أمراض اللسان والشفتين والأغشية المخاطية الفموية
امراض لسان وشفتين واغشيه مخاطيه فمويه
diseases of the tongue and lips and mucous membranes - maladies de la langue et des lèvres et des muqueuses buccales
أمراض اللٍّسان والشَّفتَين والأغشيَة المُخَاطيَّة الفموية
رنا الهبل
| آفات اللسان | التظاهرات الفموية في الأمراض الجلدية |
| آفات الشفتين | التظاهرات الفموية للمعالجات الدوائية |
| آفات الأغشية المخاطية الفموية | القيلة المخاطية والكيسة الضفيدعية |
مع أنّ الغشاء المخاطي الفموي هو امتداد مباشر للجلد ويشاركه في كثير من الخصائص والوظائف؛ بيد أن له طبيعة خاصة، فهو نقطة البدء في هضم الأطعمة، وبفعل البيئة المائية اللعابية تذاب المواد الكيميائية، إضافة إلى عمل الإنزيمات والكائنات الحية المجهرية. وهناك عوامل أخرى تؤثر في الغشاء المخاطي الفموي كحرارة الأطعمة المختلفة الشدّة والتدخين، ورضح المخاطية الآلي في أثناء عملية مضغ الأطعمة المختلفة القوام ووجود معادن على الأسنان.
يحوي جوف الفم نبيتاً مجهرياً منذ الطفولة الأولى، ويشكل الغشاء المخاطي حاجزاً أمام أنواع عديدة من الأحياء المجهرية، لكن الظهارة لا تستطيع أن تشكل صفيحة قاعدية سليمة حول الأسنان، لذلك تكون منطقة ارتكاز الظهارة على الأسنان نقطة ضعف في الحاجز وموضعاً ملائماً للأمراض الفموية.
يبدأ تطور جوف الفم في الأسبوع الثالث من الحياة الجنينية ويكتمل في نهاية الشهر الثاني. تنشأ المخاطية الفموية التي تغطي الثلثين الأماميين للسان والبنى الأمامية في الطيّة الحنكية اللسانية من الأديم الظاهر، في حين تنشأ المخاطية المغطّية لجذر اللسان والحفرة اللوزية والبلعوم من الأديم الباطن. وتنشأ عضلات قاع الفم والماضغة ومخاطية الثلثين الأماميين من اللسان والنسج الرخوة المرافقة من القوس الخيشومي branchial arch الأول، في حين تنشأ مخاطية الثلث الأول الخلفي للسان (جذر اللسان) من القوس الخيشومي الثالث. أما عضلات اللسان فتنشأ من الجسيدات somites القفوية.
أولاً- آفات اللسان:
1- علل اللّسان:
أ- اضطراب حركة اللسان: يحدث غالباً نتيجة أذية العصب المحرك للسان، كما يحدث بسبب التصاق اللسان ankyloglossia، وهو اضطراب سببه قصر الشريط النسجي الذي يربط اللسان بقاع الفم. وترافق هذا الاضطراب صعوبة في الكلام والمضغ والبلع.
ب- اضطراب الذوق: سببه إصابة براعم الذوق أو إصابة العصب. قد يكون ثانوياً لتناول بعض الأدوية أو تالياً لخمج.
ج- ضخامات اللسان: تحدث في متلازمة داون وضخامة النهايات والوذمة المخاطية والداء النشواني والورم العضلي المخطط. وقد يتسع اللسان في الأشخاص عديمي الأسنان ولا يستخدمون بدائل سنية.
د- تورم اللسان tongue swelling: يحدث في حالات عديدة أهمها: ضخامة النهايات والداء النشواني وسرطان اللسان والوذمة العرقية العصبية والارتكاس الأرجي للطعام أو الدواء وقصور الغدة الدرقية وصغر الفك الخلقي وابيضاض الدم والورم الوعائي اللمفي والورم الليفي العصبي وفقر الدم الوبيل pernicious والبلاغرا، وورم الغدة النخامية، والخمج بالمكورات العقدية.
هـ- رُعاش اللسانtongue tremor: يحدث نتيجةً لاضطراب عصبي أو لفرط نشاط الدرق.
و- اللسان الأملس smooth tongue : يشاهَد في فقر الدم وعوز الڤيتامين ب12.
2- إصابات اللِّسان:
أ- اللسان الأسود المشعَّر hairy black tongue :
هو حال شائعة يزداد فيها طول الحليمات الخيطية وثخنها على نحو معيب بسبب ظروف أدّت إما إلى بطء فقدان الوسوف السطحية من قمم الحليمات؛ وإما إلى زيادة نمو الأحياء المجهرية على سطح الحليمات. ويرافق ضعف الحالة العامة للجسم والحمّى والتجفاف ونقص الجريان اللعابي ونقص حركات الفم مما يزيد من شدة التوسُّف. كما أن المعالجة بالصادّات قد تسبب عدم توازن مؤقت في نمو النبيت الجرثومي الطبيعي في الفم.
![]() |
| الشكل (1) اللسان الأسود المشعر |
يبدو اللسان بالفحص السريري مغطى بطبقة من الحليمات المستدقة الحادة التي قد يبلغ طول كل منها أكثر من 15مم (الطبيعي 1مم)، ويكون لونها أبيض مزهراً لكنها تصطبغ بشكل بؤري أو منتشر نتيجة امتصاص أصبغة الأطعمة أو المشروبات كالشاي والقهوة أو التبغ، أو نتيجة نمو كائنات حية مجهرية مولّدة للصباغ. مما يؤدي إلى اختلاف لون اللسان ما بين الأسود والبني والأبيض والأخضر والزهر (الشكل 1).
ولا ترافق هذا الاضطراب أعراض، وقد يشعر المريض بدغدغة أو زيادة المنعكس البلعومي في أثناء البلع، ويشكو بعضهم من مذاق غير محبَّب في الفم.
من الأسباب المؤدية إلى اللسان الأسود المشعَّر: قلة الاعتناء بنظافة الفم وصحته، تناول الأطعمة الليِّنة التي لا تحوي مواد سللوزية، شرب القهوة، الأصبغة في الأطعمة والأدوية، والإفراط في استخدام غسولات فموية تحوي عوامل مؤكسدة أو قابضة، التدخين، إشعاع الرأس والعنق، وبعض الأدوية وأهمها الصادّات، والإيدز.
المعالجة: تتراجع الحالة باستبعاد العوامل المؤهِّبة، والعناية بنظافة الفم واستخدام غسولات فموية خفيفة مضادة للجراثيم، وتنظيف سطح اللسان بلطف بفرشاة أسنان عدة مرات في اليوم. ويفيد تطبيق سائل الفنول موضعياً أو محلول البودوفللين في الكحول أو الأسيتون بنسبة 15%.
ب- اللسان الجغرافي geographic tongue :
يدعى أيضاً التهاب اللسان الهاجر السليم. وهو حالة سليمة تحدث في أكثر من 3% من الناس. يصيب الإناث أكثر من الذكور، والكبار أكثر من الصغار. وهو غالباً لاعرضي، وقد تزداد حساسية المصابين به للأطعمة الساخنة والحارة واللاذعة.
أما المظهر النموذجي للسان الجغرافي فيبدو بمنطقة حُمامية أو بمناطق محددة تماماً على ظهر اللسان؛ مع غياب الحليمات الخيطية فيها وبضمور المخاطية المغطية لها؛ محاطة بحافة بيضاء مصفرّة محددة مفرطة التقرن ذات محيط ساعٍ serpiginous غير منتظم (الشكل 2). وكثيراً ما يذكر المريض شفاء منطقة من اللسان ثم ظهور آفة جديدة في موضع آخر منه.
تبدأ الإصابة على ظهر اللسان وغالباً ما تمتد لتصيب حوافه الجانبية، وقد تظهر آفات مماثلة على قاع الفم وباطن الخدين.
الآلية الإمراضية: غير جلية، وقد بيّنَت إحدى الدراسات ترافق 10% من حالات الصُداف واللسان الجغرافي. كذلك قد يرافقه الصداف البثري وداء رايتر والنخالية الحمراء الجرابية ومشاهدته في المؤهبين للتأتّّب. ويزداد حدوثه في المصابين باللسان المتشقق. ومع أنّ اللسان الجغرافي هو حالة التهابية فيعتقد أن للوراثة متعددة الجينات شأن في آليته الإمراضية بسبب كثرة مشاهدته في بعض العائلات، كما ذُكر ترافقه وHLA-DR5¨ HLA-DRW6¨ HLA-Cw6.
المعالجة:
> تجنب الأطعمة الحارة والحامضة وغسولات الفم ولُبانة روح النعنع ومعاجين الأسنان المسبِّبة.
> تنظيف الأسنان بلطف مع استخدام غسولات لطيفة بمحاليل ملحية.
> دهن موضعي بمضادات الهيستامين أو بالستيروئيدات المُفلورة أو المخدرات الموضعية أو بمحلول تريتينوئين أو صبغة بنفسجية الجانسيان 0.5% أو صبغة كربول فوشين 5% أو دهن تاكروليموس موضعياً 0.1%.
ج- اللسان المتشقِّق fissured :
![]() |
| الشكل (2) اللسان الجغرافي . آفات بيضاء خطية غير منتظمة تحصر مناطق حمامية و ضمور مخاطي |
![]() |
| الشكل (3) اللسان المعيني الناصف |
حالة سليمة شائعة تتصف بظهور أثلام مختلفة العمق قد تصل إلى 6مم على طول ظهر اللسان وجانبيه، وقد تتصل الأثلام بعضها ببعض فيبدو اللسان بمظهر مفصّص. آليته الإمراضية غير معروفة، ويُشك بفعل الوراثة عديدة الجينات أو من نمط الصبغي الجسدي السائد بسبب تواتر مشاهدته في بعض العائلات. وقد يترافق اللسان المتشقق واللسان الجغرافي، كما يشاهَد في متلازمة ملكرسن- روزنتال ومتلازمة داون. لا تسبب هذه الحالة أي أعراض ما لم ينحبس الطعام داخل الشقوق أو تترافق واللسان الجغرافي. لا حاجة إلى العلاج ويمكن استخدام الغسولات الفموية للمحافظة على نظافة الأثلام.
د- التهاب اللسان المعيني الناصف median rhomboid glossitis:
يطلق على هذا الالتهاب أيضاً الضمور الحُلَيمي المركزي اللساني؛ إذ يحدث فيه ضمور حليمي متناظر إهليلجي الشكل أو معيني الشكل يتوضع مركزياً على الخط المتوسط للسان أمام الحليمات الكأسية (الشكل 3). ويبدو اللسان أحياناً بمظهر مفصص أو متنبِّت مفرط التنسُّج. تُعدّ هذه الحالة شكلاً من داء المبيضّات الفموي؛ إذ تبدو بالفحص النسيجي خيوط المبيضّات في الطبقات السطحية من الظهارة خطلة التقرُّن، وكثيراً ما يُظهر نبيتاً مجهرياً جرثومياً فطرياً مختلَطاً. يشاهَد هذا النموذج من الالتهاب في المدخنين، وكبار السن الذين يضعون بديلة سنية، وفي المصابين بقصور مناعي كما في الإيدز. تعتمد المعالجة على إيقاف التدخين واستخدام مضادات الفطور.
هـ- اللسان المؤلم glossodynia أو متلازمة الفم الحارق burning mouth syndrome:
قد يحدث ألم اللسان في كل من التهابات اللسان واللسان الجغرافي والاعتلال العصبي السكري وسرطان الفم وقرحات اللسان الڤيروسية أو الرضحية أو التخريشية وفي الطَلَوان.
