اضطرابات المثانة والموثة والحويصلات المنوية
اضطرابات مثانه وموثه وحويصلات منويه
disorders of bladder and prostate and seminal vesicles - troubles de la vessie et de la prostate et des vésicules séminales
اضطرابات المثانة والموثة والحويصلات المنوية
محمد موقع
اضطرابات الموثة والحويصل المنوي
أولاً- اضطرابات المثانة:
![]() |
الشكل (1) البجس المثاني. |
![]() |
الشكل (2) بقاء المريطاء. |
![]() |
الشكل (3) تصوير المثانة والاحليل تبدي تضيق عنق المثانة. |
-1 البَجَس (الإكشاف) exstrophy المثاني:
هو نقص تشكل الجيب البولي التناسلي من الناحية البطنية مع نقص تشكل جدار أسفل البطن. يصبح الجدار الخلفي للمثانة ظاهراً كرقعة مثانية في جدار البطن الأمامي، ويندمج غشاؤها المخاطي في جلد البطن (الشكل 1). تكون الشعبتان العانيتان متباعدتين؛ مما يضعف تماسك الحوض مسبباً ما يسمى بمشية البطة. يمتد هذا العيب إلى الأسفل مسبباً نقصاً في الجدار العلوي للإحليل - المبال الفوقاني epispadias - الذي يشاهد في معظم حالات البجس. كثيراً ما يرافقه التهابات كلوية وتوسع حالبي حويضي نتيجة تضيق أو انضغاط عند الوصل الحالبي المثاني. يكون العلاج بحسب العمر ودرجة الإصابة: ففي معظم الحالات يمكن إغلاق المثانة بدئياً في الأيام الثلاثة الأولى من الحياة مع تصنيع العنق أو من دون ذلك. وفي مرحلة لاحقة يتم تصنيع الإحليل الفوقي وإعادة زرع الحالبين بحسب الحالة. أما إذا تأخر التداخل فيجب خزع العظم على الوجه الخلفي للحوض؛ كي يسمح ذلك بتقريب عظمي العانة ثم إغلاق المثانة وجدار البطن. وفي حالات أخرى يضطر الطبيب إلى استئصال المثانة وتحويل الحالبين إلى طريقة من طرق التخزين أو التصريف المعوي.
-2 عدم انغلاق المريطاء :persistent urachus
يكون الجيب البولي التناسلي في الجنين متصلاً بالحبل السري بوساطة السِّقاء (الكيس اللفائفي) (الشكل2) allantois الذي يغلق، ويتحول إلى حبل ليفي يصل قمة المثانة بالسرة. وأحياناً لا ينغلق هذا الكيس انغلاقاً كاملاً في قسمه العلوي مسبباً نز سائل شفاف من السرّة، قد يتحول إلى سائل قيحي إذا تجرثم. أما إذا كان عدم الانغلاق في النهاية السفلية؛ فقد لا يسبب أي أعراض، أو أنه يكشف اتفاقاً. وإن لم ينغلق من طرفيه فقد يسبب ظهور البول من السرة على نحو مستمر. وأحياناً قد تنغلق النهايتان، ويبقى القسم الأوسط على شكل كيسة في الخط المتوسط خلف جدار البطن الأمامي السفلي. قد تتعرض المريطاء للالتهاب أحياناً ولتشكل حصيات أو أورام غدية ذات إنذار سيئ. العلاج بالاستئصال الجراحي.
-3 تضيق عنق المثانة :constriction of the bladder neck
يدل هذا الاصطلاح على تضيق عنق المثانة تضيقاً حقيقياً أو وظيفياً تالياً لعمليات الاستئصال الموثي أو للأخماج المثانية الشديدة المزمنة أو لبعض الإصابات العصبية (الشكل 3). ففي الحالات الناجمة عن تندب جراحي مثلاً، يكون التشخيص بتنظير المثانة والإحليل، ويعالج بالخزع التنظيري. أما في حالات التضيق الوظيفي الناجم عن تشنج العنق بسبب التهابي أو عصبي؛ فالعلاج دوائي بحسب السبب.
