجاع (الشكل 1).
الاستطبابات: البحث عن حصيات متكلسة ظليلة شعاعياً.
التحضير: لا بد من تحضير الأمعاء جيداً بإعطاء المريض مادة مسهلة عن طريق الفم في اليوم السابق للفحص، والامتناع عن تناول الطعام والشراب قبيل الفحص.
يمكن بوساطتها تقييم حجم الكليتين ومكانهما ورؤية الحصيات في الجهاز البولي إن كانت متكلسة، وكذلك يمكن رؤية تكلسات خارج الجهاز البولي قد تلتبس مع الحصيات البولية مثل الحصيات المرارية المتكلسة والتكلسات الشريانية العصيدية والتكلسات في المعثكلة والتكلسات الوريدية في الحوض، وقد يرى في بعض الأحيان غاز في المثانة في حالات الأخماج المثانية، (وقد يكون الغاز تالياً لوضع قثطرة داخل المثانة). ومن المفيد البحث عن ظل عضلة البسواس الذي قد يدل غيابه على آفات خلف الصفاق، وتجدر الإشارة إلى أن ظل البسواس يغيب على نحو طبيعي عند 50% من المرضى.
وكذلك من المفيد تقييم الظلال العظمية على الصورة، إذ يمكن رؤية شوك مشقوق قد يدل على وجود آفة عصبية خلقية مثل القيلة السحائية التي تؤدي إلى المثانة العصبية، أخيراً يمكن في بعض الأحيان رؤية نقائل عظمية مصلبة من تنشؤ في الموثة.
-2 الصورة الظليلة للجهاز البولي :excretory urography
يقيَّم الجهاز البولي بوساطتها على نحو جيد من الناحية التشريحية ومن الناحية الوظيفية.
الاستطبابات: الاشتباه بحصاة أو كتلة في الجهاز البولي، أو لتقييم تشوه خلقي فيه.
سيئات الفحص:
٭ لا يمكن إجراء الدراسة حين وجود قصور كلوي.
٭ أقل دقة من التصوير المقطعي المحوسب في كشف الحصيات والأورام الكلوية.
٭ لا يمكن إجراء الدراسة في الحمل بسبب استخدامها الأشعة السينية.
التحضير: لابد من تحضير جيد قبل التصوير بهدف إفراغ القولونات من المواد البرازية التي قد يعوق دراسة الكليتين، ولابد من التوقف عن الطعام عدة ساعات قبل الفحص.
الطريقة: يصور البطن أولاً بصورة شعاعية بسيطة قبل الحقن لتقييم تحضير المريض وللبحث عن حصيات متكلسة في الجهاز البولي، وبعد حقن كمية كافية من مادة ظليلة يودية غير شاردية في الوريد (تقدر عادة بنحو 100سم3 لمريض بالغ وزنه نحو 70كغ) يعاد تصوير البطن شعاعياً بعد 30 ثانية إلى دقيقة من الحقن، ثم بعد 5 دقائق و 15 دقيقة، ثم تقيَّم الصور من قبل الشعاعي الذي قد يطلب صوراً إضافية ومنها صور متأخرة وبالوضعيات المائلة والاضطجاع البطني ووضعية الوقوف.
دراسة الصورة: (الشكل 2) يُقيّم أولاً حجم الكليتين وموقعهما مع تقييم محيط الكليتين بهدف البحث عن كتل كلوية، ثم تُقَيَّم الكؤيسات والحويضة الكلوية للبحث عن توسع في الجهاز المفرغ وظلال فراغية قد تكون حصيات غير متكلسة أو أوراماً أو علقات دموية. كما يبحث عن كتل قد تضغط الجهاز المفرغ وتؤدي إلى تغير شكل الكؤيسات، أو عدم ارتسام إحدى المجموعات الكؤيسية.