ومن الأسباب المحتملة الأخرى لهذه المتلازمة:
> الأمراض النفسية (الاكتئاب والخوف من السرطان).
> جفاف الفم (الدوائي أو الثانوي لمرض في النسيج الضام أو بسبب العمر).
> العوز الغذائي (الحديد والڤيتامين ب6 والڤيتامين ب12 والفولات والزنك).
> التهاب الفم التماسي أو الأرجي (منكهات الأطعمة ومعاجين الأسنان وغسولات الفم).
> وضع بدائل سنية أو معالجات سنية.
> داء المبيَضّات.
> تناول مثبّطات إنزيم محوِّل أنجيوتنسين ACE.
> الألم العصبي.
> الألم الانعكاسي من الأسنان واللثة.
> الألم الانعكاسي من القلب.
> سن الإياس.
المعالجة: معالجة السبب إن وُجد. أما في الحالات مجهولة السبب فتعطى مضادات الاكتئاب بجرعات قليلة أو بنزوديازبين أو دوكسيبين بجرعات منخفضة بالطريق الداخلي، كما يطبق الكابسيسين أو كلونازيبام موضعياً.
ثانياً- آفات الشفتين:
1- التهاب الشفة التماسيcontact cheilitis :
هو ارتكاس التهابي في الشفتين يتحرض بفعل العوامل الكيميائية المخرشة أو المحسسة. واتُّهم بإحداثه عدد كبير من المستحضرات أهمها: أحمر الشفاه، مراهم الشفاه وغسولات الفم ومعاجين الأسنان ومستحضرات الأسنان العلاجية الحاوية مركبات الزئبق والأوجينول وبعض الأغذية كالنعنع والبندق والمانغو وزيت القرفة والحمضيات والأناناس. كما ذُكر التحسس غير المباشر بطلاء الأظافر والأجزاء الخشبية أو المعدنية لبعض الأدوات الموسيقية والكوبالت الموجود في الأقلام الخشبية الزرق وبكلات الشعر المعدنية. ويتحدد الالتهاب على حافة الشفة وغالباً ما يمتد حول الفم. ويتظاهر بتوسُّف أو وذمة مع حويصلات. يعتمد العلاج على تجنب المادة المحسسة ودهن الستيروئيدات موضعياً.
2- التهاب الشفة السفعيactinic :
![]() |
| الشكل (4) التهاب شفة سعفي مزمن مع طلوان باطن الشفة السفلى |
هو التهاب شائعٌ في المناطق الحارة والجافة لدى العاملين تحت أشعة الشمس وذوي البشرة البيضاء؛ إذ تتعرض حافة الشفة السفلى لكمية كبيرة من الأشعة فوق البنفسجية ولاسيما في الظهيرة حين تكون زاوية ورودها مسلطة عليها مباشرة، إضافة إلى أنّ حافة الشفة ذات حماية قليلة من قبل الكيراتين والخلايا الميلانينية. تبدو الشفة محمرة ومتوذمة في المراحل الباكرة لكنها تصبح بعد ذلك جافة ومتوسفة (الشكل 4). كما تتسمك الظهارة مع ظهور لويحات بيض رمادية، وقد تظهر تشققات عمودية وجُلَب ولاسيما في فصل الشتاء. وقد تظهر أحياناً حويصلات تتمزق تاركةً تآكلات سطحية. وقد يحدث خمج ثانوي أو تتشكل عُقَيدات ثؤلولية، ويجب الانتباه إذا ظهر تقرح ما إلى احتمال وجود تبدلات خبيثة مرافقة. لذا يحتاج المرضى المصابون بحساسية ضيائية كجفاف الجلد المصطبغ والمتعرضون بشدة للأشعة فوق البنفسجية ب UVB - كالمزارعين والمتزلجين- إلى حماية خاصة من الشمس وذلك باستخدام كريمات حاجبة للشمس مناسبة. تستند المعالجة إلى إزالة الأعراض ومنع التطور نحو سرطانة حرشفية.
وفي الحالات الخفيفة تقوم المعالجة على تجنب أشعة الشمس، ويستفاد في بعض الحالات من المعالجة الموضعية بتطبيق فلوروراسيل بنسبة 5% ثلاث مرات يومياً مدة عشرة أيام أو تريتينوئين أو حمض الخل الثلاثي. أما في الحالات الشديدة المترافقة ونشوء سرطانات حرشفية فيلجأ إلى استئصال حافة الشفة جراحياً.
3- التهاب الشفة التقشري exfoliative :
![]() |
| الشكل (5) التهاي شفة توسفي صنعي بسبب مص الشفة المتكرر |
هو التهاب حواف الشفتين التهاباً مزمناً سطحياً، يتصف بتوسّف مستمر. أغلب الحالات صنعية بسبب مص الشفة المتكرر أو مضغها. ولا تترافق الحالة مع مرض جلدي أو مجموعي، مع أنّ بعض الحالات تشاهَد في خَمَج HIV وداء المبيضّات. وأغلب الحالات تحدث في النساء الشابات. يبدأ الالتهاب في منتصف الشفة السفلى ثم يمتد إلى الشفة كلها وبعدها إلى الشفة العليا، ويتجلى بتوسّف وتجلُّب مسبباً حس حرق وتخريش (الشكل 5). يشفى الالتهاب تلقائياً ويتحسن بالاعتناء بصحة الفم مع تجنب مص الشفة أو عضها، وقد تفيد الستيروئيدات الموضعية، وتتطلب بعض الحالات علاجاً نفسياً أو مهدئات.
4- التهاب الشفة الغدّي glandularis :
هو اضطراب التهابي سليم غير شائع في غدد الشفة السفلى تحت المخاطية، سببه مجهول ويبدو أنه ظاهرة عائلية. يتصف بضخامة الشفة ضخامة مترقّية وانقلاب المخاطية الشفوية إلى الخارج مؤدياً إلى زوال حافة الشفة. وقد يكون الالتهاب ارتكاساً لأذية سفعية أو تالياً لعادة مص الشفة المتكرر بغية ترطيبها من الجفاف. صُنِّف هذا الاضطراب في ثلاثة نماذج:
أ- الشكل البسيط: يتظاهر بتسمك خفيف مع خروج مُفرَز لزج رائق من فوهات الأقنية اللعابية الصغيرة على السطح المخاطي للشفة السفلى.
ب- الشكل المقيِّح السطحي (التهاب الشفة لفولكمان): يتصف بتورم جاسئ في الشفة مع تقرح سطحي وجُلب تغطي فوهات الأقنية اللعابية.
ج- الشكل المقيِّح العميق: يتصف بتورم شديد في الشفة وتشكّل خرّاجي عميق ونواسير تترك ندبة، ويؤدي الضغط الخفيف إلى نضح مخاطي قيحي.
قد يتطور الشكل الشديد (المقيح العميق) في 20-30% من الحالات إلى سرطانة حرشفية، مما يدعم الرأي القائل: إن التهاب الشفة الغدي هو نتيجة للالتهاب السفعي.
المعالجة:
![]() |
| الشكل (6) التهاب شفة ورامي حبيبومي ، وذمة ناكسة أدت إلى ضخامة دائمة في الشفة |
> تعطى في الحالات الوذمية الخفيفة مضادات الهيستامين.
> أما في الحالات القيحية فتعطى مضادات الجراثيم بعد إجراء الزرع والتحسس الجرثومي.
> وفي الحالات العُقَيدية تحقن الستيروئيدات موضعياً أو تعطى عن طريق الفم، ولكن يخشى في هذه الحالة من التليُّف والتندُّب الموضعيين إضافة إلى التأثيرات الجانبية للمعالجة الطويلة بالستيروئيدات. وقد يفيد دهن 5 فلوروراسيل بديلاً من الاستئصال الجراحي.
> ينصح في الحالات المتقرحة بإجراء خزعة لنفي الثدن dysplasia والسرطانة الوسفية، فإذا تبين وجود ثدن متوسط أو شديد استؤصلت حافة الشفة vermilionectomy استئصالاً طولانياً أو أجريت الجراحة القرّية؛ إضافة إلى اتخاذ الحيطة للحماية من الشمس والمراقبة المستمرة لاحتمال النكس.
5- التهاب الشفة الحبيبومي C. granulomatosa:
هو تورم الشفة تورماً مزمناً يُعزى لالتهاب حبيبومي:
أ- يطلق عليه التهاب الشفة لميشر Miescher حينما تتحدد التبدلات الحبيبومية في الشفة (الشكل 6).
ب- يشكل عرضاً لمتلازمة ملكرسون - روزنتال Melkersson-Rosenthal syndrome، ولها ثلاثة مظاهر: تورم الشفة؛ واللسان المتشقق؛ والشلل الوجهي (الشكل 7).
![]() |
| الشكل (7) متلازمة ملكرسون - رروزنتال تورم الشفة العليا ، لسان صفني (تشققي) ، خزل وجهي شقي |
> التظاهرة الباكرة للمتلازمة هي تورم مفاجئ غير مؤلم بالجس منتشر أو عقيدي لإحدى الشفتين (العليا أكثر قليلاً من السفلى) أو في إحدى الوجنتين أوفي كلتيهما. وقد يكون التورم في الجبهة والأجفان أو في جهة واحدة من الفروة. ويتراجع التورم بعد ساعات أو أيام، لكن الورم يستمر بعد هجمات متكررة أو يزداد شدّةً ببطء ليبقى دائماً. وحين تزمن الحالة فإن الشفة تصبح مؤلمة ضخمة ومتشقَقة. قد يرافق الهجمات ترفع حروري وأعراض بنيوية كالصداع وتشوش الرؤية، وتتضخم العقد اللمفية في نصف الحالات.
> يشاهد اللسان التشققي في 20-40% من الحالات وقد يكون ولادياً، وقد يفقد بعض المرضى حس الذوق أو ينقص عندهم إفراز اللعاب.
> يحدث الشلل الوجهي في 30% من الحالات، وقد يكون في البدء متقطعاً ثم يصبح مستمراً، وهو وحيد الجانب أو ثنائي الجانب، جزئي أو تام. وقد تصاب أعصابٌ قحفية أخرى كالعصب السمعي والشّمّي والبلعومي اللّساني أو تحت اللّساني.
أسباب المتلازمة مجهولة وهي نادرة تحدث في الشباب، وهناك استعداد جيني من نمط HLA-A11,HLA-A2 وتولّد الخلايا المناعية TH1 انترلوكين12. ويعزوها بعضهم لعامل خمجي أو لارتكاس تجاه بعض الأطعمة أو الأدوية.
تتعلق خطورة هذه المتلازمة بالمرض العضوي المرافق كداء كرون أو الساركوئيد أو الورام الحبيبي الفموي الوجهي.
المعالجة: تجنب المواد المشكوك بإحداثها للمرض.
> زرق تريامسينولون10ملغ داخل الشفة ويمكن تكرار الزرق كل 4-6 أشهر، كما يمكن مشاركتها ورأب الشفة labioplasty.
> كلوفاميزين 100ملغ مرتين يومياً مدة 10 أيام ثمّ مرتين أسبوعياً مدة أربعة أشهر.
> قد يفيد الميترونيدازول والبنسلين والأريترومايسين والسلفاسالازين.
6- التهاب الشفة الزّاوي angular cheilitis :
![]() |
| الشكل (8) التهاب شفة زاوي |
هو التهاب حاد أو مزمن في جلد الشفتين ومخاطيتهما المجاورة لزوايا الفم. يتظاهر بحمامى وتشققات وتوسّف وجلب في الصوارين (الشكل 8).