- 4التهابات المثانة الجرثومية:
شائعة حادةً كانت أم مزمنة. تحدث غالباً عند الإناث، وتزداد شيوعاً قبل البلوغ وبعد سن اليأس. تسبب تعدد البيلات مع حرقة بولية وزحير. وقد ترافقها حمى طفيفة قد تكون مزمنة أو متكررة. وهنا يجب البحث عن الأسباب المحتملة -ولاسيما عند الأطفال - وتداركها. التشخيص بتحليل البول وزرعه. والعلاج بالصادات بحسب النتائج المخبرية. قد يصعد الخمج إلى الكلية ولاسيما عند وجود الجزر الحالبي؛ مما يزيد الخطورة وشدة الأعراض. لذا يجب البحث عن الجزر الحالبي في الأطفال حين تكرر هذه الأخماج، ولاسيما إذا كانت مصحوبة بترفع حروري.
كما قد تصاب المثانة بالتهابات طفيلية كالبلهارزيا أو فطرية أو ڤيروسية أو تحسسية.
-5 التهاب المثانة الخلالي :interstitial cystitis
يفضّل هذا المرض النساء في منتصف العمر على الرجال بنسبة 5:1، ويحدث في 1.2-5.4/100.000 من النساء. يتميز بحدوث تليف في الطبقة العضلية العميقة لجدار المثانة مؤدياً إلى نقص سعتها وترقق المخاطية ترققاً متفاوت الشدة قد يصل إلى حد التقرح. يعتقد أن سببه مناعي ذاتي كولاجيني. وقد تفسر النظرية التحسسية استجابة بعض هذه الحالات للمركّبات الستيروئيدية. قد تؤدي هذه التغيرات مجتمعة إلى حدوث جزر مثاني حالبي في الحالات المتقدمة.
الأعراض: تعدد البيلات، والإلحاح البولي، والألم المثاني أو الحوضي (الشكل 4)- ولاسيما حين الامتلاء - تحليل البول طبيعي أو تبدو في البول بعض الكريات الحمر. قد تحدث بيلة دموية بعد حبس البول اضطرارياً. الفحص السريري طبيعي مع إيلام في ناحية المثانة أحياناً. تكون المثانة بالفحص الشعاعي صغيرة الحجم مع جزر مثاني حالبي وتوسع الجهاز المفرغ أحياناً. ويوضح التشخيص بالتنظير المثاني بصغر السعة الوظيفية للمثانة مع عدم ظهور تغير يذكر في شكل المخاطية غالباً. أما بعد إملاء المثانة وتمديدها فكثيراً ما تظهر نزوف نقطية تحت المخاطية (الشكل 5) وخطوط تشققية في بعض الأحيان. يتميز هذا المرض من السل بغياب البيلة القيحية والدرنات المثانية والتغيرات الكلوية الشعاعية للسل وعدم وجود العصية السلية في البول. كما يجب نفي وجود السرطان السطحي بالخزعة أو بالفحص الخلوي.
العلاج: بالحقن المثاني بنترات الفضة أو الدي متيل سولفوكسد (DMSO) dimethyl sulfoxide أو الهيبارين أو الليدوكائين أو البنتوزان، وعن طريق الفم: مضادات الهستامين والأميتريبتيلين والكورتيزون والدوكسيسايكلين والسيكلوسبورين والسايميتيدين. واستعملت وسائل أخرى بفائدة متفاوتة أو مؤقتة كتمديد المثانة بالضغط المائي لتحسين الأعراض. أما العلاجات الجراحية فقد تراوحت بين استئصال القرحة عبر التنظير، إلى الكي بالليزر إلى استئصال المثانة فوق المثلث المثاني مع التعويض بالأمعاء الدقيقة أو القولون، أو حتى استئصال المثانة والإحليل كاملاً وتحويل البول إلى الجلد أو تصنيع مثانة من الأمعاء إلخ. وعلى الرغم من تحسن الأعراض البولية بعد الجراحة؛ فإن الألم الحوضي استمر في نسبة عالية من الحالات، وهذا ما أدى إلى إبقاء العلاج الجراحي لأشد الحالات سوءاً وبعد فشل كل الوسائل العلاجية الأخرى.