ثم يدرس الحالبان للبحث عن توسع فيهما قد يكون ناجماً عن عائق أسفل الحالب، وكذلك يبحث عن ظلال فراغية قد تكون حصيات غير متكلسة أو أوراماً. ثم يقيّم مكان الحالبين؛ إذ يمكن للكتل خلف الصفاق والتليف خلف الصفاق أن تغير مسار الحالبين.
بعد ذلك تُقيَّم المثانة من حيث الحجم والمحيط والبحث عن ظلال فراغية فيها وآفات حوضية قد تضغط جدارها.
![]()  | ![]()  | |
الشكل (2) صورة ظليلة للجهاز البولي مأخوذة بعد 15 دقيقة من الحقن.  | الشكل (1) صورة بسيطة للجهاز البولي تظهر حصاة في المكان المتوقع للحالب الأيسر.  | 
-3 تصوير جهاز الكليتين المفرغ بالطريق الراجع :retrograde pyelography
الاستطبابات: تقييم انسداد حالبي حين تعذر الحقن الوريدي بسبب قصور كلوي أو عدم وجود إفراز كلوي في الكلية المصابة، وتقييم الجهاز المفرغ للبحث عن ظلال فراغية حين تعذر تصوير الحالب والحويضة جيداً على صور جهاز البول الظليل (الشكل 3).
الطريقة: تحقن المادة الظليلة في الحالب عبر الوصل الحالبي المثاني بعد إدخال قثطرة في المثانة، ولابد من تنظير المثانة وإدخال قثطرة عبر الفوهة الحالبية حتى تتم الصورة، وكذلك لابد من الاستعانة بالتنظير الشعاعي في أثناء الحقن. وحين وجود شبهة بورم في الحالب يمكن أخذ عينات للدراسة الخلوية في الوقت نفسه.
المضاعفات: قد تؤدي هذه العملية إلى وذمة في فوهة الحالب وانسداد الحالب انسداداً مؤقتاً، وقد تدخل الجراثيم في جهاز الكلية المفرغ عبر القثطرة.
-4 تصوير جهاز الكليتين المفرغ بالطريق النازل antegrade pyelography:
الطريقة: يصور في هذه الدراسة جهاز الكلية المفرغ والحالب بعد حقن المادة الظليلة مباشرة في الحويضة أو الكؤيسات الكلوية باستخدام إبرة طويلة (الشكل 4).
![]()  | ![]()  | |
الشكل (4) تصوير جهاز الكلية اليمنى المفرغ بالطريق النازل بعد حقن مادة ظليلة في قثطرة عبر الجلد ذروتها موجودة في الحويضة الكلوية.  | الشكل (3) صورة لجهاز الكلية اليمنى مأخوذة بعد حقن مادة ظليلة بالطريق الراجع، ويظهر فيها عيب امتلاء في القطب السفلي بسبب كارسينوما انتقالية.  | 
الاستطبابات:
٭ يستطب إجراء هذه الدراسة حين تعذر دراسة جهاز الكلية المفرغ والحالب بالتصوير الظليل، وتعذر الوصول إلى فوهة الحالب بعد تنظير المثانة.
٭ كما يجرى هذا النوع من التصوير مباشرة قبل وضع قثطرة تفجير كلوية عبر الجلد percutaneous nephrostomy.
المضاعفات: من المضاعفات الممكن حدوثها بعد هذا النوع من التصوير النزف والخمج والريح الصدرية، إضافة إلى احتمال إصابة عضو مجاور بالإبرة قبل الدخول إلى الكلية.
-5 تصوير المثانة بالطريق الراجع retrograde cystography:
الاستطبابات:
٭ البحث عن تمزق في المثانة في حالات الرضوض.
٭ دراسة حجم المثانة والثمالة البولية.
٭ البحث عن جزر مثاني حالبي vesicoureteric reflux (الشكل 5).
![]()  | ![]()  | |
الشكل (5-ب): صورة مثانة بالطريق الراجع تظهر جزراً مثانياً حالبياً مضاعفاً.  | الشكل (5-أ): صورة طبيعية للمثانة بالطريق الراجع، صورة مثانة بالطريق الراجع تظهر جزراً مثانياً حالبياً مضاعفاً.  | 
٭ البحث عن النواسير المثانية مع الأحشاء المجاورة مثل المهبل والأمعاء.