الأسباب: هناك عوامل مؤهّبة تشترك في إحداث التهاب الشفة الزّاوي أهمها:
> آلية (ميكانيكية): تتضح في المسنين الذين لا يضعون بدائل سنّية أو يضعون بدائل غير مناسبة، أو بسبب تقدم العمر وتراجع البوارز السنخيّة وضمورها وتقدم الشفة العليا على السفلى فتصبح منطقة الصوارين رطبة.
> خمجية: أهمها بسبب المكورات العنقوديّة والمبيضّات التي تزداد في الذين يضعون بدائل سنيّة. كما قد يترافق التهاب الشفة الزاوي عند الأطفال والمكورات العنقودية والعقدية والمبيضّات ولاسيما في حالات سوء التغذية.
> عوز غذائي: ولاسيما عوز الريبوفلافين والفولات والحديد وسوء التغذية ناقصة البروتين. يؤدي نقص الريبوفلافين أيضاً إلى شفاه حمر لامعة وملس ولسان معدوم الحليمات مؤلم بالجس. أما نقص الحديد فيسبب لساناً ضامراً شاحباً عديم الحليمات. كما يشاهد التهاب الشفة الزاوي في المصابين بداء كرون أو الورام الحبيبي الفموي الوجهي.
> قصور مناعي: قد يكون التهاب الشفة الزاوي المرافق لداء المبيضات والمعنّد على المعالجة تظاهرة باكرة لقصور مناعي، وقد يترافق والسكري والإصابة بڤيروس HIV.
> أسباب أخرى: فرط الإلعاب الذي يؤدي إلى استمرار رطوبة زوايا الفم، والتهاب الجلد التأتبي والتهاب الجلد المثّي وداء داون الذي يتّصف بضخامة اللسان والتهاب جلد النهايات المعائي.
المعالجة:
> موضعيّاً: كريم ميكونازول وحمض الفوسيديك وبوليمكسن ب؛ وإزالة البديلة السنية ليلاً وتنظيفها قبل إعادتها.
> المعالجة الداخلية المضادة للفطور بالفلوكونازول أو امفوترسين ب.
> حقن الكولاجين في التشققات الفموية لتصحيح الأخاديد العميقة.
7- شق منتصف الشفة:
يشاهد في الذين يتنفسون من فمهم ولاسيما الأطفال. ويهيئ لهذه الحالة التعرض للشمس والهواء والبرد والتدخين، كما يشاهد هذا الشق في المصابين بمتلازمة داون.
المعالجة: تطبيق نترات الفضة موضعياً وحمض الساليسيليك ومضادات الالتهاب.
8- التهاب الشفة الدوائي:
يسبب الريتينوئيد والإتريتينات والإيزوتريتينوئين جفافاً شديداً وتوسفاً في الشفتين، كما يسبب تطبيق الكلورهكزيدين ارتكاساً التهابياً في الشفة.
ثالثاً- آفات الأغشية المخاطية الفموية:
وهي آفات يرافق بعضها الأمراض التالية:
1- الأمراض المعدية المعوية:
أ- داء كرون: قد يرافقه تورم الشفة واللّثة واللسان المرصوف والقرحات القلاعية والسليلات المخاطية والتهاب الشفة الزاوي والحبيبوم الفموي.
ب- التهاب القولون القرحي: ترافقه تقرحات قلاعية وقرحات نزفية سطحية والتهاب شفة زاوي.
ج- الجزر المعدي المريئي: يرافقه نخر سني.
د- الأمراض الكبدية المزمنة: قد يرافقها حَبَر petechia ونزف لثوي لأقل رضح، واصفرار الغشاء المخاطي لشراع الحنك وتحت اللسان.
2- الأمراض الدمويّة:
أ- فقر الدم: يرافقه شحوب الغشاء المخاطي والتهاب اللسان والقلاع الراجع والأخماج بالمبيضات والتهاب الفم الزاوي.
ب- كثرة المُنْسِجات histiocytosisبخلايا لنغرهانس ويشمل:
> داء ليترر سيوي: ترافقه تقرُّحات كبيرة وكدمات والتهاب لثة والتهاب دعامة السن.
> داء هاند شولر كريستيان: ترافقه قرحات غير منتظمة على الحنك العظمي والتهاب لثة وعقيدات متقرحة.
> داء الحبيبوم اليوزيني: يرافقه نقص العظم السنخي وتورُّمات وتقرّحات فموية.
3- أمراض النسيج الضام:
أ- متلازمة جوغرن: (وسيأتي شرحها لاحقاً).
ب- داء كاواساكي: مرضٌ نادر يصيب الأطفال الذين يقل عمرهم عن خمس سنوات. يتم تشخيصه باجتماع أربعة أعراض من الأعراض الخمسة التالية: وذمة محيطية في اليدين والقدمين مع حمامى أو توسُّف، طفح ظاهر متعدد الأشكال، احتقان ملتحمة ثنائي الجانب، لسان أحمر فريزي، ضخامة عقد لمفيّة رقبية حاد. ومن عقابيل التهاب الأوعية التهاب عضلة القلب الذي يحدث بعد أسبوع من الحمى.
4- أمراض رئويّة ومنها:
أ- الورام الحُبيْبي لويغنر Wegener: هو التهاب وعائي منخّر يصيب الجهاز التنفسي والكليتين. تتجلى الإصابة الفموية الشائعة فيه بتقرحات على المخاطيّة الشدقية أو الحنك، وضخامة لثة و"التهاب لثة فريزي" تبدو فيه اللثة متورمة حمراء ذات مظهر حُبيبي.
ب- الساركوئيد: هو مرض مجموعي مجهول السبب يتصف بضخامة عقد لمفيّة نقيرية hilar مع حُبيبومات في الرئتين وتظاهرات عينية جلدية. قد تتجلى التظاهرات الفموية فيه بتقرحات متعددة عقيدية غير مؤلمة على اللثة والمخاطية الشدقية والمخاطية الشفويّة والحنك يمكن تشخيص سببها بالخزعة. وتظهر الإصابة الفموية عادةً بعد الأعراض المجموعيّة.
5- أمراض مجموعية متعددة:
أ- الداء النّشواني: يصيب الشكل الأولي منه عادةً الجلد، القلب، اللسان، الجهاز المعدي المعوي، الكليتين. أما العرض الفموي الشائع فهو ضخامة اللسان في20% من المرضى، وقد يكون قاسياً أو تظهر على سطحه الجانبي عقيدات صفر. ويمكن أن يرافقه اضطراب الذوق ونقص اللعاب وتورم تحت الفك السفلي.
ب- خمج (HIV) : يحدث في90% من المرضى المصابين به داء المبيضات والحلأ البسيط والطلوان المشعّر وساركومة كابوزي وتقرحات شبيهة بالقلاع سببها الڤيروس المضخم للخلايا، وحُليمومات ولُقمومات بسبب ڤيروس الورم الحُليمي الإنساني.
رابعاً- التظاهرات الفموية في الأمراض الجلدية:
ب - الحزاز المُسطح الفموي oral lichen planus:
![]() |
| الشكل (9) حزاز مسطح تآكلي شديد على الشفتين و مخاطية الفم |
هو داء التهابي مزمن يسبب تخططات (خطوط ويكهام) وحطاطات أو لويحات بيض ثنائية الجانب على المخاطية الشدقيّة واللسان واللثة. وقد يسبب حمامى وتسحجات (قرحات سطحيّة) أو نُفاطات (الشكل 9). قد تشترك عدة أشكال كأن تظهر خطوط بيض وأخرى رماديّة بشكل شبكي على سطح حُمامى؛ أو تقرُّح سطحي مُصفر مُحاط بحمامى، وقد تظهر في المستعدين للتصبغ لطخات بنية على مخاطية الفم (مُلان التهابي). تستمر الآفات لسنوات مع فترات هدوء واشتداد، وتعزى فترات الاشتداد إلى الشدة النفسية والقلق. يعدّ الداء مرضاً مناعياً ذاتياً بالوساطة الخُلوية التائيَّة. أما المستضد المسبب فغير معروف وقد يكون ذاتياً دوائياً (الأدوية المضادة للالتهاب غير الستيروئيدية، مضادات الملاريا، حاصرات بيتا، السلفونيلوريا، ومثبطات محوِّل الأنجيوتنسين)، أو يكون محسسات موجودة في معاجين الأسنان ومواد ترميم الأسنان، أو رضحاً (ظاهرة كوبنر) كسن خشنة وبديلات سنيّة أو عضّ اللسان والخد، أو خمجاً ڤيروسياً، كما ذكر حدوثه بعد زرع خلايا جذعيَّة غيرية مكوِّنة للدم. قد يرافق الحزاز المسطح الفموي أمراضاً مناعية أخرى كالحاصَّة البقعية، والتهاب الجلد والعضلات والحزاز التصلبي الضموري والقُشيعة والبهاق والتهاب القولون القرحي وأدواء كبديًّة كالتهاب الكبد من نمط C والتشمع الصفراوي الأولي. يشاهد الحزاز المسطح الفموي في 1-2% من الناس، ويصيب النساء أكثر قليلاً من الرجال وبعمر فوق 40 سنة. تسبب الأشكال الحمامية الضمورية أو التقرحية ألما فموياً وانزعاجاً حين تناول التوابل والحوامض والأطعمة السّاخنة، وهي تحمل بعض الخطورة، ففي أقل من 5% من المرضى قد يتطور لسرطانة حرشفيّة.
المعالجة: غايتها إزالة الألم والآفات الفموية وإزالة خطر سرطان الفم والمحافظة على صحة الفم. ليس هناك علاج شاف وأهمُّ ما يجب العمل به هو: إبعاد العوامل المحرّضة لسورات المرض وتبديل الدواء المشكوك بإحداثه للمرض، وتنبيه المرضى لخطورة التدخين والكحول ونصحهم بتناول الخضار والفواكه الطازجة وتطبيق الستيروئيدات الموضعيَّة، أما في الحالات المعنِّدة على الكورتيزونات فقد تحدث الاستجابة للتاكروليموس الموضعي. ومن المعالجات الأخرى هيدروكسي كلوروكين وازاتيوبرين والدابوسن والستيروئيدات المجموعيَّة والريتينوئيدات الموضعية والمجموعيَّة.
2- الصدفية (الصداف) psoriasis:
تتظاهر على نحو استثنائي ونادر على الشفتين واللسان والحنك والمخاطية الشدقية واللثة. لا يمكن تمييز اللسان الصدفي من اللسان الجغرافي، ويكثر حدوث اللسان المتشقق في المصابين بالصداف. ميَّز بيندبورغ موجودات ثلاثة في الصداف الفموي: حطاطات صغيرة مبيضة تبدي نقاطاً نزفية عند كشطها، ولويحات بيض وحمر، ولطخات حمر لامعة. يتم تشخيص الصداف بالخزعة، ونادراً ما يظهر الصداف الفموي من دون إصابة جلدية.