![]() | ![]() | |
الشكل (5) نزوف المخاطية في التهاب المثانة الخلالي كما تظهر بالتنظير المثاني. | الشكل (4) المظهر الخارجي لألم المثانة. |
-6 السلس البولي :urinary incontinence
يقسم السلس البولي خمسة أقسام:
أ- السلس البولي المستمر: سببه غالباً ناسور ناجم عن عمل جراحي (العمليات النسائية) أو ورم (كأورام المستقيم والمهبل وغيرها) أو ولادة صعبة أو تداخل ولادي رضي. وهناك أسباب ولادية خلقية كفتحة حالبية ضالة عند الإناث.
ب- السلس البولي الجهدي: هو مرور بولي مفاجئ لا إرادي يحدث حين ارتفاع الضغط ضمن البطن بسبب جهد كالسعال والعطاس والضحك الشديد وما شابه. يستهدف غالباً السيدات الولودات، وينجم عن ضعف الحجاب البولي التناسلي وعضلات الحوض وأربطته. ويحدث أحياناً حتى عند الفتيات. كما يحدث عند الرجال بعد بعض عمليات الموثة؛ ولاسيما الجذرية حين حدوث ضعف المصرة الخارجية أو تأذيها. من الصعب علاج هذا الشكل من السلس دوائياً، وغالباً ما يمكن السيطرة عليه بالجراحة أو الحقن.
ج- السلس البولي الإلحاحي: هو سلس مسبوق بإحساس ملحّ للتبول لا يمكن للمريض إيقافه. غالباً ما يكون ثانوياً لالتهاب المثانة أو تعاطي المنبهات بكثرة أو لآفة عصبية أو ضخامة موثية أو وجود جسم أجنبي في المثانة كالقثاطر والحصيات. يجب تمييزه من السلس الجهدي؛ إذ إن علاجه يكمن في إزالة السبب أو استعمال بعض الأدوية من مضادات الموسكارين أو مضادات الكولين.
د- السلس بفرط الامتلاء: يحدث في حالات الاحتباس البولي الشديدة المزمنة؛ إذ يرتفع الضغط ضمن المثانة إلى ما فوق مقاومة المصرات البولية مما يسمح لبعض البول المحتبس بالخروج. فإذا ما نقص الضغط المثاني قليلاً، تغلبت مقاومة المصرات عليه، وتوقف السلس مؤقتاً. يكون التشخيص بقياس الثمالة البولية التي تكون مرتفعة. ويعالج بإزالة الاحتباس.
هـ- السلس البولي الليلي enuresis عند الأطفال: يحدث حين النوم فقط، ويعدّ طبيعياً حتى سن الثالثة من العمر، ويستمر على نحو طبيعي في 15% من الأطفال إلى سن السادسة، وفي 1% إلى ما بعد ذلك. في حال استمراره لما بعد السادسة ينصح إجراء كشف بولي بسيط مع أن ذلك كثيراً ما يكون طبيعياً. يوصي بعض الأطباء بالعلاج بعد سن الخامسة أو السادسة، بيد أن الرأي الأرجح أن يبدأ العلاج حين يبدأ الطفل بالإحساس بالمشكلة وإظهار انزعاجه منها. يصل معظمهم إلى تلك المرحلة من الوعي في سن السابعة أو ما بعد. هناك عدة طرائق للعلاج، منها الدوائي: مضادات الاكتئاب ثلاثية الحلقات كالإيميبرامين (إرخاء العضلة المثانية وزيادة درجة المقاومة الإحليلية) ومضادات الكولين التي تعمل على إرخاء العضلة المثانية وتأهيلها لزيادة سعتها والدسموبريسّين desmopressin الذي ينقص حجم البول المتشكل في أثناء النوم، ومنها غير دوائي كالأغطية المحتوية على حساس للرطوبة متصل بمنبه صوتي كاف لإيقاظ الطفل حين حدوث السلس. بيد أنه لم يصل أي منها إلى حد الكمال في النتائج. وهنا يكون دور الطبيب في إيجاد ما يناسب كل حالة على حدة.