الطريقة: تحقن كمية من مادة ظليلة مائية داخل المثانة عبر قثطرة مثانية مع مراقبة الامتلاء المثاني بوساطة التنظير الشعاعي على نحو متقطع، ثم تؤخذ عدة صور شعاعية للحوض في وضعيات مختلفة مع إجراء صور بعد الإفراغ. وفي البحث عن جزر مثاني حالبي لابد من إجراء صور في أثناء التبويل؛ إذ يكون الضغط داخل المثانة مرتفعاً في تلك اللحظة مما يساعد على إظهار جزر مثاني حالبي ربما لا يظهر في أثناء الامتلاء.
![]()  | 
الشكل (6) صورة للإحليل بالطريق الراجع تظهر فيها أقسام الإحليل المختلفة الأمامي والغشائي والموثي.  | 
-6 تصوير المثانة والإحليل في أثناء التبويل voiding cystourethrography:
الاستطباب: تفيد هذه الصورة في تقييم الإحليل والبحث عن تضيقات الإحليل ودسام الإحليل الخلفي.
الطريقة: تصور المثانة أولاً كما سبق، ثم تؤخذ صور للإحليل في أثناء التبويل مع صورة للمثانة بعد الإفراغ.
-7 تصوير الإحليل بالطريق الراجع :retrograde urethrography
يعد الفحص الأمثل لدراسة الإحليل عند الرجال.
الطريقة: تحقن مادة ظليلة في صماخ الإحليل وتحت التنظير الشعاعي مع أخذ صور للإحليل بأقسامه المختلفة (الشكل 6).
الاستطبابات: تفيد هذه الصورة في تقييم تضيقات الإحليل والنواسير والرتوج والبحث عن أورام أو حصيات في الإحليل. كما تستخدم هذه الصورة لتقييم رضوض الإحليل وتمزقاته. وتجدر الإشارة إلى أن هذه الصورة ليست مفيدة في تقييم دسام الإحليل الخلفي ودراسته عند الأطفال، ولا بد في هذه الحالة من دراسة الإحليل في أثناء التبويل كي يتم إظهار الدسام.
ثانياً- التصوير بالأمواج فوق الصوت :ultrasound
- 1تصوير الجهاز البولي بالأمواج فوق الصوت (تخطيط الصدى):
الميزات: يمتاز تصوير الجهاز البولي بالأمواج فوق الصوت بقدرته على تقييم الجهاز البولي والأنسجة الرخوة في البطن من دون استعمال الأشعة السينية المؤينة ionizing radiation، وهو نسبياً سريع وسهل الإجراء، وليس له أي تأثير جانبي. ويعد التصوير بالأمواج فوق الصوت الطريقة المثلى للتفريق بين الكيسات المملوءة بسائل والكتل النسيجية، وقد أصبحت هذه التقنية أول دراسة تجرى لتقييم الجهاز البولي.
الاستطبابات:
> تقييم الكتل الكلوية للتفريق بين الكيسات المملوءة بسائل والكتل النسيجية.
> دراسة الكلية المزروعة والبحث عن التجمعات السائلة حول الكلية.
> تقييم المريض المصاب بقصور كلوي، والبحث عن آفات البارانشيم الكلوي بسبب مرض عام جهازي.
> دراسة الكتل البطنية عند الأطفال.
> تقييم المريض المصاب بقولنج كلوي colic، والبحث عن استسقاء كلوي، ويمكن بوساطة التصوير بالأمواج فوق الصوت كشف الحصيات الظليلة وغير الظليلة شعاعياً (الشكل 7).