3- أدواء المناعة الذاتية الفقاعية:
أ- الفقاع pemphigus: هو مرض جلدي مناعي ذاتي حالّ للأشواك تهاجم فيه الأضداد الخلايا الشائكة القرنية في الجلد والفم مسببةً ظهور حويصلات رخوة وفقاعات سرعان ما تتمزق لتبدو آفات سحجيّة قرحيّة سطحيّة غير منتظمة ومؤلمة (الشكل 10). يبدأ المرض في 50% من الحالات بآفات فموية، ومن المؤكد إصابة جميع المرضى بآفات فموية في مرحلة من مراحل مرضهم. أغلب المرضى من الكهول وهناك استعداد جيني واضح للإصابة. أكثر ما تظهر الآفات في أماكن الرضح الميكانيكي كالخط بين شراع الحنك والحنك العظمي والشفتين والمخاطية الشدقية واللسان وأحياناً اللثة. تكون الظهارة هشة وتزال بسهولة (علامة نيكولسكي) من دون نزف. قد يتلو مرض الفقاع تناول بعض الأدوية كأدوية الضغط (كابتات محول الأنجيوتنسين) والعوامل الخالبة كالبنسيلامين.
ب- شبيه الفقاع pemphigoid: يتميز منه شكلان: شبيه الفقاع الفقاعي BP وشبيه الفقاع السليم للغشاء المخاطي BMMP أو شبيه الفقاع الندبي. تنفصل الظهارة عن النسيج الضام عبر الصفيحة الصافية lamina lucida للغشاء القاعدي مؤديةً إلى نفاطات. تصاب النساء أكثر من الرجال بعد العقد الخامس من العمر. يصيب الشكل الأول من شبيه الفقاع BP الجلد أولاً ثم تصاب الأغشية المخاطية في أقل من نصف الحالات. أما الشكل الثاني BMMP فيصيب بصفة رئيسة المخاطية، ويصيب الجلد في أقل من 10% من الحالات.
الأعراض الفمويّة في الشكلين: التهاب لثة توسفي (كذلك يرى في الحزاز المسطح والفقاع) وهشاشة اللثة مما يعوق الطعام ويسبب الألم. تظهر نفاطات على الحنك والمخاطية الشدقية والشفوية في 15-40% من الحالات، وإذا تمزقت الفقاعات يبدو نسيج نازف أحمر لامع على أطرافه مخاطية بيضاء ممزًقة. لا تترك آفات شبيه الفقاع ندبات بالرغم من عمقها. يُفرق عن الحزاز المسطح والفقاع بالفحص النسجي والنسجي المناعي؛ إذ تتوضعIgG وC3 على طول الغشاء القاعدي. تعتمد المعالجة على الدابسون والستيروئيدات داخلياً وسيكلوفوسفاميد أو أزاتيوبرين.
ج- الجُلاد الفقاعي الغلوبوليني الخطي IgA.
د- انحلال البشرة الفقاعي المكتسب.
هـ- الذأب الحمامي المجموعي الفقاعي.
و- الفقاع المصاحب للورم: كالساركومة اللمفيَة.
4- الشواك الأسود acanthosis nigricans:
تحدث التظاهرات الفموية في 25% من مرضى الشواك الأسود الخبيث (ليس النمط السليم منه)، تظهر الأورام الحليميَة على الشفتين واللسان والحنك مع فرط تنسَُج لثوي بين الأسنان.
5- الذأب الحمامي lupus erythematous.
6- صلابة الجلد scleroderma:
تتضيق النسج الرخوة حول الفم في صلابة الجلد، وقد يحدث ضزز trismus وجفاف الفم وتبدلات النسج الداعمة للأسنان وعظام الفك؛ مما يؤدي إلى صعوبات في المضغ والبلع وإلى فقدان الأسنان.
خامساً- التظاهرات الفموية للمعالجات الدوائية:
فيما يلي أهم التظاهرات الفموية وما قد يسببها من أدوية:
1- جفاف الفم:
ويسببه: مضادات الاكتئاب ومضادات الذهان وخافضات الضغط ومضادات الهيستامين ومضادات الكولينات ومضادات الاحتقان.
2- التورم:
ويسببه: البنسلينات والأسبرين والسلفا ومثبطات الإنزيم المحول للأنجيوتنسين.
3- التقرح اللانوعي والتهاب الغشاء المخاطي:
ويسببه: مضادات الأورام (الميتوتركسات و5 فلوروراسيل والدوكسوروبيسين والملفالان) والبربيتورات والدابسون ومشتقات الفينازون والفنولفتالئين والسلفوناميدات والتتراسكلينات ومضادات الالتهاب غير الستيروئيدية والميبروبامات والمتيل دوبا والبنسيلامين والفنيل بوتازون وبروبانولول والتيازيدات والتولبوتاميد والفينيتوئين والمستحضرات الموضعية التي تحوي الأسبرين أو الفنول أو الهدروجين بيروكسيد.
4- آفات حويصلية فقاعية أو قرحيّة تقلد الأمراض المناعيَة:
أ- آفات تشبهُ الحزاز المسطح: قد يحدثها الألوبورينول والأمفوترسين ب ومضادات الملاريا والزرنيخ وحاصرات بيتا والبزموت والكابتوبريل والكاربامازيبين والكلوروتيازيد والكلوربروباميد والسيميتيدين والسيناريزين والسياناميد والدابسون والفنكلوفناك والفلوناريزين والفوروسميد وأملاح الذهب والإيزوذتيازيد والكيتوكونازول والليفاميزول والليتيوم واللورازيبام والزئبق ومتيل دوبا والميتوبروبازين والبالاديوم والاوكسبرينولول وحمض بارا- امينوساليسيليك والبيريميتامين والستربتومايسين والتتراسيكلين والتولبوتاميد والبيريتينول، والسبيرونولاكتون والتريبروليدين.
ب- آفات تشبه حمامى عديدة الأشكال: وقد يحدثها كل من المضادات الحيوية (البنسلينات ومضادات الملاريا والسلفوناميدات والتتراسكلينات) والألوبورينول والبربيتورات ومثبطات البروتياز ومضادات الالتهاب الستيروئيدية.
ج- آفات تشبه شبيه الفقاع: وقد تحدث بمضادات الرثية (بنسيلامين، ايبوبروفين، فيناسيتين) والأدوية القلبية الوعائية (فوروسيميد، كابتوبريل، كلونيدين) والمضادات الحيوية (بنسلين، سلفوناميد) والأدوية المحتوية على التيول ومشتقات السلفوناميد.
د- آفات تشبه الفقاع: وقد تحدث بألفا مركابتوبروبيونيل والغليسين والأمبيسيلين والكابتوبريل والسيفالكسين والايتامبوتول والذهب والايبوبروفين والبنسيلامين والفينوباربيتال والفنيل بوتازون والبيروكسيكام والبروبانولول والريفامبيسين.
آفات تشبه الذأب الحمامي: وقد تحدث بالكاربامازيبين والذهب والغريزيوفلفين والهيدانتوئين والهيدرالازين والإيزوتيازيد والليتيوم ومتيل دوبا والبنسيلامين والكينيدين والرزربين والستربتومايسين والتيوراسيل.
5- التصبغ:
قد يحدث بالأميودارون ومضادات الملاريا والكلوفازيمين والإستروجين والسيكلوفوسفاميد والكيتوكونازول والمينوسكلين والفينيل بوتازون والمهدئات (كلوربرومازين) والمعادن الثقيلة.
6- الضخامة اللثويَة:
قد تحدث بحاصرات قنوات الكلسيوم (أملوديبين، بيريديل، فيلوديبين) وبالديهيدروبيريدينات (بليومايسين) والسيكلوسبورين والفينيتوئين وفالبروات الصوديوم.
سادساً- القيلة المخاطية والكيسة الضفيدعية:
تنشأ القيلة المخاطية mucocele من الغدد اللعابية الصغيرة ويرافقها احتباس مخاطي وتسربه في النسج الرخوة المحيطة. أما الكيسة الضفيدعية ranula فتنشأ من الغدد اللعابية الكبيرة وعلى نحو خاص من الغدة تحت اللسان وأقنية ريفيني للغدد تحت اللسان وفي قناة وارتون للغدة تحت الفك وتقسم إلى كيسات فموية ورقبية أو غاطسة.
الفيزيولوجيا المرضية: انقطاع القناة المفرغة للغدة اللعابية الصغيرة نتيجة أذية رضحيّة (رضح على الوجه أو الفم، كعض الشفة السفلى الذاتي أو التحريك المفاجئ للّسان، رض في أثناء الولادة قد يسبب قيلة مخاطية في الوليد)، أو انسداد القناة المفرِغة. كما يسهم في تشكل القيلات تبدل وظيفة الغدة اللعابية الصغيرة وتركيب اللعاب حيث تزداد الإنزيمات الحالّة للبروتين في اللعاب.
من الأسباب المؤدية إلى انسداد القناة المفرغة وتشكل الكيسات الضفيدعية: الحصاة اللعابية، والتشوه الولادي وعدم تكوّن القناة المفرغة وتضيق القناة وتليّف حول القناة أو ورم.
المظهر السريري: تظهر القيلة المخاطية في أي مكان من مخاطية الفم توجد فيه الغدد المخاطية الصغيرة، لكن 75-80% منها تشاهد على الشفة السفلى، وتتظاهر بتورم غير مؤلم متحرك بالجسّ، مقبَّب، مغطى بظهارة سليمة بقطر أقل من 1.5سم (الشكل 11). هناك قيلة Blandin and Nuhn التي تظهر على الخط المتوسط للوجه السفلي الأمامي للسان بشكل يشبه السليلة. أما القيلات السطحية التي تظهر على شراع الحنك فتبدو بشكل حويصلات متعددة صغيرة متوترة شافة مقبَّبة تشفى خلال أيام، وقد يسببها تخريش التبغ والحرارة في المدخنين.
أما الكيسة الضفيدعية الفموية فتظهر بشكل كتلة شافة مزرقة وحيدة الجانب على قاع الفم (الشكل 12)، وقد تكون مؤلمة تعوق الكلام والمضغ والبلع وأحياناً التنفس.
![]() | ![]() | ||
| الشكل (11) قيلو مخاطية في موضع نموذجي ( باطن الشفة السفلى) | الشكل (12) كيسة ضفدعية فموية وحيدة الجانب عند شاب ، متظاهرة بتورم بنفسجي في قاع الفم |
المعالجة: قد تشفى القيلة تلقائياً ولاسيما عند الرضع والأطفال. أما الرشف aspiration فغالباً ما يتبعه النكس. يمكن اللجوء إلى التسليخ dissection أو الاستئصال بالليزر أو الجراحة القرِّيّة أو الكي الكهربائي. والقيلات السطحية لا تحتاج إلى تدخل جراحي ما لم تتكرر. أما الكيسة الضفيدعية فيفضل فيها الجراحة وعالجها بعضهم بنجاح بالتصليب أو بحقن ذيفان البوتولينيوم لإزالة تعصيب الأعصاب الودية المسؤولة عن الإلعاب.
سابعاً- آفات الأغشية المخاطية الفموية:
1- قرحات الفم:
الأسباب العامة لقرحات مخاطية الفم:
> عوامل رضحية (حرارية، كيميائية، فيزيائية).
> التهاب الفم القلاعي.
> عوامل خمجيّة (ڤيروسية أو جرثومية أو فطرية).
> أرج تماسي أو جهازي.
> أورام.
> أمراض مجموعيّة (اضطراب مناعي ذاتي أو دموي أو وعائي).
أ- القرحات الفموية الرضحيّة:
تبدأ فجأةً وتشفى تلقائياً خلال أيام أو أسابيع. أهم أسبابها: رضح ذاتي ناتج من حافة سنية حادة أو طعام أو فرشاة أسنان أو بدائل سنية غير مطابقة أو رضوح ناجمة عن تطبيق جهاز تقويم الأسنان أو جهاز الإطباق أو رض ناتج من حادث.