-7 الرتج المثاني :diverticula
هو جيب مثاني يتشكل من الطبقة المخاطية التي تتسلل عبر الألياف العضلية إلى خارجها نتيجة لارتفاع الضغط ضمنها، وذلك بسبب حالة انسدادية عند العنق المثاني أو أسفله، كضخامات الموثة المهملة وتضيقات الإحليل وفي حالات المثانة العصبية المصحوبة بعدم تآزر dyssynergia مثاني مصرّي (الشكل 6). وقد تكشف أحياناً في الطفولة كرتج وحيد (غالباً عند الذكور) لأسباب خلقية ناجمة عن ضعف في المنطقة المجاورة للفتحة الحالبية مع وجود جزر مثاني مرافق. يتألف جدار الرتج من طبقة مخاطية فقط، ولذا فإنها لا تفرغ محتواها من البول على نحو فاعل، وتميل إلى احتباس كمية فيها، فتزيد بذلك من احتمال الالتهابات البولية. وقد يتشكل فيها أحياناً أورام خبيثة تغزو الأعضاء المجاورة بسهولة؛ نظراً لرقة جدارها. يجب استئصال هذه الرتوج وإزالة مسببها.
![]() |
الشكل (6) رتج مثاني |
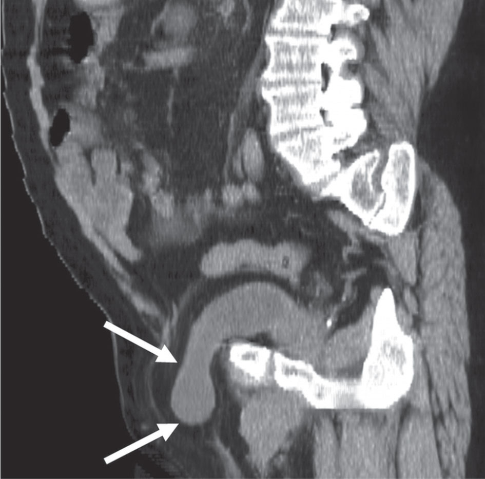
-8 النواسير المثانية :vesical fistulas
الناسور المثاني هو اتصال غير طبيعي بين المثانة وعضو مجاور كالقناة الهضمية أو الجهاز التناسلي الأنثوي أو بين المثانة والجلد وهو شائع نسبياً. وغالباً ما لا يكون السبب من المثانة نفسها. فمثلاً: تشكل التهابات الرتوج القولونية في المجتمع الغربي 50-60% من النواسير المثانية، تليها سرطانات القولون 20-25% ثم داء كرون 10%. أما في الجهاز التناسلي الأنثوي؛ فتنجم معظم النواسير المثانية عن رضوض أو تداخلات ولادية أو سرطانات الرحم أو عنق الرحم أو التداخلات الجراحية على هذه الأعضاء كالعمليات القيصرية واستئصال الرحم أو العلاجات الشعاعية لأورام الحوض أو الرضوض الحوضية وفي بعض العمليات الجراحية على المثانة.
من أعراض النواسير المثانية المعوية (إضافة إلى الأعراض المعوية للداء المسبب) التبول المتكرر مع التهاب بولي لا يمكن السيطرة عليه دوائياً. وكثيراً ما يظهر في البول قليل من محتويات الأمعاء الدقيقة أو الغليظة أو مرور هواء مع التيار البولي. يؤكد التشخيص بالتنظير المعوي أو تصوير الأمعاء الظليل أو تصوير المثانة الظليل (الشكل 7)، بيد أن التنظير المثاني قد يكون الأكثر تأكيداً.