![]()  | 
الشكل (7) صورة بالأمواج فوق الصوت تظهر حصيات في الكلية مع استسقاء كلوي.  | 
> يمكن استخدام التصوير بالأمواج فوق الصوت لتوجيه الإبرة حين إجراء تصوير بالطريق النازل، وحين وضع مفجر كلوي nephrostomy وتوجيه الخزعة الكلوية.
> دراسة حجم المثانة قبل الإفراغ وبعده لتقدير الثمالة البولية عند المرضى المصابين بضخامة الموثة.
> تقييم الجهاز البولي عند المريضة الحامل، والتفريق بين الاتساع الخفيف في جهاز الكلية المفرغ الذي قد يشاهد عند الحامل من دون إنسداد حالبي والاستسقاء الناجم عن انسداد باستخدام الدوبلر، وقياس منسب المقاومة resistive index في الشرينات داخل الكلية إضافة إلى استخدام الدوبلر لدراسة تدفق البول عبر الموصل الحالبي المثاني.
> يمكن باستخدام الدوبلر تقييم الشرايين الكلوية للبحث عن تضيق شرياني كلوي في المصابين بفرط الضغط الشرياني.
السيئات: يعتمد على نحو كبير على خبرة الفاحص وعلى دقة الجهاز، ويمكن للغازات المعوية أن تحجب رؤية الكلية جزئياً أو كلياً في بعض الأحيان، كما أن هذه التقنية محدودة الفائدة في المريض البدين بسبب امتصاص النسيج الشحمي للأمواج فوق الصوت وعدم قدرة الموجة على اختراق الأنسجة العميقة في هؤلاء المرضى. كما أن التصوير بالأمواج فوق الصوت غير قادر على رؤية الحالب مباشرة إلا إذا كان متسعاً على نحو واضح، ودقته في كشف الحصيات الكلوية أقل مقارنة مع التصوير المقطعي المحوسب، وكذلك دقة الدوبلر في تشخيص التضيق الشرياني الكلوي أقل على نحو واضح مقارنة بالتصوير المقطعي المحوسب والرنين المغنطيسي.
-2 تصوير الموثة بالأمواج فوق الصوت:
الطريقة: يمكن في البدء استخدام مسبار (مجس) البطن abdominal probe بتوتر MHZ 3 لدراسة الموثة عن طريق جدار البطن عبر المثانة الممتلئة، ويمكن بهذه الطريقة دراسة حجم الموثة والبحث عن انضغاط قاعدة المثانة بالموثة الضخمة، ثم المتابعة بالتصوير بالأمواج فوق الصوت بالمجس عبر المستقيم MHZ 7.5 لتقييم نسيج الموثة وحوافها.
الاستطبابات:
> دراسة المريض المصاب بكارسينوما الموثة (الشكل 8) للبحث عن امتداد الورم خارج المحفظة والبحث عن غزو ورمي خارج الموثة إلى الحويصلات المنوية، وتجدر الإشارة إلى أن دقة هذا الفحص في الكشف المبكر عن الأورام الموثية ضعيفة نسبياً.
![]()  | 
الشكل (8) صورة للموثة بالأمواج فوق الصوت عبر المستقيم: تلاحظ بؤرة مشتبهة ناقصة الصدى في المنطقة المحيطية ملامسة للمحفظة ثبت بالتشريح المرضي أنها كارسينوما موثة.  | 
> المساعدة على توجيه إبرة خزع الموثة.
> البحث عن اتساع القنوات الدافقة عند مريض مصاب بالعقم مع انعدام النطاف في السائل المنوي؛ مما يدل على انسدادها.
-3 تصوير الصفن بالأمواج فوق الصوت:
الطريقة: يتم تصوير الصفن بالأمواج فوق الصوت باستخدام المجس السطحي عالي الدقة 7.5- 10 MHZ.
الاستطبابات:
> البحث عن أورام خصوية (الشكل 9).
![]()  | 
الشكل (9) صورة بالأمواج فوق الصوت للخصية تظهر ورماً  | 
> تقييم رضوض الصفن.
> تقييم القيلات الصفنية.