![]() |
| الشكل (13) قرحة يوزينية غير شافية جاسئة على السطح الجانبي للسان . ارتبطت الآفة بسن مكسور مجاور |
القرحة اليوزينيّة eosinophilic ulcer: هي قرحة رضية وحيدة غير منتظمة يغطيها غشاء فبريني مع هالة حماميّة وقد تتقيح. تكون حواف القرحة مرتفعة جاسئة يراوح قطرها من ملليمترات إلى 7-8سم (الشكل 13). تظهر في أي مكان من المخاطية لكنها تتوضع على اللسان في نحو 60% من الحالات. ويُعد داء Riga-Fede شكلاً من القرحة اليوزينيّة تظهر في الرضع وحديثي الولادة على الوجه السفلي الأمامي للسان بسبب الرّض الناجم عن القواطع السفليّة اللبنيّة في أثناء الرضاعة مسببة إزعاجاً لهم في حينها.
ب- التهاب الفم القلاعي aphthous stomatitis - القرحات القلاعية الناكسة recurrent aphthous ulcers أو قرحات كانكر:
هي أكثر آفات الأغشية المخاطية مشاهدةً (تصيب نحو 2-66% من الناس، والنساء أكثر إصابةً بها من الرجال).
التقسيم المدرسي السريري للقلاع الناكس:
![]() |
| الشكل (14) قرحات قلاعية على المخاطية الشفوية و اليزابة |
(1)- قرحة قلاعية ناكسة صغيرة: وهي الأكثر شيوعاً وتبدأ غالباً في الطفولة. تظهر في أشخاص أصحاء بشكل قرحة مؤلمة ضحلة محددة، قطرها أقل من 1سم، قد تكون وحيدة أو متعددّة على المخاطية المبطنة، محيطها حمامي مرتفع قليلاً وقد يغطي قاعدتها فبرين أبيض، تشفى خلال 5-7 أيام من دون ترك ندبة (الشكل 14).
(2)- قرحة قلاعية ناكسة كبيرة: وهي أقل شيوعاً، تظهر بشكل بيضوي، قطرها يزيد على 1سم، قد تكون متعددة، عميقة، متلاقية، حوافها غير منتظمة، وقد تستمر ستة أسابيع حتى شفائها تاركةً ندبة. تبدأ هذه القرحة عادةً بعد البلوغ وتلازم حياة المريض وهي قليلة الحدوث بعد الكهولة.
(3)- قرحة قلاعية حلئية الشكل: هي أصغر القرحات القلاعية؛ إذ لا يزيد قطرها على 1ملم وتميل إلى الحدوث بشكل عناقيد، تتألف من عشرات أو مئات القرحات الدقيقة. تبدأ بالظهور في العقد الثاني من العمر، وقد يزداد تكرار الهجمات وشدتها في العقد الثالث والرابع ليتناقص مع تقدم العمر.
تصيب القرحة القلاعية الناكسة السطح غير المتقرن أو قليل التقرن في كلٍ من مخاطية الفم ومخاطية الشفة والمخاطية الشدقية والثلم الفكي العلوي والسفلي واللثة غير الملتصقة وشراع الحنك والحفرات اللوزية وقاع الفم والسطح السفلي للسان. كما قد تصاب الأغشية المخاطية التناسليّة. وقد تشترك القرحات القلاعية الناكسة مع الذأب الحمامي المجموعي والداء المعوي الالتهابي وعوز الحديد وعوز ڤيتامين ب6 وعوز ڤيتامين ب12.
العوامل السببية للمرض غير واضحة وأهمها:
> العوامل الوراثية.
> العوز الدموي: الحديد والفولات وب1 وب2 وب6 و ب12.
> سوء التوازن المناعي: للوحيدات واللمفاويات فعل سمي في الظهارة الفموية حيث تسود الخلايا التائيّة المساعدة في المرحلة ما قبل حدوث التّقرح وفي مرحلة الشفاء، في حين تسود الخلايا التائيّة الكابتة في مرحلة التقرح.
> الخمج الجرثومي: أخفقت الدراسات في تأكيد شأن ڤيروس الحلأ، وقد تكون القرحة القلاعية الناكسة استجابة مناعيّة لمستضدات من نوع المكورات العقديّة والملوية البوابيّة Helicobacter pylori.
العوامل المحرضة للنكس: الدورة الشهرية والرضح والشدة النفسية وعوز ڤيتاميني وأرج لبعض الأطعمة والمواد الكيميائية.
ج- متلازمة بهجتBehçet’s syndrome أو داء بهجت:
هي مرض مجموعي متعدد يبدأ في أي عمر لكنّه أكثر شيوعاً في العقد الثالث. قد تسبق ظهور داء بهجت بـ 6 أشهر إلى 6 سنوات بعض الأعراض كالوهن ونقص الشهية ونقص الوزن والصداع والتعرق وهبوط الحرارة أو ارتفاعها وتضخم العقد اللمفيّة والألم القصي أو الصدغي أو قصة التهاب بلعوم أو لوزتين متكرر وآلام عضلية واحمرار الأطراف المؤلم الهاجر من دون التهاب مفاصل واضح.
![]() |
| الشكل (15) قلاع صغير في متلازمة بهجت |
يُعتمد حديثاً في تشخيص داء بهجت على المعيار الدولي لعام 1990 فيوضع التشخيص بحدوث تقرح فموي راجع قلاعي كبير أو صغير أو حلئي الشكل ينكس 3 مرات على الأقل خلال 12 شهراً إضافة إلى اثنين مما يلي:
> تقرح تناسلي راجع recurrent.
> آفات عينية.
> آفات جلدية.
> إيجابية اختبار الأرجية المتعددة.
الأعراض السريرية:
> القرحات الفموية: لا تميز من القلاع الشائع وتستمر أسبوعاً إلى أسبوعين ثم تشفى من دون ندبة. تصيب اللسان والشفتين والمخاطية الشدقية واللثة. تراوح الفترة بين النكسين بين أسابيع إلى أشهر. وتصنف في ثلاثة نماذج: صغيرة (الشكل 15) وكبيرة وحلئية الشكل.
> القرحات التناسليّة: تشبه القرحة الفموية لكنها قد تترك ندبة. تشاهد في 56-97% من الحالات وتعد عرضاً ثانوياً للقرحة الفموية. تظهر القرحات في الرجال على الصفن والقضيب والمنطقة الأربيّة. أما في الإناث فتظهر على الفرج والمهبل وعنق الرحم والمنطقة الأربيّة، كما قد تظهر على فوهة الإحليل وحول الشرج.
> التظاهرات الجلديّة: آفات تشبه الحمامى العقِدة، إضافة إلى طفح حطاطي بثري، وآفات تشبه الحمامى عديدة الأشكال والتهاب الوريد الخثري والقرحات وآفات تشبه متلازمة سويت والتهاب أوعية فقاعي منخر، تقيح الجلد الغنغريني، وارتكاس جلد التهابي غير نوعي تجاه أي خدش أو بعد حقن سائل ملحي داخل الأدمة.
> التظاهرات العينية: تظهر في 47-65% من المرضى. وأهمها التهاب العنبيّة الخلفي، التهاب وعائي شبكي. ومن الآفات الأخرى للتظاهرات العينية: التهاب العنبية الأمامي والتهاب القزحيّة والهدابى والتهاب المشيميّة والشبكيّة والتهاب الصلبة والتهاب القرنيّة والنزف الزجاجي والتهاب العصب البصري والتهاب الملتحمة وانسداد الوريد الشبكي. وتتناقص الرؤية بسبب الزرق الثانوي أو الساد أو النزف الزجاجي. وقد يحدث عمى مفاجئ بسبب خثرة الوريد الشبكي أو ضمور العصب البصري.
> التظاهرات الوعائيّة: انسداد شرياني وانسداد وريدي وأمهات دم ودوالٍ.
> التظاهرات المفصليّة: يشكو نصف المرضى من التهاب مفاصل أو التهاب الزليل. ويعد التهاب المفاصل المظهر الثانوي الأكثر شيوعاً في الأطفال.
> التظاهرات العصبيّة: متلازمة جذع الدماغ والتهاب السحايا والنخاع.
> الأرجيّة المتعدّدة pathergy (فرط تفاعلية جلديّة): يجرى الاختبار بوخز إبرة أو حقن محلول ملحي أو هيستامين ممدد داخل الأدمة، وتكون الإيجابية بظهور احمرار وبثرة صغيرة عقيمة في مكان الوخز بسبب فرط فعالية الجلد.
الأسباب:
> وراثية مناعية:HLA-B51 ، أليل B101، أليل M1CA6.
> إصابة ڤيروسية وجرثومية: أشار بهجت إلى ڤيروس الحلأ الشائع والمكورات العقدية كعامل مسبب.
د- متلازمة رايتر Reiter’s syndrome :
تظهر فيها آفات فموية تشبه القلاع لكنها تحدث على المخاطية المضغية والمبطنة على حدٍ سواء، تميل إلى أن تكون بشكل مجموعات، وهي أقل ألماً من القلاع وتشفى تلقائياً.
هـ- الحساسية للغلوتين gluten sensitivity :
تظهر فيها تقرحات فموية شبيهة بالقلاعية إضافة إلى المرض المعوي.
و- الحُمامى متعددة الأشكال erythema multiformis :
قد تظهر فيها قرحات متجلبة على الشفتين وقرحات سطحية مختلفة الأحجام والأشكال على مخاطية الفم.
2- التهابات الفم:
أ- التهاب الفم التماسي contact stomatitis:
تتحمل مخاطية الفم المؤرجات والمخرشات عادةً لعدة أسباب:
> التروية العالية التي تساند الامتصاص وتمنع التماس المديد بالمؤرجات.
> قلة كثافة خلايا لانغرهانس والخلايا اللمفاوية التائيّة.
> تمدد المؤرجات باللعاب الذي يدرأ أيضاً المركبات القلوية.
![]() |
| الشكل (16) ارتكاس أرجي تماسي بسبب مادة النيكل الموجدة في تقويم الأسنان |
يحدث التهاب الفم التماسي في كل الأعمار مع ميله إلى الازدياد في كبار السن، وكثيراً ما يشفى قبل أن يلاحظه المريض. وقد يشكو بعض المرضى حس حرق أو ألماً أو طعماً سيئاً في الفم، ولعاباً مفرطاً وحكة حول الفم.
الأشكال السريرية:
> آفات حمامية موضعة أو منتشرة: غالباً ما تترافق ووذمة. والعرض الشائع هو حس الحرق، وأهم أسبابه معاجين الأسنان وغسولات الفم ومواد الأسنان واللُبانات المنكهة.
> تآكلات وتقرحات: تالية لحويصلات ونُفاطات. تظهر على مناطق متعطّنة خشنة بيضاء، مغطاة بنضحة بيضاء مصفرة مع هالة حّمامية، وهي مؤلمة. أما سببها فقد يكون تناول مركبات تجميلية خطأً أو التماس الطويل مع حبوب الأسبرين أو الڤيتامين C، أو المستحضرات المستعملة للعناية بالأسنان، ونادراً الأملاح المعدنية والأكريلات.
> آفات شبيهة بالطلوان: كما في التحسس بتماس النيكل (الشكل 16) والمعادن الأخرى. أغلب ما تظهر على الجزء المتوسط من الخد.
> ارتكاس حزازي الشكل: قد يتلو التماس بالملغم المستخدم لترميم الأسنان.