أما في النواسير النسائية؛ فغالباً ما يكون السلس مصحوباً بالتهاب مثاني وتخرش في الجلد المحيط بالفتحة التناسلية نتيجة تعرضه للتماس المستمر مع البول. يؤكد التشخيص بفحص المهبل المباشر أو بتصوير الجهاز البولي الظليل (الشكل 8)؛ مما يمكّن من رؤية النواسير الحالبية المثانية. كما يمكن وضع صباغ الميثيلين الأزرق في المثانة ومشاهدته وهو يخرج إلى المهبل في أثناء الفحص المهبلي. وهنا أيضاً يحدد التنظير المثاني وجود الناسور وموقعه ضمن المثانة. هناك نواسير نادرة نسبياً تحدث بين المثانة والرحم بعد العمليات القيصرية يكون تشخيصها بالتنظير أو التصوير المثاني غالباً.
يجب تمييز النواسير الحالبية - المهبلية من المثانية - المهبلية ومن السلس البولي؛ لاختلاف طريقة العلاج، كما يجب تفريق السلس البولي الجهدي خاصة عن الناسور المثاني- المهبلي أو المثاني- الرحمي، ويكون ذلك بالاستعانة - إضافة إلى التنظير المثاني - بوضع دكَّة مهبلية tampon في المهبل ثم إعطاء مادة ملونة للبول عن طريق الفم كالبيريديوم التي تلون البول باللون البرتقالي. وبعد نصف ساعة إلى ثلاثة أرباع الساعة تحقن عن طريق الجلد زرقة الميثيلين في المثانة، ويطلب من المريضة السير لبضع دقائق. بعدها تستخرج الدِّكة المهبلية، وتفحص عيانياً. فإن كانت نهايتها الداخلية برتقالية اللون؛ يكن الناسور حالبياً - مهبلياً، وإن كانت زرقاء فهو ناسور مثاني - رحمي أو مثاني - مهبلي. أما إذا كانت الدكة غير متلونة في نهايتها الداخلية وزرقاء من نهايتها الخارجية؛ فالتشخيص هو سلس بولي دون وجود ناسور.
يكون العلاج بعلاج السبب مع استئصال قسم من جدار المثانة المصاب ثم إغلاق كل عضو على حدة على طبقات، ويباعد ما بين العضوين بلسينة من الثرب البطني. يجب توفير تصريف بولي للمثانة بوساطة قثطرة بولية حتى الالتئام التام. وفي النواسير المثانية المهبلية الصغيرة يمكن إدخال مسبار كهربائي في الناسور عبر التنظير ثم تفعيل التيار المخثر حين سحب المسبار لتخثير طبقة الخلايا المبطنة للناسور. قد تنكس هذه النواسير بعد إصلاحها أحياناً. أما النواسير الناجمة عن سرطان عنق الرحم - ولاسيما بعد العلاج الشعاعي - فهي غير قابلة للإصلاح الجراحي، ويفضل حينها تحويل البول عن المثانة على نحو كامل.
![]() | ![]() | |
الشكل (8) تصوير ظليل يظهر ناسوراً مثانياً مهبلياً. | الشكل (7) تصوير ظليل يظهر ناسوراً مثانياً معوياً. |
-9 انفتاق المثانة الداخلي:
قد يكون أحد أجزاء المثانة مكتنفاً للفتق الإربي في الرجال أو الفتق الفخذي في النساء، وتنتفخ هذه الكتلة عند التبويل (الشكل 9). وتكشف بصفة مضاعفة غير متوقعة سابقاً حين إصلاح الفتق جراحياً. العلاج بالإغلاق الجراحي مع رقعة، أو عبر التنظير، ونتائجه جيدة.