> التفريق بين الانفتال الخصوي والتهاب البربخ والخصية بمساعدة الدوبلر (الشكل 10).
> دوالي الحبل المنوي.
![]()  | 
الشكل (10) تصوير الخصيتين بالأمواج فوق الصوت مع الاستعانة بالدوبلر يظهر غياب إشارة الدوبلر في الخصية اليسرى مما يتماشى مع انفتال خصوي أيسر .  | 
ثالثاً- التصوير المقطعي المحوسب :CT scan
الاستطبابات ذات العلاقة بالجهاز البولي:
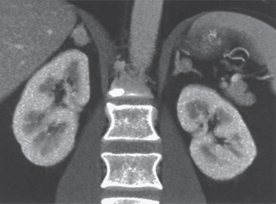
1- البحث عن حصيات كلوية: تبدو جميع الحصيات البولية زائدة الكثافة على الصور المقطعية سواء كانت ظليلة شعاعياً أم غير ظليلة (الشكل 11)، وهو الفحص الأكثر دقة في هذه الحالة مقارنة بجميع التقنيات الأخرى، وقد يحل مستقبلاً محل التصوير الظليل في البحث عن الحصيات الكلوية لأنه أدق من التصوير الظليل وأسرع على النقيض من التصوير الظليل الذي قد يدوم ساعات حين وجود انسداد حالبي مما يوفر وقتاً ثميناً للمريض والطبيب ويلغي الحاجة إلى إجراء صور متأخرة بعد الحقن للبحث عن مكان الانسداد الحالبي، ويلغي أيضاً الحاجة إلى حقن مادة ظليلة إضافة إلى إمكانية العثور على آفات أخرى خارج الجهاز البولي قد تلتبس سريرياً بالقولنج الكلوي مثل التهاب الزائدة الدودية والتهاب الرتوج (الشكل 12). ولكن نسبة التعرض للأشعة في أثناء التصوير المقطعي المحوسب أكبر بقليل مقارنة بالصور المنوالية الأربع للجهاز البولي، وهو أكثر كلفةً حالياً مقارنةً بالصورة الظليلة للجهاز البولي.
![]()  | 
الشكل (11) تصوير مقطعي محوسب للبطن من دون حقن تلاحظ حصاة في الثلث البعيد للحالب الأيسر مع استسقاء كلوي أيسر وارتشاحات خطية وذمية حول الكلية اليسرى  | 
![]()  | 
الشكل (12) صورة مقطعية محوسبة للحوض عند مريض يشكو من آلام خاصرة يمنى تظهر التهاب زائدة دودية حاداً مع حصاة زائدية.  | 
2- تقييم رضوض الكلية، والبحث عن نزف حول الكلية وتمزق الكلية وتسلخ الشريان الكلوي (الشكل 13).
3- تقييم الكتل الكلوية قبل الحقن وبعده، ودراسة كثافتها وتوهجها بعد الحقن وعلاقتها بالجوار والبحث عن غزو ورمي للوريد الكلوي والأجوف السفلي وضخامات عقدية خلف الصفاق (الشكل 14) والبحث عن نقائل كبدية أو رئوية.
![]()  | ![]()  | |
الشكل (14) تصوير مقطعي محوسب يظهر كتلة نسيجية في القطب السفلي للكلية اليسرى (كارسينوما خلايا كلوية) مع امتداد إلى الوريد الكلوي الأيسر والوريد الأجوف السفلي.  | الشكل (13) تصوير مقطعي محوسب يظهر تمزقاً في الكلية اليسرى مع نزف حول الكلية عند مريض مصاب برض.  | 
4- دراسة الحالب وجهاز الكليتين المفرغ (الشكل 15).
5- تقييم الأورام المثانية، والبحث عن الامتداد الورمي للنسيج الشحمي حول المثانة.