![]() |
| الشكل (17) شرى تماسي في اللسان عند مريض يشكو من أرج الانكس |
> شرى تماسي: يتظاهر بتورم الشفتين واللسان والمخاطية الشدقية واللثة. ويحدث فجأة ترافقه حكة شديدة وأحياناً انسداد الممر الهوائي العلوي. وسببه مادة اللاتكس حين تماسها مخاطية الفم بقفازات الطبيب وبعض الأدوات السنية في أثناء معالجة الأسنان. كما يحدث أرجٌ في المتحسسين لّلاتكس (الشكل 17) بعد تناول بعض الخضار والفواكه ولاسيما الموز والكستناء والأفوكادو والكيوي (متلازمة لاتكس- فواكه).
> متلازمة الفم الحارق: تتصف بحس حرق وجفاف مخاطية الفم يتحسنان مع تناول الوجبات. يبدو أن الاضطراب ذو منشأ نفسي مع اتهام الكثير من المؤرجات.
> وُرام حُبيبي فموي وجهي: قد يسوء بالتماس بالزئبق والذهب والأطعمة، وقد يتحسن بعد رفع المحسسات المتهمة.
ب- التهابات الفم الخمجية:
(1)- التهاب الفم الڤيروسي:
أكثر الأسباب شيوعاً للأمراض الڤيروسية الأولية في باطن الفم هي من نمط HHV (الڤيروس الحلئي البشري) وHPV (ڤيروس الورم الحُليمي البشري) إضافة إلى ڤيروسات أخرى قد تصيب جوف الفم عند الإنسان وتؤدي إلى أمراض موضعية أو مجموعية وأهمها: ڤيروس كوكساكي والنكاف والحصبة والحصبة الألمانية.
> ڤيروس HHV: قد يكون أولياً أو ناكساً وله ثمانية أنماط تسبب أمراضاً في الفم.
![]() |
| الشكل (18) طلوان مشعر فموي ، لويحة بيضاء علةى الحافة الجانبية للسان |
> الطلوان المشعّر الفموي oral hairy leucoplakia: يظهر في الأشخاص مكبوتي المناعة، المصابين بالإيدز وخاصة المدخنين والمصابين بابيضاض الدم وبعد زرع الأعضاء إضافة إلى المعالجات الكيميائية الكابتة للمناعة. يبدأ المرض على طول الحواف الجانبية للسان على نحو غير متناظر بآفات بيض متسمكة لاصقة، يبدو سطحها بمنظر مشعّر في الحالات الشديدة (الشكل 18). وقد تمتد الآفات أحياناً إلى الوجه السفلي للسان وقاع الفم واللوزتين والبلعوم من دون المظهر المشعّر.
> ڤيروس HPV (human papilloma virus ) : وأهم ما يسبب:
٭ الثآليل الشائعة: سببها غالباً HPV-2، HPV-4. وقد تظهر على المخاطية الفموية فتكون لاطئة ثؤلولية وبيضاء، وحيدة أو متعددة. تظهر على الشفتين أو الحنك العظمي أو اللثة.
٭ اللقموم المؤنّف أو الثآليل التناسلية: يسببها HPV-6، HPV-11. قد يصيب مخاطية الفم حيث تكون الآفات قنبيطية مشققة، وحيدة أو متعددة تظهر على المخاطية غير المتقرنة.
٭ داء هيك Heck s disease أو فرط التنسّج الظهاري البؤري: يسببه ڤيروس HPV-13، HPV-32.
٭ الخباثة الفموية: قد يكون لكلٍ من HPV-16، HPV-18، HPV-33، HPV-35 شأن في إحداثها.
٭ ڤيروس كوكساكي :A وأهم ما يسبب: الذباح الحلئي herpangina، وداء اليد - القدم والفم.
(2)- التهابات الفم الفطرية:
أكثرها شيوعاً داء المبيضات. وهناك أخماج فطرية نادراً ما تصيب الأصحاء إلا في المناطق المتوطنة يُذكر منها: داء الرشاشيات، داء المستخفيات، داء الفُطار البرعمي، داء الفطار نظير الكرواني وداء الفطار العفني.
داء المبيضات :candidiasis السبب السائد لأغلب حالات داء المبيضات هو المبيضات البيض Candida albicans، وهناك أنواع أخرى مثل المبيضة كروزي في منقوصي المناعة والمبيضة غلابرا في المتعرضين للإشعاع لمعالجة سرطان الرأس أو العنق، ومبيضة دوبلينينسيس في المصابين بالإيدز. تعيش المبيضة البيضاء متعايشة في الفم وتصبح ممرضة في ظروف معينة.
لداء المبيضات الفموي أربعة نماذج:
![]() |
| الشكل (19) داء مبيضات فموي على المخاطية الشدقية و ظهر اللسان |
> داء المبيضات الحاد الغشائي الكاذب (السلاق thrush): يشاهد في حديثي الولادة الأصحاء أو في الأشخاص الذين يشكون من جفاف الفم أو يتناولون المضادات الحيوية أو الستيروئيدات موضعياً أو داخلياً أو رذاذاً. يؤهب للإصابة به كل من: خمج HIV، والمعالجة الكابتة للمناعة وابيضاضات الدم واللمفومات والسرطان والسكري. يتجلى ببقع بيض مخملية على المخاطية الشدقية واللسان (الشكل 19)، تنمو ببطء لتتحول للويحات متلاقية تشبه الحليب المتخثر، وينكشف حين إزالتها سطح حُمامي معرّى نازف أحياناً.
> داء المبيضات الحاد الفموي (الحُمامي): قد يؤدي إلى قرحة في الفم ولاسيما على اللسان في الأشخاص الذين يتناولون مضادات حيوية واسعة الطيف، وقد يترافق والتهاب الفم الزاوي أو يكون مظهراً لخمج HIV.
> داء المبيضات المزمن مفرط التنسّج: ومن أشكاله السريرية التهاب الفم الزاوي وحيد الجانب أو ثنائي الجانب، والطلوان، والتهاب اللسان المعيني الناصف والآفات الحنكية.
> داء المبيضات المزمن الضموري (التهاب فم مرتبط بالبديلة السنية).
تزداد الإصابة بالمبيضات في الفم ولاسيما في النساء في الظروف التالية:
٭ في أشهر الصيف.
٭ حين يكون اللعاب حامضياً.
٭ حين يشكو المريض من جفاف الفم.
٭ في أثناء النوم تزداد المبيضات وتبلغ ذروتها في الصباح الباكر ثم تنقص بتناول وجبة الطعام وتنظيف الأسنان.
٭ وضع البدائل السنية يزيد من تعداد المبيضات الصباحي.
٭ التدخين يزيد تعداد المبيضات في 30-70% من المدخنين ولاسيما المصابين بالـHIV.
٭ المعالجة بالتتراسكلينات.
المعالجة: في حديثي الولادة غير ضرورية لأن الآفات تشفى تلقائياً خلال أسبوعين. وفي الحالات الخفيفة قد تفيد الحبوب المضادة للحموضة، استخدام فرشاة أسنان طرية، غسل الفم بمحلول ممدد من هدروجين بيروكسيد 3% ومراقبة سكر الدم في السكريين. وفي الحالات الشديدة يعطى غسول مضاد للفطور كلوتريمازول.
في الحالات المزمنة تعطى:
٭ المركبات المضادة للفطور داخلياً وأهمها ايتراكونازول 200ملغ يومياً، كيتوكونازول أو - فلوكونازول 50-200ملغ يومياً.
٭ محرضات المناعة: عامل النقل TF لرفع المناعة الخلوية.
٭ سيميتيدين 400ملغ ثلاث مرات يومياً.
٭ سلفات الزنك 200ملغ يومياً مدة 16 شهراً والحديد.
(3)- التهاب الفم الجرثومي:
قد يكون التهاب الفم بؤرة خمجية تؤدي إلى إصابة أجهزة حيوية مهمة كالجهاز القلبي الوعائي والبولي والدماغي.
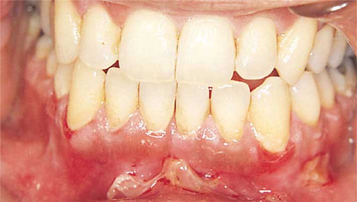
> التهاب اللثة القرحي الناخر الحاد acute necrotizing ulcerative gingivitis: سببه العصيات المغزلية أو اللولبية التي تصبح ممرضة في الفم نتيجة ضعف المناعة. أصبح هذا الالتهاب اليوم نادراً. ومن العوامل المؤهبة له: قلة العناية بنظافة الفم وسوء التغذية والتوتر النفسي والتدخين. تبدأ الإصابة في المنطقة الأمامية السفلى لباطن الفم ثم تمتد إلى المنطقة العليا ثم الخلفية. يتظاهر الالتهاب فجأة بألم ونزف لثوي وصعوبة في تناول الطعام ورائحة كريهة من الفم وتنخر اللثة وتخشرها sloughing مؤدياً إلى الفراغات بين الأسنان. وقد يرافقه ترفع حروري وضخامة العقد اللمفية. يعالج بالمسكنات والصادات وغسولات الفم ويحتاج أحياناً إلى إنضار موضعي.
![]() |
| الشكل (20) التهاب دعائم الأسنان عند مصاب بالإيز . تآكلات مؤلمة على اللثة الهامشية مع رواسب سنية و نضحة |
> التهاب اللثة المزمن الهامشي marginal chronic gingivitis: مرض شائع ولا عرضي. سببه تشكل لويحة جرثومية على سطوح الأسنان قرب الثلم اللثوي. يتظاهر بحمامى ووذمة في اللثة الهامشية ونزف لأقل تماس ولاسيما في أثناء تنظيف الأسنان بالفرشاة. المعالجة بالاعتناء بنظافة الفم وإزالة القلح.
> التهاب دعائم الأسنان المزمن chronic periodontitis: التهاب شائع (الشكل 20) يحدث نتيجة إهمال التهاب اللثة. يتطور هذا الالتهاب ليؤدي في النهاية إلى فقد الأسنان بسبب إصابة الرابط بين السن والعظم. هناك شكل يصيب اليافعين من التهاب دعائم الأسنان يعرف بمتلازمة Papillon-Lefèvre يترافق وفرط تقرن راحي أخمصي.
العوامل المؤهبة:
٭ أمراض مجموعية كالسكري.
٭ الأدوية كالفنيتوئين والسيكلوسبورين والنيفيديبين.
٭ الأمراض المناعية والأدوية الكابتة للمناعة.
٭ داء كثرة المنسجات.
٭ التدخين.
المضاعفات: قد يخلق التهاب دعائم الأسنان المزمن بؤرة خمجية في الفم تؤدي إلى التهاب شغاف جرثومي تحت الحاد والتهاب كبب وكلية أوإصابة الجهاز الوعائي الدماغي.
> آكلة الفم noma، التهاب الفم المواتي: هو موات يخرب أغشية الفم المخاطية وأنسجة أخرى. يحدث في الأطفال سيئي التغذية والنظافة أو المصابين بالنكاف أو الحمى القرمزية أو السل أو السرطان أو القصور المناعي. يبدأ الالتهاب فجأة في اللثة وباطن الخدين، ويتطور سريعاً مؤدياً إلى تقرحات ناتحة كريهة الرائحة. تنتشر الإصابة في الشفتين والنسج الرخوة والعظام مؤدية إلى تشوهات. وقد تصاب الأعضاء التناسلية. المعالجة بالصادات مع تغذية جيدة وقد تحتاج إلى جراحة رأبية.
3- الطلوان والتقرانات:
أ- الطلوان leucoplakia:
هي آفة محتملة التسرطن تظهر على اللسان وباطن الخدين والشفة وعلى الأعضاء التناسلية الخارجية أحياناً.