-10 إدخال الأجسام الأجنبية إلى المثانة:
شوهد العديد من الأجسام الأجنبية التي أدخلت إلى المثانة في الرجال والنساء، ويؤدي إدخالها إلى التهاب مثانة، وبيلة دموية، كما يؤدي الخجل بالإفصاح عنها إلى تأخير العلاج الطبي، وتظهر الصورة البسيطة لمنطقة المثانة الأجسام الأجنبية والمعدنية (الشكل 10)، والمعالجة بإزالة الجسم الأجنبي بالتنظير أو بفتح المثانة جراحياً.
![]() | ![]() | |
(الشكل 10) جسم أجنبي في المثانة. | الشكل (9) الانفتاق المثاني |
- 11التهاب المثانة الشعاعي:
تصاب العديد من النساء اللواتي عولجن معالجة إشعاعية لسرطان عنق الرحم؛ بأعراض مثانية تخريشية، تظهر بعد عدة أشهر من انتهاء المعالجة الإشعاعية، قد يكون البول عقيماً أو لا يكون، مع نقص سعة المثانة، ويظهر تنظير المثانة غشاء المثانة المخاطي شاحباً، مع مناطق متعددة من توسع الأوعية الدموية الشعرية، يشاهد أحياناً تقرح في جدار المثانة قد يتطور إلى ناسور مثاني مهبلي. وإذا كانت الأعراض شديدة، واستمرت فترة طويلة؛ فقد يصبح من الضروري تحويل مجرى البول.
-12 التهاب المثانة النزفي اللاعدوائي :noninfectious
قد يحدث لدى بعض المرضى المعالجين إشعاعياً لسرطان المثانة أو عنق الرحم؛ نزف مثاني متردد قد يكون غزيراً وخطراً، كما يحدث أيضاً بعد المعالجة بالسيكلوفوسفومايد، ويجب عندها إيقاف المعالجة بهذا الدواء. وقد جرب تخثير المناطق النازفة الكهربائي عبر التنظير بفائدة ضئيلة، كما يفيد أحياناً حقن الفورمالين الممدد إلى جوف المثانة، وذكرت حالات أخرى عولجت بنجاح بإصمام الشريان الحرقفي الباطن انتقائياً. وعلى الرغم من المحاولات العلاجية السابقة؛ كانت نسبة الوفيات مرتفعة.
ثانياً- اضطرابات الموثة والحويصل المنوي:
-1 عدم تخلق الحويصل المنوي: يكون عادة في طرف واحد، يرافقه غياب الكلية الولادي في الجهة نفسها.
-2 كيسات الحويصل المنوي: قد تصل إلى حجوم تفوق حجم الحويصل نفسه. وقد تصاب بخمج مزمن. يفضل استئصالها بالجراحة التنظيرية.
-3 التهابات الحويصل المنوي: جرثومية عادة و قليلة الحدوث، يرافقها التهاب الموثة. تشخص بوجود التهاب في السائل المنوي مع علامات التهابية بتخطيط الصدى عبر الشرج أو بالتصوير بالرنين المغنطيسي أو المقطعي المحوسب. تعالج دوائياً بالصادات وأحياناً بالبزل أو باستئصال الحويصل في الحالات المعندة.
-4 الكيسة الموثية: تتوضع على الخط المتوسط مصحوبة بتضخم القريبة utricle، وتنجم عن نقص في تراجع القناة المولّرية الجنينية. من النادر جداً أن تصل إلى حجم كبير، وقد تصاب بخمج حاد أو مزمن، كما يمكن أن تكون سبباً في نقص السائل المنوي بضغطها القنوات الدافقة أو سبباً لالتهابات مزمنة. تعالج بالتجريف عبر الإحليل غالباً إن تسببت في أعراض مهمة. كما يمكن بزلها، بيد أنها عادة تنكس بعد البزل.
-5 أخماج الموثة: تصاب الموثة بأخماج جرثومية أو غير جرثومية، وتشكل 8-20% من المراجعين الذكور لمرضى العيادات البولية.