6- تقييم أورام الكظر قبل الحقن وبعده؛ إذ من المعروف أن الأورام الكظرية السليمة تكون عادة منخفضة الكثافة قبل الحقن مقارنة بالأورام الخبيثة والنقائل، ويزول توهجها بعد الحقن على نحو أسرع مقارنة بالأورام الخبيثة (الشكل 16).
![]()  | ![]()  | |
الشكل (16) تصوير مقطعي محوسب للبطن مع الحقن مع إجراء إعادة تشكيل إكليلية تظهر كتلة صغيرة في كل غدة كظرية، وكانت نسبة زوال التوهج بعد الحقن (washout) أكثر من 50% مما يتماشى مع ورم غدي كظري سليم.  | الشكل (15) تصوير مقطعي محوسب للبطن بعد الحقن مع إجراء إعادة تشكيل إكليلية تظهر كتلة ورم خلايا انتقالية في الثلث السفلي من الحالب الأيسر مع استسقاء الحالب وجهاز الكلية اليسرى المفرغ.  | 
7- تصوير الأبهر والشرايين الكلوية، والبحث عن تضيقات الشرايين الكلوية والشذوذات الوعائية مثل الشرايين الكلوية الإضافية (الشكل17).
رابعاً- التصوير بالرنين المغنطيسي :magnetic resonance imaging
الاستطبابات ذات العلاقة بالجهاز البولي:
1- دراسة أورام الكظر، والتفريق بين الأورام السليمة والخبيثة عن طريق إجراء تقنيات حذف الشحم in and out of phase imaging.
2- دراسة الأبهر البطني والشرايين الكلوية: والأفضل أن يتم التصوير مع حقن مادة ظليلة في الوريد (الشكل 18). ويمكن تصوير شرايين الكليتين من دون حقن إلا أنه أقل دقة.
![]()  | ![]()  | |
(الشكل 18) تصوير الأبهر والشرايين الكلوية بالرنين المغنطيسي مع الحقن يظهر تضيقاً في الشريان الكلوي الأيمن.  | (الشكل 17) تصوير مقطعي محوسب متعدد الشرائح مع الحقن يظهر شرياناً كلوياً أيسر إضافياً يغذي القطب السفلي للكلية.  | 
3- دراسة الكتل الكلوية: ويجرى كالتصوير المقطعي المحوسب بإجراء دراسة قبل الحقن وبعده. وهناك تقنية واعدة مستقبلاً في تقييم أورام الكلية باستخدام تقنية الانتشارdiffusion weighted imaging من دون حقن للتفريق بين الأورام السليمة والخبيثة، ولكن تبقى دقة هذه التقنية أقل بقليل مقارنة بتصوير الكليتين بالرنين قبل الحقن وبعده (الشكل 19).
![]()  | 
الشكل (19) تصوير بالرنين المغنطيسي لكتلة كارسينوما خلية كلوية يلاحظ وجود تحدد انتشار diffusion restriction على الصور المأخوذة في تقنية الانتثار (DWI &ADC)، وتبدو الكتلة ناقصة الإشارة نسبة للقشر الكلوي على الصورة المتأخرة في الزمن الأول بعد الحقن (الصورة ج؟).  | 
4- رسم جهاز الكليتين المفرغ باستخدام تقنيات خاصة من دون حقن، يتم فيها إظهار السائل على نحو زائد الإشارة، في حين تبدو بقية أحشاء البطن منخفضة الإشارة MR urography (الشكل20).
![]()  | 
الشكل (20) صورة مرنان مأخوذة في الزمن الثاني في متوالية خاصة لإظهار السائل بشكل مرتفع الإشارة من دون حقن، ويلاحظ فيها انسداد الحالب الأيمن بكتلة إضافة إلى كتلة أخرى في المثانة، وكلاهما كارسينوما خلية انتقالية.  | 
ميزات الرنين:
لا يستخدم الأشعة السينية المؤينة، كما أن نسب التحسس للمادة الظليلة المستخدمة في الرنين والحاوية على الغادولينيوم أقل بكثير مقارنة بتلك الحاوية على اليود والمستخدمة في التصوير المقطعي المحوسب، ولكن لابد أيضاً من التأكد من سلامة الوظيفة الكلوية؛ إذ تبين مؤخراً أن المصاب بالقصور الكلوي قد يصاب بمرض جلدي وجهازي خطر إذا حقن له الغادولينيوم إذا كانت نسبة تصفية الكرياتينين GFR أقل من 30مل/دقيقة/1,73م2، ويسمى هذا المرض التليف الجهازي الكلوي المنشأ nephrogenic systemic fibrosis.