أسبابها:
٭ التخريش والرضح المزمنان (بسبب سن حاد أو مكسور أو بديلة سنية أو حشوة سنية أو تيجان).
٭ التدخين والتبغ (ولاسيما مدخني الغليون أو الذين يمضغون التبغ أو نبات التنبول).
٭ الكحول.
٭ الأخماج (المبيضات والإفرنجي والخمج بفيروس أبستن - بار).
٭ المواد الكيميائية (مثلاً جذور الدموية sanguinaria). (جذور نبات من الفصيلة الخشخاشية يستعمل كمساعد على التقيؤ والتخلص من البلغم).
٭ العوز المناعي (خاصة المرضى الذين أجري لهم زرع أعضاء).
٭ قد يكون مجهول السبب idiopathic.
الأشكال السريرية:
> الطلوان المتجانس homogenous: يتصف بلطخات بيض رمادية ملس تظهر عادةً على الشفة المخاطية الشدقية أو اللثة (الشكل 21). وتتطور ببطء لتصبح خشنة (تقران المدخنين) تتصف بحساسيتها للحرارة والتوابل والمخرشات الأخرى. يبدو بالفحص النسجي ثَدَنdysplasia واضح في 25% من الحالات.
> التنسج الأحمر(erythroplakia) erythroplasia : هو آفة حمراء مخملية (الشكل 22) تصيب الجنسين في العقد السادس أو السابع من العمر. تظهر في قاع الفم، أو على الوجه السفلي للسان أو شراع الحنك. تبدي 75-90% من الآفات ثَدَناً شديداً أو سرطانة موضّعة.
> الطلوان المبقع:speckled لطخات بيض وحمر (الشكل 23).
> الطلوان الثؤلولي.
> الطلوان العقيدي.
> الطلوان المشعر.
المضاعفات: الشعور بعدم الراحة وخمج الآفات والتحول إلى السرطانة.
المعالجة:
٭ إزالة السبب المخرش.
٭ التوقف عن التدخين والكحول.
٭ إزالة كل آفة في الفم تبدي درجة من الثَدَن في الخزعة المأخوذة منها إما بالليزر وإما بالصعق الكهربائي وإما جراحياً بالمبضع وإما بالمسبار البارد. وذكر بعضهم فائدة دهن 5-فلوروراسيل.
ب- التقران النيكوتيني nicotinic keratosis :
يشاهد غالباً في مدخني الغليون أو مدخني السجائر أو الذين يمضغون التبغ؛ حيث يبدو الحنك محمراً ويتطور بعدها ببطء ليصبح أبيض خشناً متسمكاً سطحه متشقق. وقد تظهر عقيدات مسررة ذات مركز محمر بارز تمثل فوهات الغدد الحنكية المتضخمة (الشكل 24)، مما يؤدي إلى ظهور مخاطية الحنك بمنظر مرقّط أو مظهر مرصوف.
![]() | ![]() |
| الشكل (21) طلون متجانس على المخاطية الشدقية | الشكل (23) طلوان مبقع على اللسان |
![]() | ![]() |
| الشكل (22) تنسج أحمر في قاع الفم | الشكل (24) التهاب نيكوتيني عند مدخن ، يلاحظ فرط التقران و تورم الغدد اللعابية الصغيرة |
ج- الوحمة الإسفنجية البيضاء white sponge nevus:
![]() |
| الشكل (25) الإسفنجية البيضاء ( باطن الخد ) |
هي خلل تقرن مخاطي موروث كخلّة صبغية سائدة. قد تبدو منذ الولادة وتبلغ أقصى حجمها حين البلوغ ثم تبقى ثابتة. يعدّ جوف الفم أكثر المناطق التي تظهر فيها هذه الوحمة وتتجلى بمخاطية متسمكة بيضاء منتشرة (الشكل 25) وتكون التبدلات أكثر وضوحاً على المخاطية الشدقية واللسانية الوحشية. يشاهد بالفحص النسجي تسمك ظهاري مع شواك وخطل تقرن. ليس لها عقابيل ولا تحتاج إلى علاج. يجب تفريقها عن اللويحات البيض الفموية التي تظهر مرافقة لتثخن الأظفار الخلقي وخلل التقرن الولادي.
4- جفاف الفم xerostomia :
شكوى شائعة جداً يشعر معها بالانزعاج وصعوبة الكلام والمضغ والبلع؛ إضافة إلى فقد الآلية الوقائية الفموية بحيث يزداد تسوس الأسنان والأذيات المخاطية والقرحات.
الأسباب:
٭ استخدام الأدوية التي تؤثر في الغدد اللعابية كالأدوية الكيميائية وإشعاع الرأس والعنق في علاج السرطان والأمراض المناعية الذاتية، وهناك لائحة بالأدوية المسببة لجفاف الفم، وكل مستحضر له مفعول مضاد للكولين يسبب هذه الشكوى كما في حاصرات ألفا وبيتا ومضادات الهيستامين والمدرّات والمسكنات والملينات.
٭ الكافئين والكحول إذا أخذت بكميات كبيرة.
٭ بعض الأمراض كالسكري وارتفاع الضغط.
متلازمة جوغرن Sjögren syndrome: هي اضطراب مناعي ذاتي مجموعي مزمن يتميز بتخرب نسيجي غدي متعدد يصيب النساء أكثر من الرجال بعمر 40-60. تتجلى أعراضه الرئيسية في الكبار بجفاف الفم والملتحمة، أما في الصغار فغالباً ما تكون العلامة الأولية تورّم نكفي ثنائي الجانب.
التظاهرات الفموية: فم جاف ولسان جاف أحمر أملس، شفتان حمراوان جافتان ومتشققتان، وتشقق زاويتي الفم وداء مبيضات فموي مزمن والتهاب لثة وتورم الغدد النكفية تورماً ناكساً وتورم الغدد تحت الفك وتحت اللسان أحياناً.
الأسباب:
٭ عوامل وراثية: منها HLA-DBB1، HLA-DRB3.
٭ أخماج ڤيروسية: أبستن - بار وHIV، ڤيروس التهاب الكبد C والڤيروس المضخم للخلايا - خلل تنظيم مناعي ذاتي.
٭ عوز هرمون ستيروئيد الكظر والغدد القندية.
المعالجة: يجب تنبيه المريض على العناية بصحة فمه ونظافته وتناول الفلوريد لأنه معرض لنخر الأسنان والتهاب دعامة الأسنان وداء المبيضات. قد يفيد استخدام اللبانة من دون سكر وأخذ رشفات ماء تكراراً مع الامتناع عن التدخين والكحول. وقد يحتاج المريض أحياناً إلى المعالجة النفسية.
5- تصبغات الفم:
هناك آليات متعددة تؤدي إلى زيادة تصبغ باطن الفم:
أ- تصبغ فموي ملاني ناجم عن أسباب داخلية المنشأ:
![]() |
| الشكل (26) متلازمة بوتس جيكرز حول الفم |
![]() |
| الشكل (27) وشم الفم في توضع شائع على اللثة |
> متلازمة بويتز جيكرز Peutz-Jeghers: هي متلازمة ناجمة عن اضطراب صبغي جسدي سائد. تتصف بسليلات معوية ورامية عابيّة، تترافق مع بقع ملانية جلدية مخاطية بنية مختلفة الأحجام تظهر في أغلب الحالات حول الفم وعلى الشفتين والمخاطية الشدقية (الشكل 26). من أعراضها المهمة: الآلام البطنية الحادة والنزف المعوي والبلوغ المبكر وعدم انتظام الدورة الشهرية. ويزداد عند المصابين بها خطر الإصابة بالسرطان الهضمي والتناسلي والرئوي.
> داء أديسون.
ب- تصبغ فموي ناجم عن أسباب خارجية المنشأ:
> أصبح التعرض لمعادن ثقيلة كالفضة والبزموت والزرنيخ والزئبق والرصاص نادراً اليوم، وكان الصباغ الأسود الناجم عن المعادن يتوضع فيها بشكل شريط ضيق على طول هامش اللثة ولا يزول بالتنظيف. وقد تنزرع بعض الأصبغة في النسج الفموية من غير قصد كالوشم، كما يحدث بسبب الملغم المستخدم في حشوات الأسنان لاحتوائه على الفضة والزئبق، تتوضع حبيبات الملغم في أي منطقة من مخاطية الفم ولاسيما المخاطية السنخية أو اللثوية والمخاطية الشدقية (الشكل 27). تشاهد في المسنين بشكل بقعة غير مؤلمة سوداء أو زرقاء أو رمادية بقطر أقل من 0.5سم، وقد تتسع إذا طرأ عليها ارتكاس التهابي. تكون الخزعة أحياناً ضرورية لنفي الميلانوم.
> اللسان الأسود المشعّر: تتوضع فيه بقايا بعض المواد المصطبغة كالشاي والقهوة والتبغ على الحليمات الخيطية المتثخنة للسّان.
ج- تصبغ فموي ناجم عن فرط تنسج أو ورم:
وحمة الخلايا الملانينية لباطن الفم oral melanocytic nevus: غير شائعة نسبياً في أغشية الفم المخاطية؛ حيث تظهر على الحنك أو اللثة بشكل حطاطات ملس بنية أو سود قطرها أقل من 1سم. وتتوضع الخلايا الميلانينية إما داخل الظهارة المخاطية وإما تكون موصلية junctional أو مركبة أو وحمة زرقاء تتوضع الخلايا الميلانينية فيها توضعاً أعمق في الأدمة. قد تتحول الوحمة الموصلية إلى ميلانوم.
د- تصبغ فموي كيميائي، فيزيائي، أو علاجي المنشأ:
> مُلان المدخنين: ينتج من التدخين طويل الأمد. ويكون التصبغ موزعاً على طول لثة الأسنان الأمامية، كما قد يشاهد على شراع الحنك والمخاطية الشدقية وقاع الفم. يزول التصبغ بعد شهر من إيقاف التدخين.
> النمش السفعي actinic ephelis: يظهر بشكل بقع مصطبغة فاتحة على الشفتين ولاسيما الشفة السفلى نتيجة التعرض للشمس.
> الكلف: قد يظهر على الشفتين مع الوجه. يزداد مع الحمل وتناول مانعات الحمل والتعرض للشمس.
> الأدوية: وأهمها التتراسكلينات ومشتقات الكينين. تظهر في بعض المصابين بالإيدز تصبغات فموية تعزى لنقص نشاط الكظر أو لدواء ما ويبقى أحياناً مجهول السبب.
هـ- تصبغات الفم وعائية المنشأ:
هناك تبدلات صباغية الشكل شائعة في مخاطية الفم ناتجة من أصبغة داخلية المنشأ غير الميلانين تسبب آفات زرق تحتوي إما على الدم وإما على اللمف أو اللعاب أو القيح.
> الدوالي: تظهر على باطن الشفتين، والوجه السفلي للسان وقاع الفم. تشاهد في كبار السن بسبب فقدان الألياف المرنة وشبكة الكولاجين. قد تسبب حصاة وريدية أو خثارة.
> توسع الشعيرات (متلازمة أوسلر- ويبر- راندو).
> ورم وعائي دموي :hemangioma هناك متلازمات عديدة تتظاهر فيها أورام وعائية في مخاطية الفم.
> ساركومة (غرن) كابوزي.
> الآفات الزرق: كالكيسة المخاطية أو الأورام المفرزة للمخاط أو الأورام اللمفاوية.
> الصباغ الصفراوي: يحدث حين يكون البيليروبين مرتفعاً في المصل منذ فترة طويلة فيسبب تلون المخاطية الفموية باللون الأصفر أو الأخضر.