أ- الأخماج الحادة:
(الزمرة Iبحسب تصنيف مؤسسة الصحة الوطنية الأمريكية(NIH تحدث في كل الأعمار، وتزداد شيوعاً ما بين الـ 20-50 من العمر. قد تصل الجراثيم إلى الموثة عن طريق الدم من التهابات أو خرّاجات، أو من الطريق البولي التناسلي الصاعد. معظمها من الجراثيم المعوية المنشأ .Enterobacteriaceae تؤلف الإشريكيات القولونية E. Coli 65-80% منها، والباقي تسببه الزوائف Pseudomonas والسِّراتية Serratia والكلبسيلّة Klebsiella والأمعائية Enterobacter. وتؤلف المكورات المعوية enterococci 5-10%. وتنفرد جراثيم أخرى كالعنقوديات وغيرها بالباقي. أما شأن اللاهوائيات والمتدثرة Chlamydia فمختلف عليه. غالباً ما يسبب الالتهاب حرقة بولية وألماً حارقاً حين القذف المنوي، وضعف الدفق البولي قد يصل إلى درجة الاحتباس أحياناً يرافقها ألم في الحوض والعجان وأعراض عامة من ترفع حروري وغيره كالتهاب البربخ. يجب تجنب فحص الموثة الشرجي العنيف أو تمسيدها في هذه المرحلة ليس لشدة الألم فحسب؛ بل خوفاً من تجرثم الدم. أما الفحص اللطيف فيكشف عن وجود وذمة مع إيلام حاد، وكثيراً ما تشاهد خلايا التهابية في البول. يكون العلاج بالصادات حقناً وعن طريق الفم حتى زوال الأعراض الحادة ثم عن طريق الفم لمدة مجموعها 2-4 أسابيع مع مراقبة المفرزات الموثية بعد السيطرة الدوائية خوفاً من التحول إلى خمج مزمن. كما يجب الانتباه إلى احتمال تشكل خراج موثي في الطور الحاد، فإن ثبت وجوده وجب علاجه بالبزل أو جراحياً.
ب- الأخماج المزمنة:
- (1) الجرثومية: (الزمرة(II حسب تصنيف الـ NIH: تختلف عن سابقتها بغياب الترفع الحروري والاحتباس البولي والأعراض العامة وبإزمانها وبدئها التدريجي مع أن الزمر الجرثومية المسؤولة متشابهة. الألم الحوضي أو العجاني قد ترافقه حرقة بولية أو حين القذف المنوي أو حرقة إحليلية مزعجة خارج أوقات التبول. ويرافقها أحياناً تعدد البيلات والإلحاح البولي. يتأكد التشخيص بالعزل الجرثومي من السائل الموثي أو البول بعد تمسيد الموثة مباشرة، أو بوجود الكريات البيض بكثرة في السائل المنوي (أكثر من 10-12 بالساحة المجهرية). العلاج بالصادات لفترة لا تقل عن الشهرين.
- (2) اللاجرثومية: (الزمرة(III المعرّفة بوجود الألم المذكور أعلاه من دون وجود جرثومي (زمرة(III-A أو قيحي (زمرة(III-B في السائل الموثي أو البول بعد التمسيد. علاجها عرضي، بيد أنه يفشل في كثير من الحالات. وهناك فئة لاعرضية من هذه الالتهابات (زمرة IV التي تشخص اتفاقاً حين تحليل السائل المنوي لأسباب أخرى أو حين فحص الموثة النسيجي حيث يرى ارتشاح التهابي مزمن غالباً.
- التصني٠: أمراض الكلية والجهاز البولي التناسلي في الذكور - النوع : أمراض الكلية والجهاز البولي التناسلي في الذكور - المجلد : المجلد التاسع، طبعة 2012، دمشق - رقم Ø§Ù„ØµÙØØ© ضمن المجلد : 281 مشاركة :