وحين وجود قصور كلوي يعد الرنين من دون حقن أدق من التصوير المقطعي المحوسب من دون حقن في تقييم أورام الكلية وكيسات وأورام المثانة وأوعية البطن.
سيئات الرنين المغنطيسي:
1- أقل دقة من التصوير المقطعي المحوسب في الكشف عن الحصيات إذ تبدو معدومة الإشارة على صور الرنين.
2- كلفته المرتفعة.
3- طول فترة الفحص (تقريباً 30 دقيقة)، وعدم قدرة بعض المرضى على الدخول في الجهاز بسبب رهاب الأماكن المغلقة.
خامساً- التصوير الطبي في أورام الموثة :medical imaging of prostate cancer
مع التطور الكبير في مجال تصوير الموثة بالأمواج فوق الصوت عن طريق المستقيم لا يعد هذا الفحص دقيقاً للاعتماد عليه في الكشف المبكر عن أورام الموثة، ويمكن استخدامه في توجيه إبرة الخزع سواء حين رؤية آفة مشتبهة ناقصة الصدى في المنطقة المحيطية أم حين إجراء الخزعات الست التقليدية من جانبي الموثة، كما يمكن استخدامه لتوجيه الإبرة حين تطبيق علاج موضعي شعاعي على أورام الموثة، وتستخدم أيضاً هذه التقنية في دراسة سلامة المحفظة والحويصلات المنوية ولو أنها أقل دقة مقارنة ببقية التقنيات.
أما التصوير المقطعي المحوسب فهو فحص جيد للبحث عن ضخامات عقدية؛ ولذلك يفضل عدم إجراء هذا الفحص إلا حين ارتفاع مستوى PSA فوق 20 نانوغرام/مل، [درجة غليسون فوق 7 أو مرحلة الورم السريرية T3 فما فوق]. ومن المتفق عليه أن العقدة اللمفاوية الضخمة هي العقدة التي يتجاوز قطرها 1سم (الشكل21). ومن المعروف أن الضخامات العقدية تظهر في المراحل المتأخرة من كارسينوما الموثة، ولا يمكن حالياً بوساطة التصوير المقطعي المحوسب أو الرنين المغنطيسي التقليدي كشف النقائل الورمية المجهرية إلى العقد اللمفاوية.
![]()  | 
الشكل (21) صورة مقطعية محوسبة للحوض عند مريض مصاب بكارسينوما موثة ومستوى PSA لديه يتجاوز 45 نانوغرام/مل، يظهر عقدة لمفاوية ضخمة قليلاً قطرها 1.3سم على مسير الأوعية الحرقفية الظاهرة اليسرى.  | 
أما دراسة محفظة الموثة والامتداد إلى الجوار فيعد الرنين أكثر دقة من التصوير المقطعي المحوسب (الشكل22).
![]()  | 
الشكل (22) صور بالرنين المغنطيسي باستخدام الوشيعةcoil عبر المستقيم: الصور مأخوذة في الزمن الثاني وتظهر كارسينوما الموثة على شكل آفة ناقصة الإشارة في المنطقة المحيطية ممتدة خارج محفظة الموثة (a) مع امتداد واضح إلى الحويصلات المنوية على صور(b-d) .  | 
من التقنيات الواعدة في المستقبل التي سوف تساهم في زيادة دقة الرنين في الكشف المبكر عن الأورام الموثية يذكر التحليل الطيفي المغنطيسي MR spectroscopy، وتصوير الموثة مع الحقن الديناميكي.