6- أورام الفم السليمة:
أ- داء هيك (فرط التنسج الظهاري البؤري):
اضطراب عائلي سليم يتظاهر بعُقيدات متعددة ملس لاطئة على السطح المخاطي للشفة السفلى أو المخاطية الشدقية قد تتراجع تلقائياً بعد عدة أشهر.
ب- الحبيبوم المقيح الفموي oral pyogenic granuloma:
هو ارتكاس نسيجي لرضح أو تخريش موضّع شبيه بالورم سطحه متقرح. أكثر ما يتشكل على اللثة بين الأسنان فيشبه الحبيبوم ذا الخلية العملاقة المطرّف. كما قد يظهر على الشفة وظهر اللسان وعلى المخاطية الشدقية. وهناك شكل خاص منه يسمى الورم الحملي يحدث في 1% من الحوامل.
ج- الحُليموم papilloma :
![]() |
| الشكل (28) حليموم على شراع الحنك |
أكثر ما يشاهد على الوصل بين شراع الحنك والحنك العظمي بشكل آفات بيض أو زهرية تشبه الثآليل (الشكل 28).
د- الكتلة الليفية fibrous lump:
شائعة في الفم في الكهول بشكل تورمات دائرية مسوّقة على اللثة، تكبر بسرعة ثم تتوقف عن النمو. مآلها جيد.
هـ- الورم اللثوي المتشقق epulis fissuratum :
هو فرط تنسج المخاطية الفموية ناتج من رضح مزمن خفيف من حافة بديلة سنيّة بارزة. يشاهد عادةً عند ميزابة الفك العلوي أو السفلي بشكل كتلة ملساء متشققة أو متقرّحة تطوّق حافة البديلة السنيّة.
و- بقع فوردايس Fordyce spots :
آفة سليمة منشؤها الغدد الزهمية المنتبذة تحت المخاطية تحوي شحوماً متعادلة. شائعة في 80% من الناس وتبدو أوضح في الرجال ذوي البشرة الدهنية. تتوضع على المخاطية الشدقية قرب الصوارين وأحياناً على الشفة العليا وخلف الرحى بشكل حبيبات صفر (الشكل 29). تزداد في المصابين بأمراض رثوية وتصبح أقل وضوحاً بعد تناول الإيزوتريتينوئين.
ز- من الأورام السليمة النادرة:
![]() |
| الشكل (29) بقع فوردايس ( غدد زهمية في المخاطية الشدقية ) |
الشوكوم القرني والورم الأصفر (الصفروم) ثؤلولي الشكل والورم الشحمي والورم المخاطي والورم العضلي الأملس والورم الليفي.
7- سرطانات الفم:
تؤلف سرطانات الفم 8% من السرطانات الجلدية الخبيثة، منها 90% سرطانة حرشفية الخلايا و10% سرطانات أخرى يذكر منها: أورام الغدد اللعابية والميلانوم الخبيث، واللمفومات والساركومات والأورام السنية المنشأ والأورام الفكية وأورام النسيج الضام وأورام العظام وكثرة المنسجات وغرن كابوزي.
أ- السرطانة حرشفية الخلايا squamous cell carcinoma:
أورام شائعة أكثر ما تشاهد في الرجال متوسطي العمر والمسنين.
الأسباب: متعددة العوامل ومرتبطة بنمط الحياة والعادات اليوميّة وأهمها:
٭ التدخين والكحوليّة: فالتدخين يفقد اللعاب قدرته المؤكسدة، وإنزيم نازعة الهدروجين الموجود في الكحول يؤكسد الإيتانول إلى أسيتالدهيد السام للخلية ويؤدي إلى إنتاج جذور حرة ضارة.
٭ التعرض المديد للشمس.
٭ الحمية الفقيرة بالخضار والفواكه.
٭ إهمال صحة الفم والأسنان.
٭ استخدام غسولات فم تحوي الكحول.
٭ عوامل خمجيّة: أهمها المبيضات البيض وڤيروس الحُليموم البشري والحلأ.
٭ التخريش المستمر.
٭ العوز المناعي والعيوب الاستقلابيّة. وحديثاً أمكن تمييز تبدلاتِ صبغية في المصابين بالسرطانة الحرشفية ولاسيما في الصبغيات 3 و9 و11 و17 تؤدي إلى خلل في مراقبة النمو الخلوي.
٭ أمراض فموية كالحزاز المسطح الفموي والذأب الحمامي والتليّف تحت المخاطي الفموي.
التظاهرات السريرية: قد تنشأ السرطانة حرشفية الخلايا على مخاطية سليمة ظاهرياً لكنها غالباً ما تنشأ على آفات واضحة سابقة للسرطان (طلوان أحمر وطلوان مبقع وطلوان ثؤلولي، ونادراً طلوان أبيض).
التوضعات السريريّة:
![]() |
| الشكل (30) سرطانة حرشفية الخلايا |
٭ أكثر توضعات السرطانة الحرشفية شيوعاً على الشفة السفلى وخاصة على الوصل المخاطي الجلدي، وذلك بشكل كتلة صغيرة أو قرحة أو آفة متجلبة (الشكل 30).
٭ اللسان على الثلث المتوسط للحواف الجانبية منه بشكل تنسج أحمر أو جساوة أو تقرح.
٭ قاع الفم بشكل كتلة متقرحة تسبب اضطراباً في الكلام.
٭ الأسناخ أو اللثة في منطقة الضواحك والرحى السفلية بشكل ورم لثوي أو قرحة.
٭ المخاطية الشدقية على الصوار أو خلف الرحى.
تحدث الانتقالات في سرطان الفم إلى العقد اللمفية الرقبية في 30-80% من الحالات ثم إلى الرئة والكبد، والعظام. المآل جيد إذا عولج السرطان باكراً قبل انتشاره، لذلك يجب متابعة كل آفة أو تقرح في الفم لا يشفى خلال شهر.
المعالجة: تكون بالاستئصال الجراحي إذا كان الورم صغيراً. أما إذا كان كبيراً ومنتقلاً إلى العقد اللمفية الرقبيّة فتفضل عندئذ المعالجة الشعاعية والكيميائية.
ب- السرطانة الثؤلوليّة:
تعد شكلاً من السرطانة الحرشفية لكنها بطيئة، وتخرب النسج المجاورة بشدة.
ج- ساركومة كابوزي :Kaposi sarcoma
![]() |
| الشكل (31) ساركومة في توضع نموذجي على الحنك مع مظهر زهري وصفي |
هو أكثر الأورام مشاهدة في حاملي ڤيروسHIV . غالباً ما تظهر الآفات الأولية على الحنك بشكل بقع أو لطخات مسطحة، حمر أو زرق (الشكل 31)، مختلفة الأحجام والأشكال ثم تصبح عقيدية متقرحة ونازفة. يتم تشخيصه بالخزعة لتفريقه عن الأورام الوعائية والورم الحُبيبي المقيَح. يعالج بحقن الآفات بالمواد المصلبة ويمكن رفع المناعة بالمعالجة بالزيدوفيودين zidovudine. أما في الحالات المتقدمة فيعالج بالإشعاع مع الأدوية الكيميائية كالـ doxorubicin أو من دون هذه الأدوية.
د- الميلانوم الخبيث malignant melanoma :
يؤلف 4% من خباثات الفم، ونسبة الميلانوم الأولي في الفم أقل من1% من الميلانومات. أكثر شيوعاً عند اليابانيين ونسبة إصابة الرجال إلى النساء 1/2 وبعمر أكثر من 40سنة. سببه غير معروف، وعلى عكس الملانوم الجلدي لا يوجد ثمة علاقة واضحة بين الميلانوم الفموي و العوامل الحرارية والكيميائية والفيزيائية، كما أنه نادراً ما تتحول الوحمة الميلانينية في الفم إلى سرطان ميلانيني. ينمو الميلانوم الخبيث الفموي بصمت؛ على نحوٍ لا ينتبه فيه معظم المرضى لآفاتهم التي تبدأ غير عرضيَة ببقعة مصطبغة بقطر 1ملم إلى 1سم، وأحياناً عقيدية أو مسوَقة تلتبس بآفات صباغية سليمة. يؤلف الميلانوم اللاملاني 5-35% من الميلانوم الفموي، ويبدو بشكل كتلة بيضاء أو بلون المخاطية مع غياب التصبغ. يحدث الألم والتقرح و النزف في مرحلة متأخرة للورم. التوضع الشائع هو الحنك ولثة الفك العلوي في 80% من الحالات. أما الملانوم النقيلي فهو أكثر شيوعاً على الفك السفلي واللسان والمخاطية الشدقية. ولا يمكن تطبيق معيار كلارك في الميلانوم الفموي. المآل سيئ فمتوسط العمر أقل من سنتين. المعالجة الدوائية غير مجدية، وقد يكون هناك بعض الفائدة بإشراك داكاربازين مع انترلوكين-2 أو انترفرون ألفا، أما المعالجة الإشعاعية فهي موضع المناقشة.
هـ- الأورام النقيلية الفموية:
غير شائعة وتؤلف 1% من أورام الفم، وأكثر السرطانات الأولية انتقالاً إلى جوف الفم هي سرطان الثدي والرئة والكلية والعظام والقولون والمستقيم والكبد.
8- الغلفانية galvanism في الفم:
يؤدي وجود المعادن في الفم (الملغم أو الذهب والزئبق أو الفولاذ المقاوم للصدأ والزئبق) إلى فعل غلفاني؛ إذ تقوم المعادن مقام المساري ويقوم اللعاب مقام الوسط الناقل. يتحرر الزئبق والمعادن الأخرى في اللعاب، ويتجمع الزئبق في الأرومات الليفية والبلاعم والخلايا العرطلة متعددة النوى للنسيج الضام الفموي في جدر الأوعية الدموية والألياف العصبية والغشاء القاعدي للظهارة المخاطية وألياف العضلات المخططة وحزم ألياف الكولاجين والألياف المرنة وعُنيبة الغدد اللعابية وجذور الأسنان وعظام الفك، وقد ينتقل إلى أنحاء أخرى من الجسم وبشكل أسرع من بقية المعادن عبر الدم و الأعصاب. وتزيد التيارات الكهربائية للملغم من تحرر بخار الزئبق. وقد يسبب التيار إذا ازدادت شدته على 5 ميكروأمبير أعراضاً كالصداع والشقيقة والدوار والغثيان، يمكن التخلص من هذه الأعراض بإزالة الحشوات، وللمعادن أيضاً تأثيرات كهربائية تتعلق بفرق الكمون، فإن زاد فرق الكمون على 50 مللي فولط قد يؤدي إلى الطلوان والحزاز المسطح أو الارتكاسات الأرجية الوشمية.
تطلق الحشوات والتيجان إلكترونات في جوف الفم بوصف اللعاب كهرلاً جيداً، ويسبب تحرر بخار الزئبق بكميات أكبر. وبيّنت الدراسات أن الزئبق في اللثة قد يؤدي إلى وشم أو التهاب لثة وآفات فموية وحرق في الفم وألم عصب مثلث التوائم، ويزداد تحرر الزئبق بعد التعرض المديد لحقول إلكترونية مغنطيسية أو الأمواج المكروية أو التصوير بالرنين المغنطيسي، أو استعمال الهاتف النقال.
- التصني٠: أمراض الجلد - النوع : أمراض الجلد - المجلد : المجلد السابع، طبعة 2011، دمشق - رقم Ø§Ù„ØµÙØØ© ضمن المجلد : 289 مشاركة :





