ويمكن بوساطة التحليل الطيفي المغنطيسي دراسة تركيز المستقلبات metabolites مثل السيترات citrate والكرياتين creatine والكولين choline، حيث يلاحظ انخفاض مستوى السيترات وارتفاع مستوى الكولين في كارسينوما الموثة (الشكل 23).
![]()  | 
الشكل (23) مرنان للموثة، مقاطع محورية في الزمن الثاني. تلاحظ بؤرة مشتبهة أيسر المنطقة المحيطية، ويلاحظ انخفاض نسبة السيترات وارتفاع نسبة الكولين في المنطقة نفسها على صور التحليل الطيفي المغنطيسي مما يتماشى مع آفة ورمية خبيثة. H = نسيج سليم. VC= مشتبه جداً. = SC مشتبهة.  | 
وكذلك من الطرق الواعدة في دراسة الموثة بالرنين المغنطيسي للكشف المبكر عن الأورام تصوير الموثة في أثناء الحقن الديناميكي، حيث تتوهج الآفات الخبيثة على نحو أبكر مقارنة بنسيج الموثة الطبيعي، ويزول هذا التوهج باكراً مقارنة بنسيج الموثة الطبيعي، ونمط التوهج هذا يتماشى مع كارسينوما موثة في معظم الحالات (الشكل 24).
![]()  | 
الشكل( 24) أ- صورة رنين مغنطيسي محورية في الزمن الثاني تظهر فيها منطقة ناقصة الإشارة مشتبهة في المنطقة المحيطية ب- مخطط ملون يظهر فيه نمط توهج الموثة في أثناء الحقن الديناميكي. ج- مخطط ملون للتحليل الطيفي المغنطيسي يظهر ارتفاع نسبة الكولين وانخفاض السيترات في الجهة اليسرى من الموثة مكان البؤرة المتوهجة بعد الحقن، وتبين بالخزعة وجود كارسينوما في هذا المكان.  | 
سادساً- تصوير الشرايين الظليل :angiography
الاستطبابات:
> البحث عن تضيق في الشرايين الكلوية في المصابين بفرط الضغط الشرياني (الشكل 25).
![]()  | 
الشكل (25) تصوير ظليل للأبهر والشرايين الكلوية يظهر تضيقًا في الشريان الكلوي الأيسر.  | 
> البحث عن التهابات الأوعية.
> تقييم توعية الكتل الكلوية.
>يمكن باستعمال تقنية التوسيع بالبالون معالجة تضيقات الشرايين الكلوية، وكذلك يمكن حقن مواد داخل الشرايين المغذية للكتل الكلوية (اصمام)، وذلك قبل إجراء استئصال جراحي حين يكون هذا مستطباً.
الطريقة: يتم الدخول إلى الأبهر البطني بالقثطرة عبر الشريان الفخذي، ثم تحقن المادة الظليلة في الأبهر البطني، ومن ثم يمكن الدخول إلى كل شريان كلوي على حدة عند اللزوم.
سابعاً- تصوير الأوردة الظليل :venography
تستخدم هذا التقنية في الجهاز البولي بهدف رسم الأوردة الكلوية وأخذ عينات دم من كل وريد كلوي على حدة لتقييم مستوى الرنين renin في المصابين بفرط الضغط الشرياني الناجم عن تضيق شرياني كلوي، ولتقييم الأورام الكظرية الفعالة هرمونياً. وفي هذه الحالة يتم الوصول إلى الأجوف السفلي بوساطة قثطرة تدخل في الوريد الفخذي.
- التصنيف : أمراض الكلية والجهاز البولي التناسلي في الذكور - النوع : أمراض الكلية والجهاز البولي التناسلي في الذكور - المجلد : المجلد التاسع، طبعة 2012، دمشق - رقم الصفحة ضمن المجلد : 28 مشاركة :
                  
                  
























